购物车
  • 全部删除
  • TargetMol
    您的购物车当前为空

Anti-SCAI Antibody (9G836)

一键复制产品信息
Rating icon 还可以
产品编号 TMAC-03689
别名 Suppressor of cancer cell invasion protein, Suppressor of cancer cell invasion, SCAI_HUMAN, SCAI, Protein SCAI, NET40, MGC120528, MGC120526, MGC120525, FLJ36664, FLJ11758, C9orf126

Anti-SCAI Antibody (9G836) 是一种 Mouse 抗体,靶向 SCAI。Anti-SCAI Antibody (9G836) 可用于 ICC,IHC,WB。

Anti-SCAI Antibody (9G836)

Anti-SCAI Antibody (9G836)

一键复制产品信息
Rating icon 还可以
产品编号 TMAC-03689 别名 Suppressor of cancer cell invasion protein, Suppressor of cancer cell invasion, SCAI_HUMAN, SCAI, Protein SCAI, NET40, MGC120528, MGC120526, MGC120525, FLJ36664, FLJ11758, C9orf126

Anti-SCAI Antibody (9G836) 是一种 Mouse 抗体,靶向 SCAI。Anti-SCAI Antibody (9G836) 可用于 ICC,IHC,WB。

规格价格库存数量
50 μL
¥ 1,980
5日内发货
100 μL
¥ 2,990
5日内发货
大包装 & 定制
加入购物车
TargetMol 的所有产品仅用作科学研究或药证申报,不能被用于人体,我们不向个人提供产品和服务。请您遵守承诺用途,不得违反法律法规规定用于任何其他用途。
实验操作小课堂
常见问题解答
查看更多
联系我们获取更多批次信息
资源下载

