• TargetMol
    您的购物车当前为空

Anti-RhoA Polyclonal Antibody

一键复制产品信息
Rating icon 还可以
货号 TMAB-01617

别名 RHOH12, RHO12, ras homolog family member A, ARHA, ARH12

Anti-RhoA Polyclonal Antibody 是一种 Rabbit 抗体,靶向 RhoA。Anti-RhoA Polyclonal Antibody 可用于 IF,IHC-Fr,IHC-P。

Anti-RhoA Polyclonal Antibody

Anti-RhoA Polyclonal Antibody

一键复制产品信息
Rating icon 还可以
货号 TMAB-01617 别名 RHOH12, RHO12, ras homolog family member A, ARHA, ARH12

Anti-RhoA Polyclonal Antibody 是一种 Rabbit 抗体,靶向 RhoA。Anti-RhoA Polyclonal Antibody 可用于 IF,IHC-Fr,IHC-P。

规格价格库存数量
50 μL
¥ 1,175
5日内发货
100 μL
¥ 1,975
5日内发货
200 μL
¥ 2,790
5日内发货
库存状态实时更新,以官网显示为准,现货产品可直接加购物车下单
大包装 & 定制
加入购物车
TargetMol的所有产品仅用作科学研究或药证申报,不能被用于人体,我们不向个人提供产品和服务。请您遵守承诺用途,不得违反法律法规规定用于任何其他用途。
实验操作小课堂
常见问题解答
查看更多
资源下载:

