• TargetMol
    您的购物车当前为空

Anti-Sarcomeric Alpha Actinin Polyclonal Antibody

一键复制产品信息
Rating icon 还可以
货号 TMAB-01653

别名 sm Actinin-alpha, F-actin cross-linking protein, CMD1AA, alpha-SCA, alpha-actinin-2, alpha actinin skeletal muscle isoform 2, alpha actinin skeletal muscle, alpha actinin 2, ACTN2, ACTN 2, Actinin alpha 2, Actin binding protein

Anti-Sarcomeric Alpha Actinin Polyclonal Antibody 是一种 Rabbit 抗体,靶向 Sarcomeric Alpha Actinin。Anti-Sarcomeric Alpha Actinin Polyclonal Antibody 可用于 IF,IHC-Fr,IHC-P。

Anti-Sarcomeric Alpha Actinin Polyclonal Antibody

Anti-Sarcomeric Alpha Actinin Polyclonal Antibody

一键复制产品信息
Rating icon 还可以
货号 TMAB-01653 别名 sm Actinin-alpha, F-actin cross-linking protein, CMD1AA, alpha-SCA, alpha-actinin-2, alpha actinin skeletal muscle isoform 2, alpha actinin skeletal muscle, alpha actinin 2, ACTN2, ACTN 2, Actinin alpha 2, Actin binding protein

Anti-Sarcomeric Alpha Actinin Polyclonal Antibody 是一种 Rabbit 抗体,靶向 Sarcomeric Alpha Actinin。Anti-Sarcomeric Alpha Actinin Polyclonal Antibody 可用于 IF,IHC-Fr,IHC-P。

规格价格库存数量
50 μL
¥ 1,170
5日内发货
100 μL
¥ 1,970
5日内发货
200 μL
¥ 2,785
5日内发货
库存状态实时更新,以官网显示为准,现货产品可直接加购物车下单
大包装 & 定制
加入购物车
TargetMol的所有产品仅用作科学研究或药证申报,不能被用于人体,我们不向个人提供产品和服务。请您遵守承诺用途,不得违反法律法规规定用于任何其他用途。
实验操作小课堂
常见问题解答
查看更多
资源下载:

