• TargetMol
    您的购物车当前为空

Anti-Serotonin transporter Polyclonal Antibody

一键复制产品信息
Rating icon 还可以
产品编号 TMAB-01678

别名 Solute carrier family 6 member 4, Sodium dependent serotonin transporter, SLC6A4, SERT1, SERT, SC6A4, OCD1, Na+/Cl-dependent serotonin transporter, HTT, hSERT, 5-hydroxytryptamine transporter, 5-HTTLPR, 5-HTT, 5HTT, 5HT transporter

Anti-Serotonin transporter Polyclonal Antibody 是一种 Rabbit 抗体,靶向 Serotonin transporter。Anti-Serotonin transporter Polyclonal Antibody 可用于 IF,IHC-Fr,IHC-P,WB。

Anti-Serotonin transporter Polyclonal Antibody

Anti-Serotonin transporter Polyclonal Antibody

一键复制产品信息
Rating icon 还可以
产品编号 TMAB-01678 别名 Solute carrier family 6 member 4, Sodium dependent serotonin transporter, SLC6A4, SERT1, SERT, SC6A4, OCD1, Na+/Cl-dependent serotonin transporter, HTT, hSERT, 5-hydroxytryptamine transporter, 5-HTTLPR, 5-HTT, 5HTT, 5HT transporter

Anti-Serotonin transporter Polyclonal Antibody 是一种 Rabbit 抗体,靶向 Serotonin transporter。Anti-Serotonin transporter Polyclonal Antibody 可用于 IF,IHC-Fr,IHC-P,WB。

规格价格库存数量
50 μL
¥ 1,175
5日内发货
100 μL
¥ 1,960
5日内发货
200 μL
¥ 2,780
5日内发货
大包装 & 定制
加入购物车
TargetMol 的所有产品仅用作科学研究或药证申报,不能被用于人体,我们不向个人提供产品和服务。请您遵守承诺用途,不得违反法律法规规定用于任何其他用途。
实验操作小课堂
常见问题解答
查看更多