产品介绍


生物活性
产品描述
Anti-RhoA Polyclonal Antibody is a Rabbit antibody targeting RhoA. Anti-RhoA Polyclonal Antibody can be used in IF,IHC-Fr,IHC-P.
别名RHOH12, RHO12, ras homolog family member A, ARHA, ARH12
Ig Type
IgG
反应种属
Human,Mouse,Rat,Zebrafish (predicted:Chicken,Dog,Rabbit)
验证活性
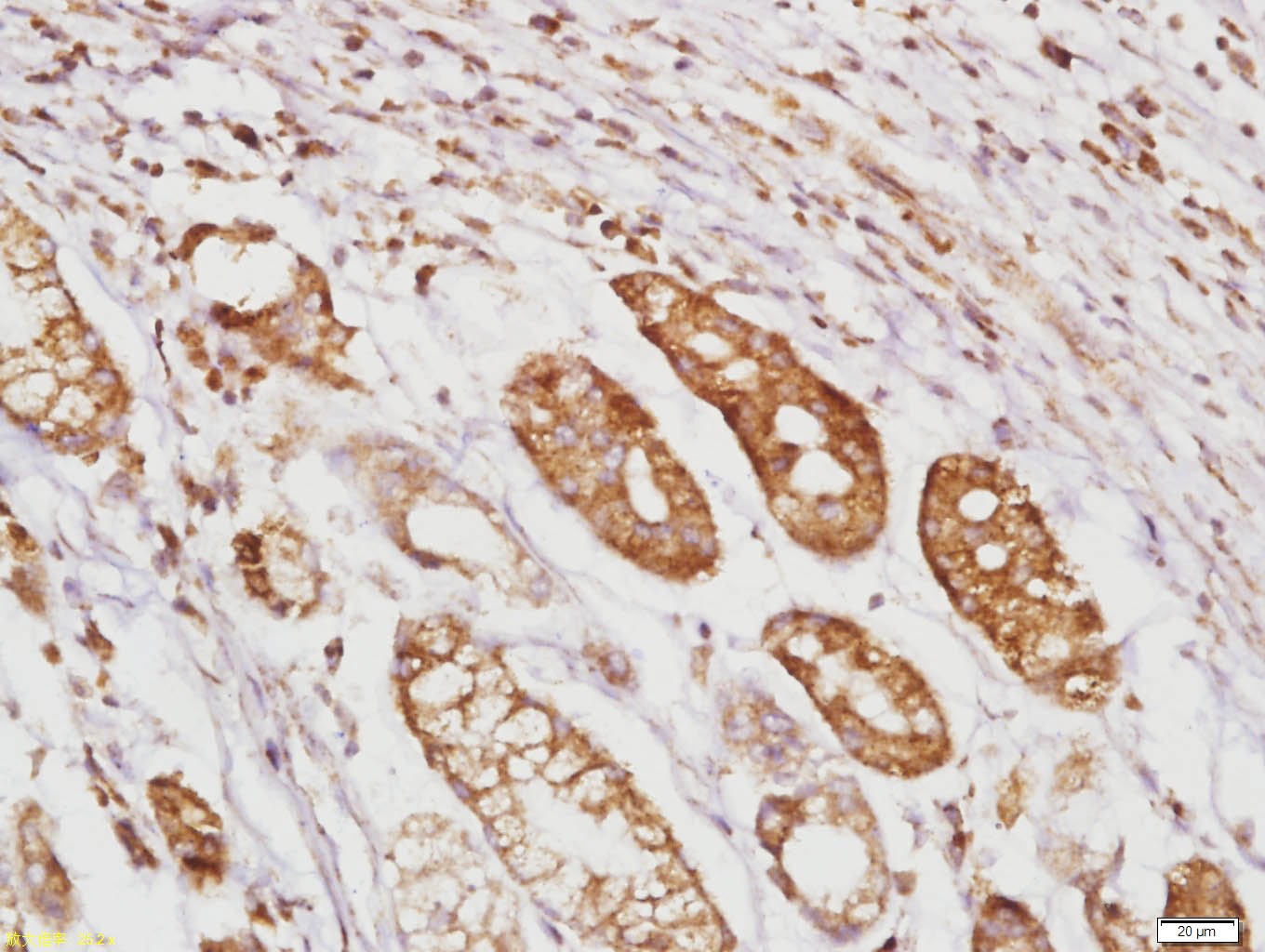
1. Paraformaldehyde-fixed, paraffin embedded (Human stomach cancer); Antigen retrieval by boiling in sodium citrate buffer (pH6.0) for 15 min; Block endogenous peroxidase by 3% hydrogen peroxide for 20 min; Blocking buffer (normal goat serum) at 37°C for 30 min; Antibody incubation with (RhoA) Polyclonal Antibody, Unconjugated (TMAB-01617) at 1:400 overnight at 4°C, followed by operating according to SP Kit (Rabbit) instructions and DAB staining.
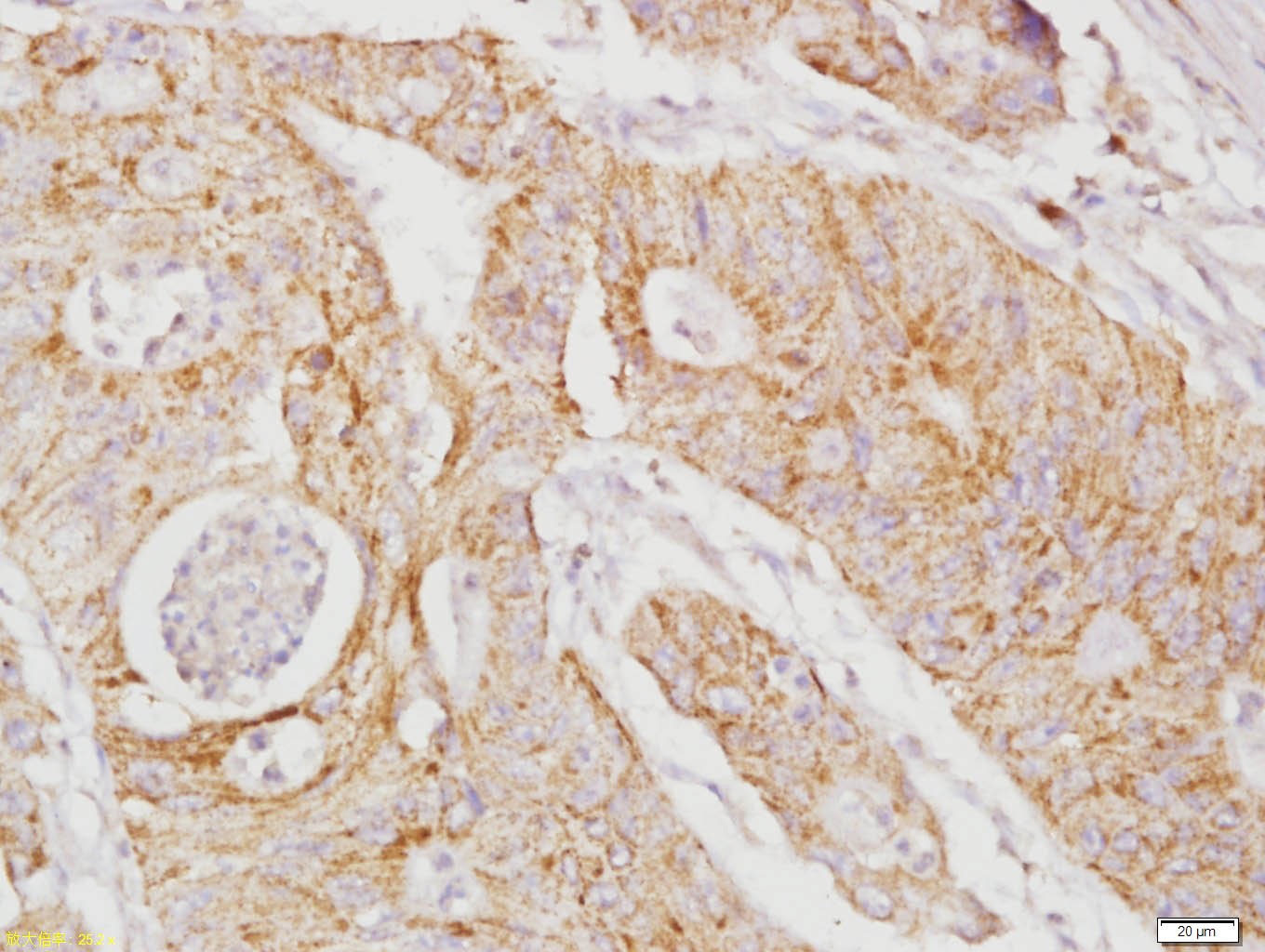
2. Paraformaldehyde-fixed, paraffin embedded (Human colon cancer); Antigen retrieval by boiling in sodium citrate buffer (pH6.0) for 15 min; Block endogenous peroxidase by 3% hydrogen peroxide for 20 min; Blocking buffer (normal goat serum) at 37°C for 30 min; Antibody incubation with (RhoA) Polyclonal Antibody, Unconjugated (TMAB-01617) at 1:400 overnight at 4°C, followed by operating according to SP Kit (Rabbit) instructions and DAB staining.
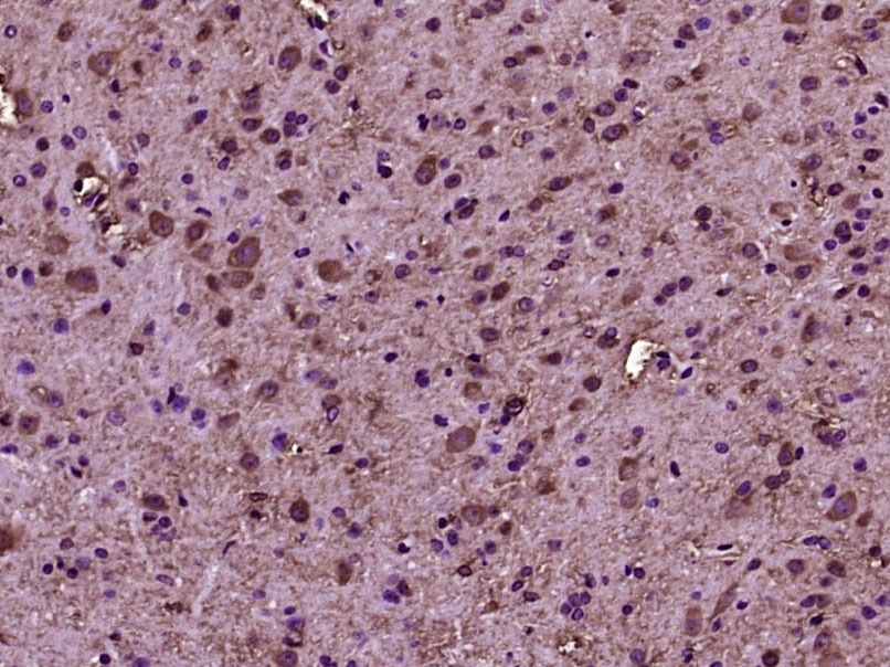
3. Paraformaldehyde-fixed, paraffin embedded (Rat brain); Antigen retrieval by boiling in sodium citrate buffer (pH6.0) for 15 min; Block endogenous peroxidase by 3% hydrogen peroxide for 20 min; Blocking buffer (normal goat serum) at 37°C for 30 min; Antibody incubation with (RhoA) Polyclonal Antibody, Unconjugated (TMAB-01617) at 1:400 overnight at 4°C, followed by operating according to SP Kit (Rabbit) instructionsand DAB staining.
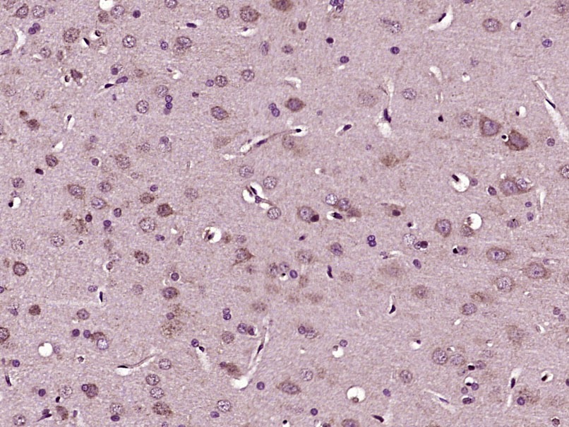