产品介绍


生物活性
产品描述
Anti-Sarcomeric Alpha Actinin Polyclonal Antibody is a Rabbit antibody targeting Sarcomeric Alpha Actinin. Anti-Sarcomeric Alpha Actinin Polyclonal Antibody can be used in IF,IHC-Fr,IHC-P.
别名sm Actinin-alpha, F-actin cross-linking protein, CMD1AA, alpha-SCA, alpha-actinin-2, alpha actinin skeletal muscle isoform 2, alpha actinin skeletal muscle, alpha actinin 2, ACTN2, ACTN 2, Actinin alpha 2, Actin binding protein
Ig Type
IgG
反应种属
Human,Mouse,Rat (predicted:Chicken,Dog,Pig,Cow,Horse,Rabbit,Sheep)
验证活性
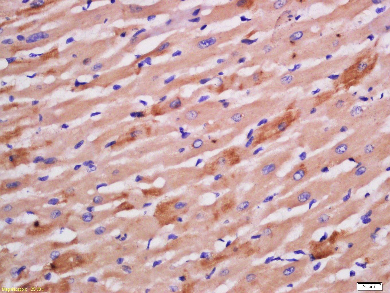
1. Tissue/cell: rat heart tissue; 4% Paraformaldehyde-fixed and paraffin-embedded;
Antigen retrieval: citrate buffer (0.01M, pH6.0), Boiling bathing for 15 min; Block endogenous peroxidase by 3% Hydrogen peroxide for 30 min; Blocking buffer (normal goat serum) at 37°C for 20 min;
Incubation: Anti-Sarcomeric Alpha Actinin Polyclonal Antibody, Unconjugated (TMAB-01653) 1:200, overnight at 4°C, followed by conjugation to the secondary antibody and DAb staining.
2. Tissue/cell: mouse embryos tissue; 4% Paraformaldehyde-fixed and paraffin-embedded;
Antigen retrieval: citrate buffer (0.01M, pH6.0), Boiling bathing for 15 min; Block endogenous peroxidase by 3% Hydrogen peroxide for 30 min; Blocking buffer (normal goat serum) at 37°C for 20 min;
Incubation: Anti-Sarcomeric Alpha Actinin Polyclonal Antibody, Unconjugated (TMAB-01653) 1:200, overnight at 4°C, followed by conjugation to the secondary antibody and DAb staining.
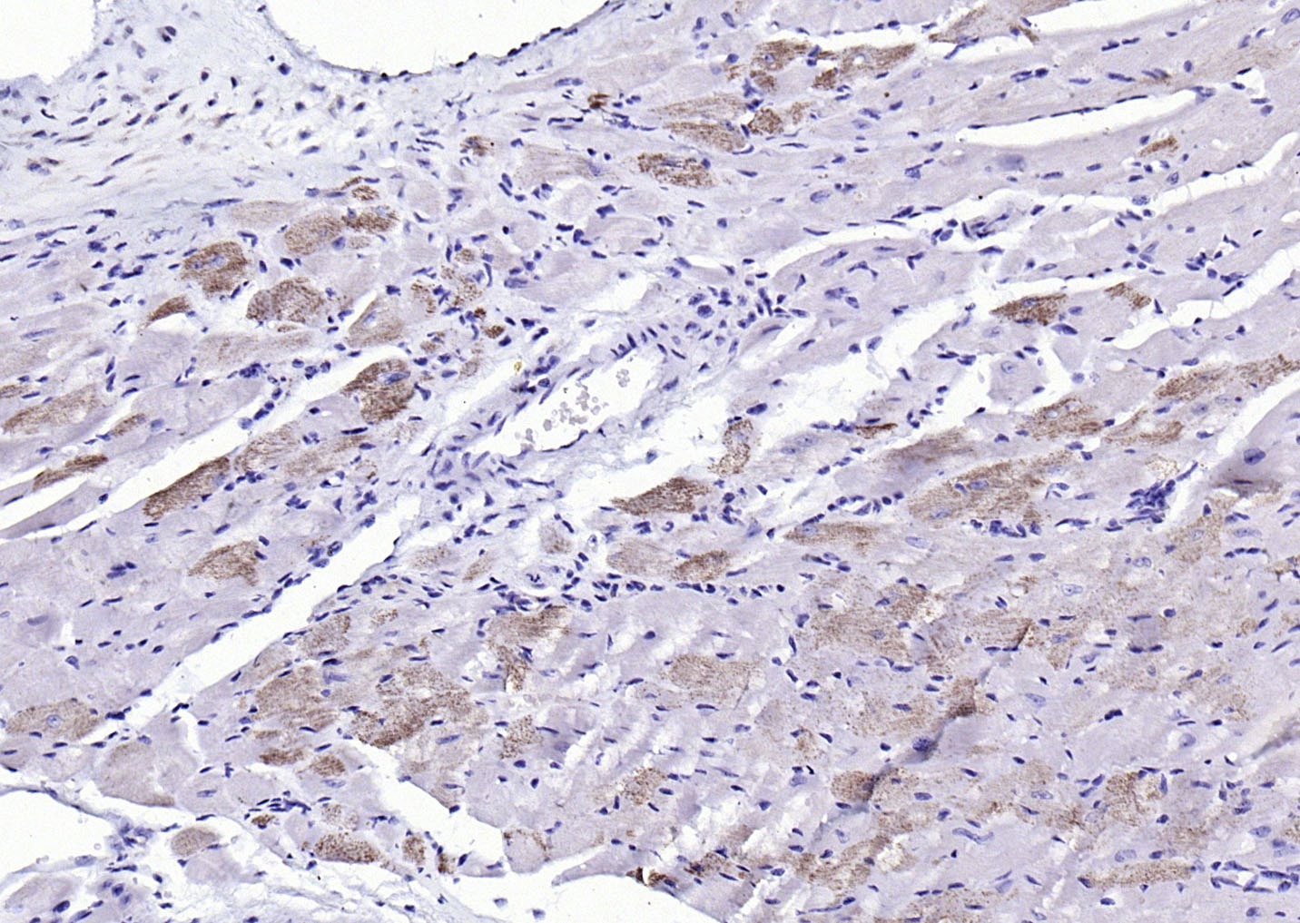
3. Paraformaldehyde-fixed, paraffin embedded (mouse heart); Antigen retrieval by boiling in sodium citrate buffer (pH6.0) for 15 min; Block endogenous peroxidase by 3% hydrogen peroxide for 20 min; Blocking buffer (normal goat serum) at 37°C for 30 min; Antibody incubation with (Sarcomeric Alpha Actinin) Polyclonal Antibody, Unconjugated (TMAB-01653) at 1:200 overnight at 4°C, followed by operating according to SP Kit (Rabbit) instructionsand DAB staining.
verifiedActivityverifiedActivityverifiedActivity
应用IFIHC-FrIHC-P
