购物车
  • TargetMol
    您的购物车当前为空

Anti-RPS3 Antibody (4S186)

Synonyms: Small ribosomal subunit protein uS3, RPS3, 40S ribosomal protein S3
货号 TMAC-03639 一键复制产品信息
Rating icon 还可以

Anti-RPS3 Antibody (4S186) 是一种 Rabbit 抗体,靶向 RPS3。Anti-RPS3 Antibody (4S186) 可用于 ICC,IHC,WB。

Anti-RPS3 Antibody (4S186)

一键复制产品信息
Rating icon 还可以
货号 TMAC-03639

别名 Small ribosomal subunit protein uS3, RPS3, 40S ribosomal protein S3

Anti-RPS3 Antibody (4S186) 是一种 Rabbit 抗体,靶向 RPS3。Anti-RPS3 Antibody (4S186) 可用于 ICC,IHC,WB。

Anti-RPS3 Antibody (4S186)
规格价格库存数量
50 μL
¥ 1,485
5日内发货
100 μL
¥ 2,495
5日内发货
库存状态实时更新,以官网显示为准,现货产品可直接加购物车下单
大包装 & 定制
加入购物车

TargetMol的所有产品仅用作科学研究或药证申报,不能被用于人体,我们不向个人提供产品和服务。请您遵守承诺用途,不得违反法律法规规定用于任何其他用途。

实验操作小课堂
常见问题解答
查看更多

资源下载:产品操作手册

产品介绍


生物活性
产品描述
Anti-RPS3 Antibody (4S186) is a Rabbit antibody targeting RPS3. Anti-RPS3 Antibody (4S186) can be used in ICC,IHC,WB.
别名
Small ribosomal subunit protein uS3, RPS3, 40S ribosomal protein S3
Ig Type
IgG
克隆号
4S186
反应种属
Human,Mouse,Rat
验证活性
1. Western blot analysis of RPS3 on PC12 cell lysates using anti-RPS3 antibody at 1/500 dilution.
2. Immunohistochemical analysis of paraffin-embedded human kidney tissue using anti-RPS3 antibody. Counter stained with hematoxylin.
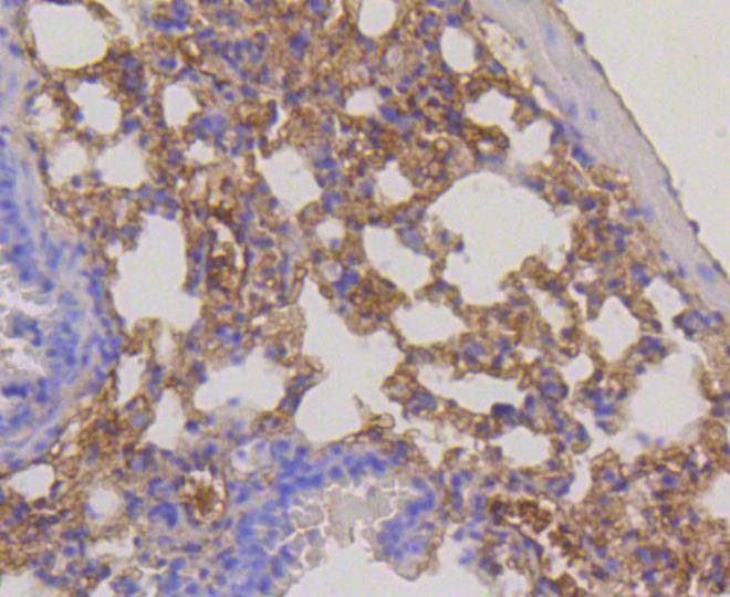
3. Immunohistochemical analysis of paraffin-embedded mouse lung tissue using anti-RPS3 antibody. Counter stained with hematoxylin.
4. ICC staining RPS3 in N2A cells (green). The nuclear counter stain is DAPI (blue). Cells were fixed in paraformaldehyde, permeabilised with 0.25% Triton X100/PBS.
5. ICC staining RPS3 in SH-SY-5Y cells (green). The nuclear counter stain is DAPI (blue). Cells were fixed in paraformaldehyde, permeabilised with 0.25% Triton X100/PBS.
verifiedActivityverifiedActivityverifiedActivityverifiedActivityverifiedActivity
应用ICCIHCWB
推荐剂量
WB: 1:500-1000; IHC: 1:50-200; ICC: 1:50-200
抗体种类
Monoclonal
宿主来源Rabbit
构建方式Recombinant Antibody
纯化方式ProA affinity purified
性状Liquid
缓冲液1*TBS (pH7.4), 1%BSA, 40%Glycerol. Preservative: 0.05% Sodium Azide.
研究背景Ribosomal subunits are synthesized in the nucleus, and mature 40S and 60S subunits are exported stoichiometrically into the cytoplasm. Both 40S and 60S subunits are composed of four RNA species and approximately 80 structurally distinct proteins. Mitochondrial ribosomes consist of a small 28S subunit and a large 39S subunit. Ribosomal proteins have the ability to pass through the nuclear envelope in the native state, making them the largest of the structures accommodated by the nuclear pore complexes. The nuclear export of ribosomal subunits is a unidirectional, saturable and energy-dependent process. Ribosomal Protein S3 a member of the 40S subunit and plays a role in translation and ribosome maturation. Specifically, Ribosomal Protein S3 mediates the formation of the mRNA binding site 3?? of the codon in the decoding site. In addition, Ribosomal Protein S3 is involved in DNA damage recognition as shown by its affinity for abasic sites and 7,8-dihydro-8-oxoguanine residues and its interaction with human base excision repair (BER) proteins OGG1 and Ref-1.
偶联与修饰
偶联
Unconjugated
抗原信息
免疫原
Recombinant Protein
Uniprot ID
化学信息
分子量Theoretical: 27 kDa.
储存&溶解度
储存方式Store at -20°C or -80°C for 12 months. Avoid repeated freeze-thaw cycles.
运输方式Shipping with blue ice.

计算器

  • 稀释 计算器
  • 配液 计算器

关键词

Related Tags: buy Anti-RPS3 Antibody (4S186) | purchase Anti-RPS3 Antibody (4S186) | Anti-RPS3 Antibody (4S186) cost | order Anti-RPS3 Antibody (4S186) | Anti-RPS3 Antibody (4S186) molecular weight