4. Paraformaldehyde-fixed, paraffin embedded (Mouse cerebellum); Antigen retrieval by boiling in sodium citrate buffer (pH6.0) for 15 min; Block endogenous peroxidase by 3% hydrogen peroxide for 20 min; Blocking buffer (normal goat serum) at 37°C for 30 min; Antibody incubation with (RhoA) Polyclonal Antibody, Unconjugated (TMAB-01617) at 1:400 overnight at 4°C, followed by operating according to SP Kit (Rabbit) instructionsand DAB staining.
verifiedActivityverifiedActivityverifiedActivityverifiedActivity
应用IFIHC-FrIHC-P
推荐剂量
IHC-P: 1:100-500; IHC-Fr: 1:100-500; IF: 1:200-800
抗体种类
Polyclonal
宿主来源Rabbit
亚细胞定位Cell membrane; Lipid-anchor; Cytoplasmic side. Cytoplasm, cytoskeleton. Cleavage furrow. Cytoplasm, cell cortex. Midbody. Note=Localized to cell-cell contacts in calcium-treated keratinocytes. Translocates to the equatorial region before furrow formation in a ECT2-dependent manner. Localizes to the equatorial cell cortex (at the site of the presumptive furrow) in early anaphase in a activated form and in a myosin- and actin-independent manner.
组织特异性Expressed highly in placenta, prostate and trachea and lower expression in the small intestine and lung.
构建方式Polyclonal Antibody
纯化方式Protein A purified
性状Liquid
缓冲液0.01M TBS (pH7.4) with 1% BSA, 0.02% Proclin300 and 50% Glycerol.
浓度1 mg/mL
研究背景This gene encodes a member of the Rho family of small GTPases, which cycle between inactive GDP-bound and active GTP-bound states and function as molecular switches in signal transduction cascades. Rho proteins promote reorganization of the actin cytoskeleton and regulate cell shape, attachment, and motility. The protein encoded by this gene is prenylated at its C-terminus, and localizes to the cytoplasm and plasma membrane. It is thought to be important in cell locomotion. Overexpression of this gene is associated with tumor cell proliferation and metastasis. Multiple alternatively spliced variants, encoding the same protein, have been identified.