产品介绍

生物活性
产品描述
Anti-SCAI Antibody (9G836) is a Mouse antibody targeting SCAI. Anti-SCAI Antibody (9G836) can be used in ICC,IHC,WB.
别名Suppressor of cancer cell invasion protein, Suppressor of cancer cell invasion, SCAI_HUMAN, SCAI, Protein SCAI, NET40, MGC120528, MGC120526, MGC120525, FLJ36664, FLJ11758, C9orf126
克隆号
9G836
交叉反应
Human
验证活性
1. Western blot analysis of SCAI on Recombinant protein using anti-SCAI antibody at 1/1,000 dilution.
2. Immunohistochemical analysis of paraffin-embedded human pancreas tissue using anti-SCAI antibody. Counter stained with hematoxylin.
3. Immunohistochemical analysis of paraffin-embedded human tonsil tissue using anti-SCAI antibody. Counter stained with hematoxylin.
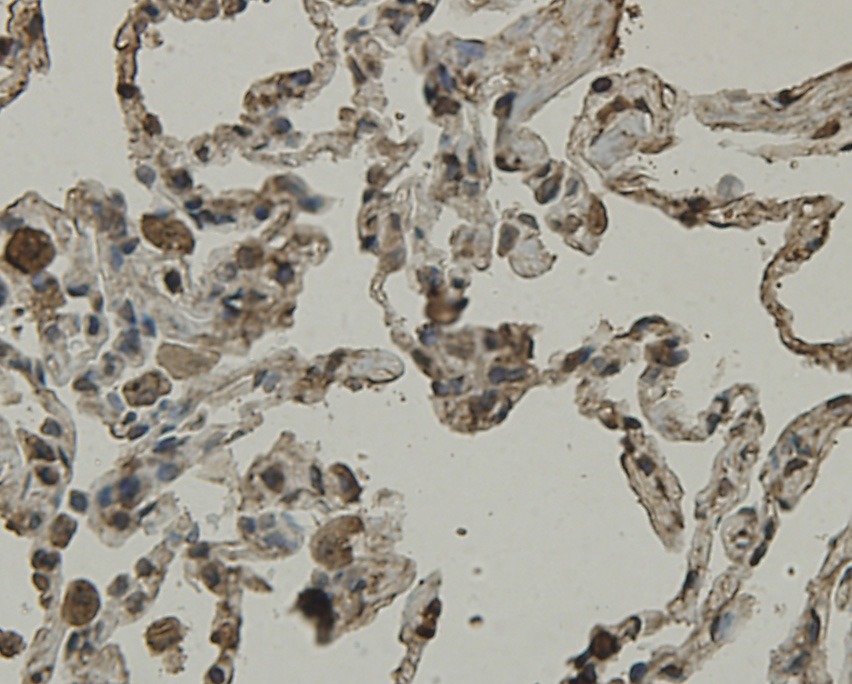
4. Immunohistochemical analysis of paraffin-embedded human lung tissue using anti-SCAI antibody. Counter stained with hematoxylin.
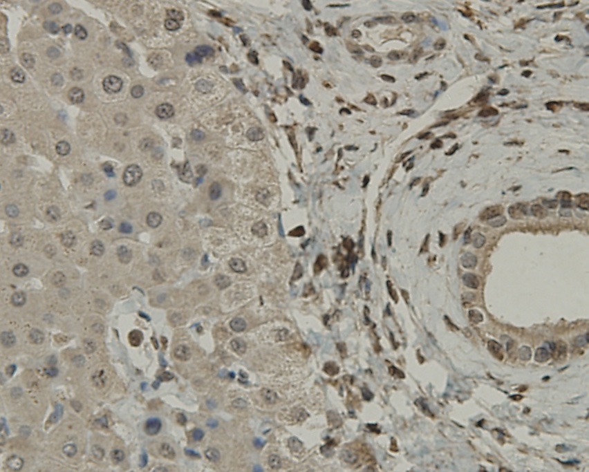
5. Immunohistochemical analysis of paraffin-embedded human liver tissue using anti-SCAI antibody. Counter stained with hematoxylin.
6. Immunohistochemical analysis of paraffin-embedded human brain tissue using anti-SCAI antibody. Counter stained with hematoxylin.
7. Immunohistochemical analysis of paraffin-embedded human heart tissue using anti-SCAI antibody. Counter stained with hematoxylin.
8. ICC staining SCAI in SHG-44 cells (green). The nuclear counter stain is DAPI (blue). Cells were fixed in paraformaldehyde, permeabilised with 0.25% Triton X100/PBS.
9. ICC staining SCAI in SH-SY-5Y cells (green). The nuclear counter stain is DAPI (blue). Cells were fixed in paraformaldehyde, permeabilised with 0.25% Triton X100/PBS.
10. ICC staining SCAI in PC-12 cells (green). The nuclear counter stain is DAPI (blue). Cells were fixed in paraformaldehyde, permeabilised with 0.25% Triton X100/PBS.
verifiedActivityverifiedActivityverifiedActivityverifiedActivityverifiedActivityverifiedActivityverifiedActivityverifiedActivityverifiedActivityverifiedActivity
应用ICCIHCWB
推荐剂量
WB: 1:1000-2000; IHC: 1:50-200; ICC: 1:50-200
抗体种类
Monoclonal
宿主来源Mouse
构建方式Hybridoma Monoclonal Antibody
性状Liquid
缓冲液1*TBS (pH7.4), 1%BSA, 40%Glycerol. Preservative: 0.23% Sodium Azide.
研究背景Protein SCAI, also known as Suppressor of cancer cell invasion protein, and encoded by the gene name SCAI, is a tumor suppressor that suppresses MKL1-induced SRF transcriptional activity. It is a regulator of cell migration and appears to be involved in the RhoA (ras homolog gene family, member A)-Dia1 (diaphanous homolog 1) signal transduction pathway. SCAI localizes in the nucleus, where it binds and inhibits the myocardin-related transcription factor MAL by forming a ternary complex with serum response factor (SRF).
偶联与修饰
偶联
Unconjugated
抗原信息
免疫原
Recombinant Protein
Uniprot ID
化学信息
分子量Theoretical: 48 kDa.
存储&运输
储存方式Store at -20°C or -80°C for 12 months. Avoid repeated freeze-thaw cycles.
运输方式Shipping with blue ice.

计算器

  • 稀释 计算器

评论列表

4个月前
5.0
Rating icon 很棒

评论内容

Related Tags: buy Anti-SCAI Antibody (9G836) | purchase Anti-SCAI Antibody (9G836) | Anti-SCAI Antibody (9G836) cost | order Anti-SCAI Antibody (9G836) | Anti-SCAI Antibody (9G836) molecular weight