购物车
  • TargetMol
    您的购物车当前为空

Anti-Progesterone Receptor Antibody (9Z37)

Synonyms: Progestin receptor form B, Progestin receptor form A, Progesterone receptor, PRGR, PRB, PRA, PR, PGR, Nuclear receptor subfamily 3 group C member 3, NR3C3
货号 TMAC-03435 一键复制产品信息
Rating icon 还可以

Anti-Progesterone Receptor Antibody (9Z37) 是一种 Rabbit 抗体,靶向 Progesterone Receptor。Anti-Progesterone Receptor Antibody (9Z37) 可用于 ICC/IF,IHC,IP,WB。

Anti-Progesterone Receptor Antibody (9Z37)

一键复制产品信息
Rating icon 还可以
货号 TMAC-03435

别名 Progestin receptor form B, Progestin receptor form A, Progesterone receptor, PRGR, PRB, PRA, PR, PGR, Nuclear receptor subfamily 3 group C member 3, NR3C3

Anti-Progesterone Receptor Antibody (9Z37) 是一种 Rabbit 抗体,靶向 Progesterone Receptor。Anti-Progesterone Receptor Antibody (9Z37) 可用于 ICC/IF,IHC,IP,WB。

Anti-Progesterone Receptor Antibody (9Z37)
规格价格库存数量
50 μL
¥ 1,485
5日内发货
100 μL
¥ 2,490
5日内发货
库存状态实时更新,以官网显示为准,现货产品可直接加购物车下单
大包装 & 定制
加入购物车

TargetMol的所有产品仅用作科学研究或药证申报,不能被用于人体,我们不向个人提供产品和服务。请您遵守承诺用途,不得违反法律法规规定用于任何其他用途。

实验操作小课堂
常见问题解答
查看更多

资源下载:产品操作手册

产品介绍


生物活性
产品描述
Anti-Progesterone Receptor Antibody (9Z37) is a Rabbit antibody targeting Progesterone Receptor. Anti-Progesterone Receptor Antibody (9Z37) can be used in ICC/IF,IHC,IP,WB.
别名
Progestin receptor form B, Progestin receptor form A, Progesterone receptor, PRGR, PRB, PRA, PR, PGR, Nuclear receptor subfamily 3 group C member 3, NR3C3
Ig Type
IgG
克隆号
9Z37
反应种属
Human
验证活性
1. Immunohistochemical analysis of paraffin-embedded human breast tissue using anti-Progesterone Receptor antibody. Counter stained with hematoxylin.
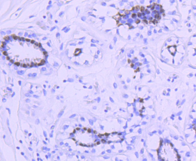
2. Immunohistochemical analysis of paraffin-embedded human breast carcinoma tissue using anti-Progesterone Receptor antibody. Counter stained with hematoxylin.
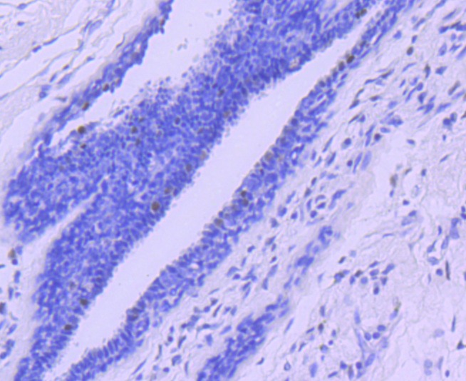
3. Immunohistochemical analysis of paraffin-embedded human uterus tissue using anti-Progesterone Receptor antibody. Counter stained with hematoxylin.
4. ICC staining Progesterone Receptor in MCF-7 cells (green). The nuclear counter stain is DAPI (blue). Cells were fixed in paraformaldehyde, permeabilised with 0.25% Triton X100/PBS.
verifiedActivityverifiedActivityverifiedActivityverifiedActivity
应用ICC/IFIHCIPWB
推荐剂量
WB: 1:1000; IHC: 1:50-200; ICC/IF: 1:50-200
抗体种类
Monoclonal
宿主来源Rabbit
构建方式Recombinant Antibody
纯化方式ProA affinity purified
性状Liquid
缓冲液1*TBS (pH7.4), 1%BSA, 40%Glycerol. Preservative: 0.05% Sodium Azide.
研究背景The effects of progesterone are mediated by two functionally different isoforms of the progesterone receptor, PR-A and PR-B, which are transcribed from distinct, estrogen-inducible promoters within a single copy of the PR gene. The first 164 amino acids of PR-B are absent in PR-A. Progesterone-bound PR-A and PR-B have different transcription activation properties. Specifically, PR-B functions as a transcriptional activator in most cell and promoter contexts, while PR-A is transcriptionally inactive and functions as a strong ligand-dependent transdominant repressor of steroid hormone receptor transcriptional activity. An inhibitory domain (ID), which maps to the amino terminus of the receptor, exists within both PR isoforms. Interestingly, the ID is functionally active only in PR-A and is necessary for steroid hormone transrepression by PR-A, suggesting that PR-A and PR-B may have different conformations in the cell. Phosphorylation of human PR occurs on at least nine serine residues. Phosphorylation of three of the residues is hormone-inducible (Ser 102, Ser 294 and Ser 345); the others are basal but hormone-stimulated.
偶联与修饰
偶联
Unconjugated
抗原信息
免疫原
Recombinant Protein
Uniprot ID
化学信息
分子量Theoretical: 99 kDa.
储存&溶解度
储存方式Store at -20°C or -80°C for 12 months. Avoid repeated freeze-thaw cycles.
运输方式Shipping with blue ice.

计算器

  • 稀释 计算器
  • 配液 计算器
Related Tags: buy Anti-Progesterone Receptor Antibody (9Z37) | purchase Anti-Progesterone Receptor Antibody (9Z37) | Anti-Progesterone Receptor Antibody (9Z37) cost | order Anti-Progesterone Receptor Antibody (9Z37) | Anti-Progesterone Receptor Antibody (9Z37) molecular weight