抗原信息
免疫原
KLH conjugated synthetic peptide: human RhoA
抗原种属
Human
基因名称
RHOA
基因ID
蛋白名称
Transforming protein RhoA
Uniprot ID
研究领域
Ras Family,Actin Assembly,Ras family
功能
Regulates a signal transduction pathway linking plasma membrane receptors to the assembly of focal adhesions and actin stress fibers. Involved in a microtubule-dependent signal that is required for the myosin contractile ring formation during cell cycle cytokinesis. Plays an essential role in cleavage furrow formation. Required for the apical junction formation of keratinocyte cell-cell adhesion. Serves as a target for the yopT cysteine peptidase from Yersinia pestis, vector of the plague, and Yersinia pseudotuberculosis, which causes gastrointestinal disorders. Stimulates PKN2 kinase activity. May be an activator of PLCE1. Activated by ARHGEF2, which promotes the exchange of GDP for GTP. Essential for the SPATA13-mediated regulation of cell migration and adhesion assembly and disassembly. The MEMO1-RHOA-DIAPH1 signaling pathway plays an important role in ERBB2-dependent stabilization of microtubules at the cell cortex. It controls the localization of APC and CLASP2 to the cell membrane, via the regulation of GSK3B activity. In turn, membrane-bound APC allows the localization of the MACF1 to the cell membrane, which is required for microtubule capture and stabilization.
化学信息
分子量Theoretical: 21 kDa.
储存&溶解度
储存方式Store at -20°C or -80°C for 12 months. Avoid repeated freeze-thaw cycles.
运输方式Shipping with blue ice.
存储store at low temperature | store at -20°C

计算器

  • 稀释 计算器
Related Tags: buy Anti-RhoA Polyclonal Antibody | purchase Anti-RhoA Polyclonal Antibody | Anti-RhoA Polyclonal Antibody cost | order Anti-RhoA Polyclonal Antibody | Anti-RhoA Polyclonal Antibody molecular weight