• TargetMol
    您的购物车当前为空

Anti-PTBP1 Antibody (4Z327)

一键复制产品信息
Rating icon 还可以
货号 TMAC-03455

别名 PTBP 1, PTB, Polypyrimidine tract-binding protein 1, hnRNP I, Heterogeneous nuclear ribonucleoprotein I, 57 kDa RNA-binding protein PPTB-1

Anti-PTBP1 Antibody (4Z327) 是一种 Rabbit 抗体,靶向 PTBP1。Anti-PTBP1 Antibody (4Z327) 可用于 IHC,WB。

Anti-PTBP1 Antibody (4Z327)

Anti-PTBP1 Antibody (4Z327)

一键复制产品信息
Rating icon 还可以
货号 TMAC-03455 别名 PTBP 1, PTB, Polypyrimidine tract-binding protein 1, hnRNP I, Heterogeneous nuclear ribonucleoprotein I, 57 kDa RNA-binding protein PPTB-1

Anti-PTBP1 Antibody (4Z327) 是一种 Rabbit 抗体,靶向 PTBP1。Anti-PTBP1 Antibody (4Z327) 可用于 IHC,WB。

规格价格库存数量
50 μL
¥ 1,480
5日内发货
100 μL
¥ 2,485
5日内发货
库存状态实时更新,以官网显示为准,现货产品可直接加购物车下单
大包装 & 定制
加入购物车
TargetMol的所有产品仅用作科学研究或药证申报,不能被用于人体,我们不向个人提供产品和服务。请您遵守承诺用途,不得违反法律法规规定用于任何其他用途。
实验操作小课堂
常见问题解答
查看更多
资源下载:

产品介绍


生物活性
产品描述
Anti-PTBP1 Antibody (4Z327) is a Rabbit antibody targeting PTBP1. Anti-PTBP1 Antibody (4Z327) can be used in IHC,WB.
别名PTBP 1, PTB, Polypyrimidine tract-binding protein 1, hnRNP I, Heterogeneous nuclear ribonucleoprotein I, 57 kDa RNA-binding protein PPTB-1
Ig Type
IgG
克隆号
4Z327
反应种属
Human,Mouse,Rat
验证活性
1. Western blot analysis of PTBP1 on different lysates using anti-PTBP1 antibody at 1/500 dilution. Positive control: Lane 1: K562, Lane 2: Jurkat, Lane 3: Mouse colon tissue.
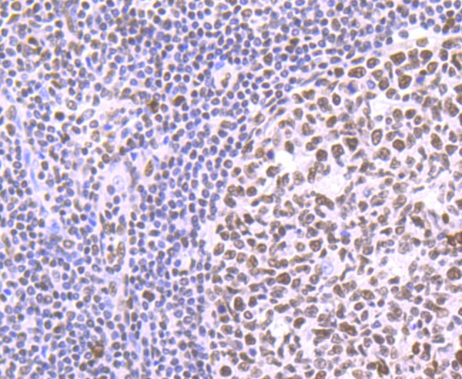
2. Immunohistochemical analysis of paraffin-embedded human tonsil tissue using anti-PTBP1 antibody. Counter stained with hematoxylin.
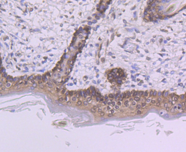
3. Immunohistochemical analysis of paraffin-embedded human skin tissue using anti-PTBP1 antibody. Counter stained with hematoxylin.
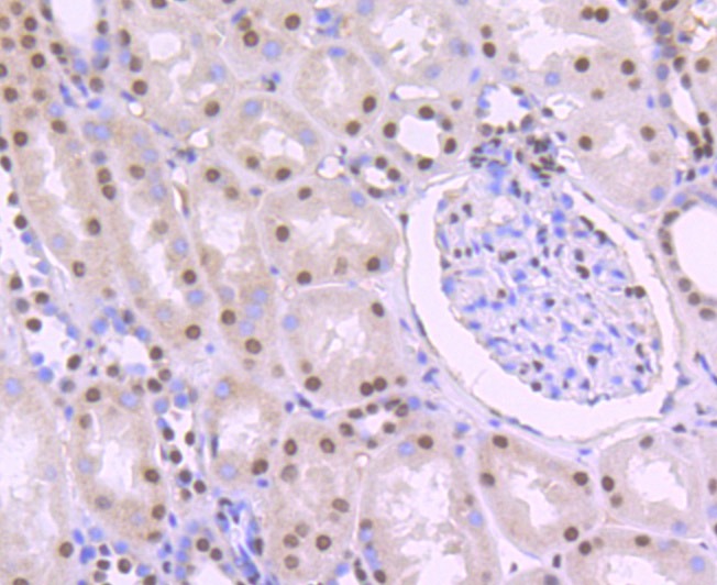
4. Immunohistochemical analysis of paraffin-embedded human kidney tissue using anti-PTBP1 antibody. Counter stained with hematoxylin.
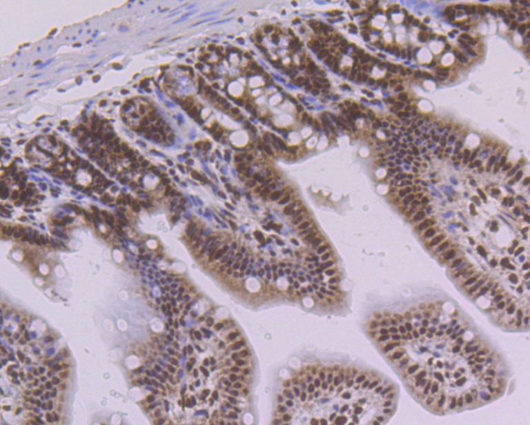
5. Immunohistochemical analysis of paraffin-embedded mouse colon tissue using anti-PTBP1 antibody. Counter stained with hematoxylin.
verifiedActivityverifiedActivityverifiedActivityverifiedActivityverifiedActivity
应用IHCWB
推荐剂量
WB: 1:500-2000; IHC: 1:50-200
抗体种类
Monoclonal
宿主来源Rabbit
构建方式Recombinant Antibody
纯化方式ProA affinity purified
性状Liquid
缓冲液1*TBS (pH7.4), 1%BSA, 40%Glycerol. Preservative: 0.05% Sodium Azide.
研究背景Plays a role in pre-mRNA splicing and in the regulation of alternative splicing events. Activates exon skipping of its own pre-mRNA during muscle cell differentiation. Binds to the polypyrimidine tract of introns. May promote RNA looping when bound to two separate polypyrimidine tracts in the same pre-mRNA. May promote the binding of U2 snRNP to pre-mRNA. Cooperates with RAVER1 to modulate switching between mutually exclusive exons during maturation of the TPM1 pre-mRNA. Represses the splicing of MAPT/Tau exon 10. In case of infection by picornaviruses, binds to the viral internal ribosome entry site (IRES) and stimulates the IRES-mediated translation.
偶联与修饰
偶联
Unconjugated
抗原信息
免疫原
Recombinant Protein
Uniprot ID
化学信息
分子量Theoretical: 57 kDa.
储存&溶解度
储存方式Store at -20°C or -80°C for 12 months. Avoid repeated freeze-thaw cycles.
运输方式Shipping with blue ice.
存储store at low temperature | -20°C for 1 year

计算器

  • 稀释 计算器
Related Tags: buy Anti-PTBP1 Antibody (4Z327) | purchase Anti-PTBP1 Antibody (4Z327) | Anti-PTBP1 Antibody (4Z327) cost | order Anti-PTBP1 Antibody (4Z327) | Anti-PTBP1 Antibody (4Z327) molecular weight