购物车
  • TargetMol
    您的购物车当前为空

Anti-NF-kB p65 Antibody (9P885)

Synonyms: v-rel avian reticuloendotheliosis viral oncogene homolog A, p65, NFKB3
货号 TMAC-02823 一键复制产品信息
Rating icon 还可以

Anti-NF-kB p65 Antibody (9P885) 是一种 Mouse 抗体,靶向 NF-kB p65。Anti-NF-kB p65 Antibody (9P885) 可用于 IF,WB。

Anti-NF-kB p65 Antibody (9P885)

一键复制产品信息
Rating icon 还可以
货号 TMAC-02823

别名 v-rel avian reticuloendotheliosis viral oncogene homolog A, p65, NFKB3

Anti-NF-kB p65 Antibody (9P885) 是一种 Mouse 抗体,靶向 NF-kB p65。Anti-NF-kB p65 Antibody (9P885) 可用于 IF,WB。

Anti-NF-kB p65 Antibody (9P885)
规格价格库存数量
50 μL
¥ 1,345
5日内发货
100 μL
¥ 2,185
5日内发货
库存状态实时更新,以官网显示为准,现货产品可直接加购物车下单
大包装 & 定制
加入购物车

TargetMol的所有产品仅用作科学研究或药证申报,不能被用于人体,我们不向个人提供产品和服务。请您遵守承诺用途,不得违反法律法规规定用于任何其他用途。

实验操作小课堂
常见问题解答
查看更多

资源下载:产品操作手册

产品介绍


生物活性
产品描述
Anti-NF-kB p65 Antibody (9P885) is a Mouse antibody targeting NF-kB p65. Anti-NF-kB p65 Antibody (9P885) can be used in IF,WB.
别名
v-rel avian reticuloendotheliosis viral oncogene homolog A, p65, NFKB3
克隆号
9P885
反应种属
Human,Rat,Mouse
验证活性
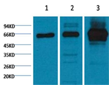
1. Western blot analysis of 1) Hela, 2) Rat Heart Tissue, 3) Mouse Spleen Tissue, using TMAC-02823 diluted at 1:2000.
2. IF analysis of Hela with TMAC-02823(Left) and DAPI (Right) diluted at 1:100.
3. 1 Input: Hela Cell Lysate, 2 IP product: IP dilute 1:200, Western blot analysis: primary antibody: TMAC-02823 1:2,000, Secondary antibody: Goat anti-Mouse IgG, Light chain specific, 1:5,000.
verifiedActivityverifiedActivityverifiedActivity
应用IFWB
推荐剂量
WB: 1:1000-3000; IF: 1:100
抗体种类
Monoclonal
宿主来源Mouse
构建方式Hybridoma Monoclonal Antibody
纯化方式Affinity purification using immunogen.
性状Liquid
缓冲液Mouse IgG1 in phosphate buffered saline (without Mg2+ and Ca2+), pH 7.4, 150mM NaCl, 0.02% sodium azide and 50% glycerol.
研究背景NFkB p65 is ubiquitinated leading to its proteosomal degradation, which is required for termination of the NFkB response. Phosphorylation of NFkB p65 on S536 stimulates acetylation of K310 by CBP, enhancing transcriptional activity. NFkB p65 is also acetylated at K122, enhancing DNA binding and impairing the interaction with NFKBIA. The protein is deacetylated by HDAC3. Invasion of a host by a pathogen is frequently associated with the activation of NF-kB, which coordinates various aspects of immune function required for resistance to infection.
偶联与修饰
偶联
Unconjugated
抗原信息
Uniprot ID
化学信息
分子量Actual: 65 kDa.
储存&溶解度
储存方式Store at -20°C or -80°C for 12 months. Avoid repeated freeze-thaw cycles.
运输方式Shipping with blue ice.

计算器

  • 稀释 计算器
  • 配液 计算器

关键词

Related Tags: buy Anti-NF-kB p65 Antibody (9P885) | purchase Anti-NF-kB p65 Antibody (9P885) | Anti-NF-kB p65 Antibody (9P885) cost | order Anti-NF-kB p65 Antibody (9P885) | Anti-NF-kB p65 Antibody (9P885) molecular weight