推荐剂量
IHC-P: 1:100-500; IHC-Fr: 1:100-500; IF: 1:100-500
抗体种类
Polyclonal
宿主来源Rabbit
亚细胞定位Cytoplasm, myofibril, sarcomere, Z line. Note=Colocalizes with MYOZ1 and FLNC at the Z-lines of skeletal muscle.
组织特异性Expressed in both skeletal and cardiac muscle.
构建方式Polyclonal Antibody
纯化方式Protein A purified
性状Liquid
缓冲液0.01M TBS (pH7.4) with 1% BSA, 0.02% Proclin300 and 50% Glycerol.
浓度1 mg/mL
研究背景Alpha actinins belong to the spectrin gene superfamily which represents a diverse group of cytoskeletal proteins, including the alpha and beta spectrins and dystrophins. Alpha actinin is an actin-binding protein with multiple roles in different cell types. In nonmuscle cells, the cytoskeletal isoform is found along microfilament bundles and adherens-type junctions, where it is involved in binding actin to the membrane. In contrast, skeletal, cardiac, and smooth muscle isoforms are localized to the Z-disc and analogous dense bodies, where they help anchor the myofibrillar actin filaments. This gene encodes a muscle-specific, alpha actinin isoform that is expressed in both skeletal and cardiac muscles. Several transcript variants encoding different isoforms have been found for this gene. [provided by RefSeq, May 2013]
抗原信息
免疫原
KLH conjugated synthetic peptide: human Sarcomeric Alpha Actinin
抗原种属
Human
基因名称
ACTN2
基因ID
蛋白名称
alpha-actinin-2
Uniprot ID
研究领域
Cardiac arrhythmias,Actins,Actin Binding Proteins
功能
F-actin cross-linking protein which is thought to anchor actin to a variety of intracellular structures. This is a bundling protein.
化学信息
分子量Theoretical: 98 kDa.
储存&溶解度
储存方式Store at -20°C or -80°C for 12 months. Avoid repeated freeze-thaw cycles.
运输方式Shipping with blue ice.
存储store at low temperature | store at -20°C

计算器

  • 稀释 计算器
Related Tags: buy Anti-Sarcomeric Alpha Actinin Polyclonal Antibody | purchase Anti-Sarcomeric Alpha Actinin Polyclonal Antibody | Anti-Sarcomeric Alpha Actinin Polyclonal Antibody cost | order Anti-Sarcomeric Alpha Actinin Polyclonal Antibody | Anti-Sarcomeric Alpha Actinin Polyclonal Antibody molecular weight