购物车
  • 全部删除
  • TargetMol
    您的购物车当前为空

Anti-RELB Antibody (7J786)

一键复制产品信息
Rating icon 还可以
产品编号 TMAC-03570
别名 Transcription factor RelB, I-Rel

Anti-RELB Antibody (7J786) 是一种 Rabbit 抗体,靶向 RELB。Anti-RELB Antibody (7J786) 可用于 ICC/IF,IHC,IP,WB。

Anti-RELB Antibody (7J786)

Anti-RELB Antibody (7J786)

一键复制产品信息
Rating icon 还可以
产品编号 TMAC-03570 别名 Transcription factor RelB, I-Rel

Anti-RELB Antibody (7J786) 是一种 Rabbit 抗体,靶向 RELB。Anti-RELB Antibody (7J786) 可用于 ICC/IF,IHC,IP,WB。

规格价格库存数量
50 μL
¥ 1,480
5日内发货
100 μL
¥ 2,480
5日内发货
大包装 & 定制
加入购物车
TargetMol 的所有产品仅用作科学研究或药证申报,不能被用于人体,我们不向个人提供产品和服务。请您遵守承诺用途,不得违反法律法规规定用于任何其他用途。
实验操作小课堂
常见问题解答
查看更多
联系我们获取更多批次信息
资源下载

产品介绍

生物活性
产品描述
Anti-RELB Antibody (7J786) is a Rabbit antibody targeting RELB. Anti-RELB Antibody (7J786) can be used in ICC/IF,IHC,IP,WB.
别名Transcription factor RelB, I-Rel
Ig Type
IgG
克隆号
7J786
交叉反应
Human
验证活性
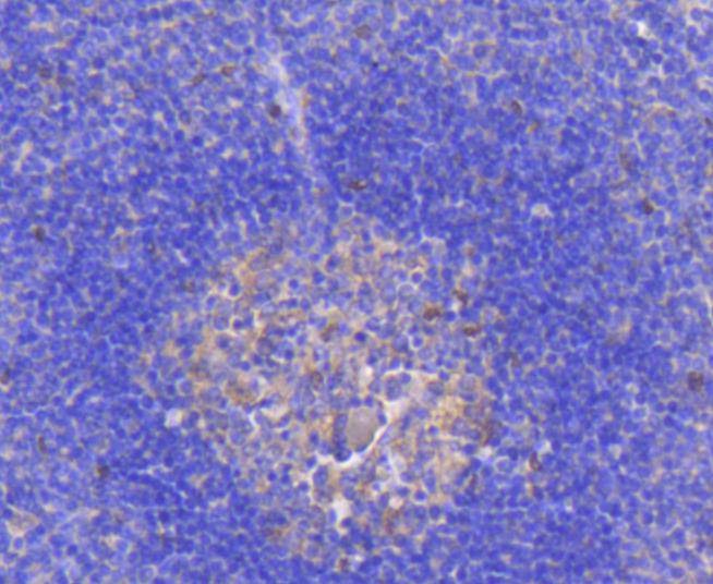
1. Immunohistochemical analysis of paraffin-embedded human spleen tissue using anti-RelB antibody. Counter stained with hematoxylin.
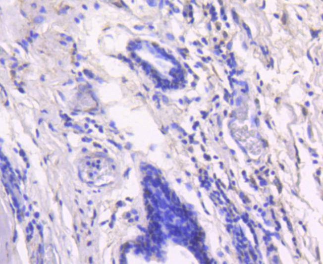
2. Immunohistochemical analysis of paraffin-embedded human breast carcinoma tissue using anti-RelB antibody. Counter stained with hematoxylin.
3. ICC staining RelB in A549 cells (green). The nuclear counter stain is DAPI (blue). Cells were fixed in paraformaldehyde, permeabilised with 0.25% Triton X100/PBS.
4. ICC staining RelB in SW480 cells (green). The nuclear counter stain is DAPI (blue). Cells were fixed in paraformaldehyde, permeabilised with 0.25% Triton X100/PBS.
5. ICC staining RelB in MCF-7 cells (green). The nuclear counter stain is DAPI (blue). Cells were fixed in paraformaldehyde, permeabilised with 0.25% Triton X100/PBS.
verifiedActivityverifiedActivityverifiedActivityverifiedActivityverifiedActivity
应用ICC/IFIHCIPWB
推荐剂量
WB: 1:1000; IHC: 1:50-200; ICC/IF: 1:50-200
抗体种类
Monoclonal
宿主来源Rabbit
构建方式Recombinant Antibody
纯化方式ProA affinity purified
性状Liquid
缓冲液1*TBS (pH7.4), 1%BSA, 40%Glycerol. Preservative: 0.05% Sodium Azide.
研究背景The NFκB transcription factor was originally identified as a protein complex consisting of a DNA binding subunit and an associated protein. The DNA binding subunit is functionally related to c-Rel p75 and Rel B p68. The p50 subunit was initially believed to be a functionally unique protein derived from the amino terminus of a precursor designated p105. A second protein designated p52 (previously referred to as p49) has been identified that can act as an alternative NFκB subunit. Rel B does not bind with high affinity to NFkB sites, but heterodimers between Rel B and p50 bind with an affinity comparable to that of p50 NFκB homodimers. However, Rel B/p50 heterodimers, in contrast to NFκB heterodimers, transactivates transcription of promotors containing κB binding sites.
偶联与修饰
偶联
Unconjugated
抗原信息
免疫原
Recombinant Protein
Uniprot ID
化学信息
分子量Theoretical: 62 kDa.
存储&运输
储存方式Store at -20°C or -80°C for 12 months. Avoid repeated freeze-thaw cycles.
运输方式Shipping with blue ice.

计算器

  • 稀释 计算器

评论列表

4个月前
5.0
Rating icon 很棒

评论内容

Related Tags: buy Anti-RELB Antibody (7J786) | purchase Anti-RELB Antibody (7J786) | Anti-RELB Antibody (7J786) cost | order Anti-RELB Antibody (7J786) | Anti-RELB Antibody (7J786) molecular weight