Anti-Serotonin transporter Polyclonal Antibody 相关产品


资源下载

产品介绍

生物活性
产品描述
Anti-Serotonin transporter Polyclonal Antibody is a Rabbit antibody targeting Serotonin transporter. Anti-Serotonin transporter Polyclonal Antibody can be used in IF,IHC-Fr,IHC-P,WB.
别名Solute carrier family 6 member 4, Sodium dependent serotonin transporter, SLC6A4, SERT1, SERT, SC6A4, OCD1, Na+/Cl-dependent serotonin transporter, HTT, hSERT, 5-hydroxytryptamine transporter, 5-HTTLPR, 5-HTT, 5HTT, 5HT transporter
Ig Type
IgG
交叉反应
Human,Mouse,Rat (predicted:Chicken,Dog,Pig,Cow,Sheep,GuineaPig)
验证活性
1. Sample:
Cerebrum (Mouse) Lysate at 40 μg
Primary: Anti-SLC6A4 (TMAB-01678) at 1/500 dilution
Secondary: IRDye800CW Goat Anti-Rabbit IgG at 1/20000 dilution
Predicted band size: 70 kDa
Observed band size: 70 kDa
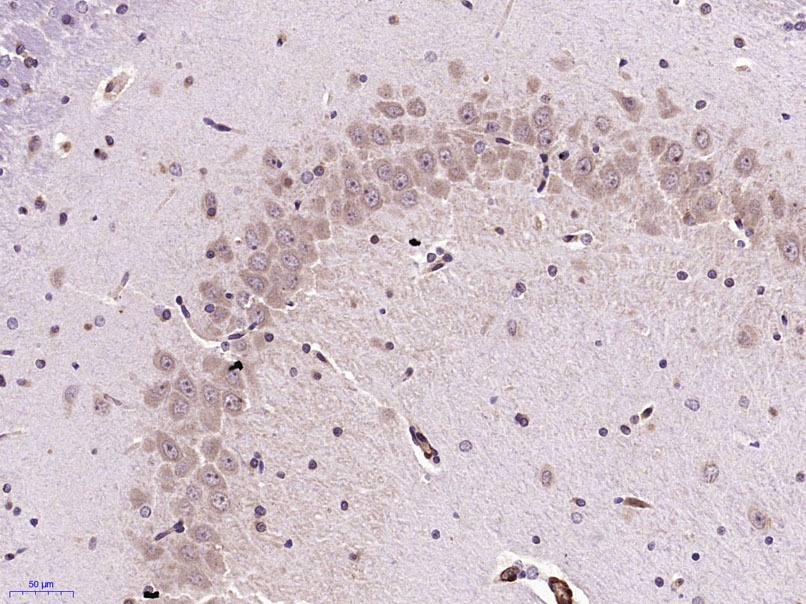
2. Paraformaldehyde-fixed, paraffin embedded (Rat brain); Antigen retrieval by microwave in sodium citrate buffer (pH6.0); Block endogenous peroxidase by 3% hydrogen peroxide for 30 minutes; Blocking buffer (3% BSA) at RT for 30 min; Antibody incubation with (Serotonin transporter) Polyclonal Antibody, Unconjugated (TMAB-01678) at 1:400 overnight at 4°C, followed by conjugation to the secondary antibody (labeled with HRP) and DAB staining.
3. Paraformaldehyde-fixed, paraffin embedded (Mouse brain); Antigen retrieval by microwave in sodium citrate buffer (pH6.0); Block endogenous peroxidase by 3% hydrogen peroxide for 30 minutes; Blocking buffer (3% BSA) at RT for 30 min; Antibody incubation with (Serotonin transporter) Polyclonal Antibody, Unconjugated (TMAB-01678) at 1:400 overnight at 4°C, followed by conjugation to the secondary antibody (labeled with HRP) and DAB staining.
verifiedActivityverifiedActivityverifiedActivity
应用IFIHC-FrIHC-PWB
推荐剂量
WB: 1:500-2000; IHC-P: 1:100-500; IHC-Fr: 1:100-500; IF: 1:100-500
抗体种类
Polyclonal
宿主来源Rabbit
亚细胞定位Cell membrane; Multi-pass membrane protein. Endomembrane system; Multi-pass membrane protein. Endosome membrane; Multi-pass membrane protein.
组织特异性Expressed in platelets (at protein level).
构建方式Polyclonal Antibody
纯化方式Protein A purified
性状Liquid
缓冲液0.01M TBS (pH7.4) with 1% BSA, 0.02% Proclin300 and 50% Glycerol.
浓度1 mg/mL
研究背景This gene encodes an integral membrane protein that transports the neurotransmitter serotonin from synaptic spaces into presynaptic neurons. The encoded protein terminates the action of serotonin and recycles it in a sodium-dependent manner. This protein is a target of psychomotor stimulants, such as amphetamines and cocaine, and is a member of the sodium:neurotransmitter symporter family. A repeat length polymorphism in the promoter of this gene has been shown to affect the rate of serotonin uptake and may play a role in sudden infant death syndrome, aggressive behavior in Alzheimer disease patients, and depression-susceptibility in people experiencing emotional trauma. [provided by RefSeq, Jul 2008].
抗原信息
免疫原
KLH conjugated synthetic peptide: human 5-HTT
抗原种属
Human
基因名称
SLC6A4
基因ID
蛋白名称
Sodium-dependent serotonin transporter
Uniprot ID
研究领域
Drug metabolism,Sodium Channels,Serotonin / 5HT,Transporters,Drug metabolism
功能
Serotonin transporter whose primary function in the central nervous system involves the regulation of serotonergic signaling via transport of serotonin molecules from the synaptic cleft back into the pre-synaptic terminal for re-utilization. Plays a key role in mediating regulation of the availability of serotonin to other receptors of serotonergic systems. Terminates the action of serotonin and recycles it in a sodium-dependent manner.
化学信息
分子量Theoretical: 70 kDa.
存储&运输
储存方式Store at -20°C or -80°C for 12 months. Avoid repeated freeze-thaw cycles.
运输方式Shipping with blue ice.

计算器

  • 稀释 计算器

评论列表

4个月前
5.0
Rating icon 很棒

评论内容

Related Tags: buy Anti-Serotonin transporter Polyclonal Antibody | purchase Anti-Serotonin transporter Polyclonal Antibody | Anti-Serotonin transporter Polyclonal Antibody cost | order Anti-Serotonin transporter Polyclonal Antibody | Anti-Serotonin transporter Polyclonal Antibody molecular weight