购物车
  • TargetMol
    您的购物车当前为空

Anti-Selenoprotein W Polyclonal Antibody

Synonyms: SEPW1, SELW_RAT, SELW, Selenoprotein W, MGC105482
货号 TMAB-01672 一键复制产品信息
Rating icon 还可以

Anti-Selenoprotein W Polyclonal Antibody 是一种 Rabbit 抗体,靶向 Selenoprotein W。Anti-Selenoprotein W Polyclonal Antibody 可用于 IF,IHC-Fr,IHC-P。

Anti-Selenoprotein W Polyclonal Antibody

一键复制产品信息
Rating icon 还可以
货号 TMAB-01672

别名 SEPW1, SELW_RAT, SELW, Selenoprotein W, MGC105482

Anti-Selenoprotein W Polyclonal Antibody 是一种 Rabbit 抗体,靶向 Selenoprotein W。Anti-Selenoprotein W Polyclonal Antibody 可用于 IF,IHC-Fr,IHC-P。

Anti-Selenoprotein W Polyclonal Antibody
规格价格库存数量
50 μL
¥ 1,165
5日内发货
100 μL
¥ 1,965
5日内发货
200 μL
¥ 2,785
5日内发货
库存状态实时更新,以官网显示为准,现货产品可直接加购物车下单
大包装 & 定制
加入购物车

TargetMol的所有产品仅用作科学研究或药证申报,不能被用于人体,我们不向个人提供产品和服务。请您遵守承诺用途,不得违反法律法规规定用于任何其他用途。

实验操作小课堂
常见问题解答
查看更多

选择批次:
颜色: 无色透明
性状: Liquid
资源下载: COA产品操作手册

产品介绍


生物活性
产品描述
Anti-Selenoprotein W Polyclonal Antibody is a Rabbit antibody targeting Selenoprotein W. Anti-Selenoprotein W Polyclonal Antibody can be used in IF,IHC-Fr,IHC-P.
别名
SEPW1, SELW_RAT, SELW, Selenoprotein W, MGC105482
Ig Type
IgG
反应种属
Rat (predicted:Human,Mouse,Sheep)
验证活性
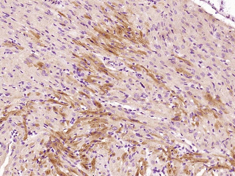
Paraformaldehyde-fixed, paraffin embedded (Rat heart); Antigen retrieval by boiling in sodium citrate buffer (pH6.0) for 15 min; Block endogenous peroxidase by 3% hydrogen peroxide for 20 min; Blocking buffer (normal goat serum) at 37°C for 30 min; Antibody incubation with (Selenoprotein W) Polyclonal Antibody, Unconjugated (TMAB-01672) at 1:500 overnight at 4°C, followed by a conjugated secondary for 20 min and DAB staining.
verifiedActivity
应用IFIHC-FrIHC-P
推荐剂量
IHC-P: 1:100-500; IHC-Fr: 1:100-500; IF: 1:100-500
抗体种类
Polyclonal
宿主来源Rabbit
亚细胞定位Cytoplasm.
组织特异性Ubiquitously expressed with highest levels in skeletal muscle and heart, moderate levels in brain, spinal cord, thyroid, spleen, prostate, ovary, small intestine and colon, and lowest levels in liver and lymph node.
构建方式Polyclonal Antibody
纯化方式Protein A purified
性状Liquid
缓冲液0.01M TBS (pH7.4) with 1% BSA, 0.02% Proclin300 and 50% Glycerol.
浓度1 mg/mL
研究背景This gene encodes a selenoprotein containing a selenocysteine (Sec) residue, which is encoded by the UGA codon that normally signals translation termination. The 3' UTRs of selenoprotein mRNAs contain a conserved stem-loop structure, the Sec insertion sequence (SECIS) element that is necessary for the recognition of UGA as a Sec codon rather than as a stop signal. This protein is highly expressed in skeletal muscle and brain. It belongs to the SelWTH family, which possesses a thioredoxin-like fold and a conserved CxxU (C is cysteine, U is Sec) motif, suggesting a redox function for this gene. Studies in mouse show that this selenoprotein is involved in muscle growth and differentiation, and in the protection of neurons from oxidative stress during neuronal development. A pseudogene for this locus has been identified on chromosome 10. [provided by RefSeq, May 2017].
抗原信息
免疫原
KLH conjugated synthetic peptide: mouse Selenoprotein W
抗原种属
Mouse
基因名称
SELENOW
蛋白名称
Selenoprotein W
功能
Plays a role as a glutathione (GSH)-dependent antioxidant. May be involved in a redox-related process. May play a role in the myopathies of selenium deficiency.
化学信息
分子量Theoretical: 9.5 kDa.
储存&溶解度
储存方式Store at -20°C or -80°C for 12 months. Avoid repeated freeze-thaw cycles.
运输方式Shipping with blue ice.

计算器

  • 稀释 计算器
  • 配液 计算器
Related Tags: buy Anti-Selenoprotein W Polyclonal Antibody | purchase Anti-Selenoprotein W Polyclonal Antibody | Anti-Selenoprotein W Polyclonal Antibody cost | order Anti-Selenoprotein W Polyclonal Antibody | Anti-Selenoprotein W Polyclonal Antibody molecular weight