• TargetMol
    您的购物车当前为空

Anti-CGRP-I Polyclonal Antibody

一键复制产品信息
Rating icon 还可以
货号 TMAB-01577

别名 Procalcitonin, PCT, KC, CT, CGRP-I, CGRP1, CGRP, calcitonin-related polypeptide α, calcitonin-related polypeptide alpha, CALC1

Anti-CGRP-I Polyclonal Antibody 是一种 Rabbit 抗体,靶向 CGRP-I。Anti-CGRP-I Polyclonal Antibody 可用于 IF,IHC-Fr,IHC-P。

Anti-CGRP-I Polyclonal Antibody

Anti-CGRP-I Polyclonal Antibody

一键复制产品信息
Rating icon 还可以
货号 TMAB-01577 别名 Procalcitonin, PCT, KC, CT, CGRP-I, CGRP1, CGRP, calcitonin-related polypeptide α, calcitonin-related polypeptide alpha, CALC1

Anti-CGRP-I Polyclonal Antibody 是一种 Rabbit 抗体,靶向 CGRP-I。Anti-CGRP-I Polyclonal Antibody 可用于 IF,IHC-Fr,IHC-P。

规格价格库存数量
50 μL
¥ 1,170
5日内发货
100 μL
¥ 1,975
5日内发货
200 μL
¥ 2,790
5日内发货
库存状态实时更新,以官网显示为准,现货产品可直接加购物车下单
大包装 & 定制
加入购物车
TargetMol的所有产品仅用作科学研究或药证申报,不能被用于人体,我们不向个人提供产品和服务。请您遵守承诺用途,不得违反法律法规规定用于任何其他用途。
实验操作小课堂
常见问题解答
查看更多
资源下载:

产品介绍


生物活性
产品描述
Anti-CGRP-I Polyclonal Antibody is a Rabbit antibody targeting CGRP-I. Anti-CGRP-I Polyclonal Antibody can be used in IF,IHC-Fr,IHC-P.
别名Procalcitonin, PCT, KC, CT, CGRP-I, CGRP1, CGRP, calcitonin-related polypeptide α, calcitonin-related polypeptide alpha, CALC1
Ig Type
IgG
反应种属
Mouse,Rat (predicted:Human,Chicken,Pig,Cow)
验证活性
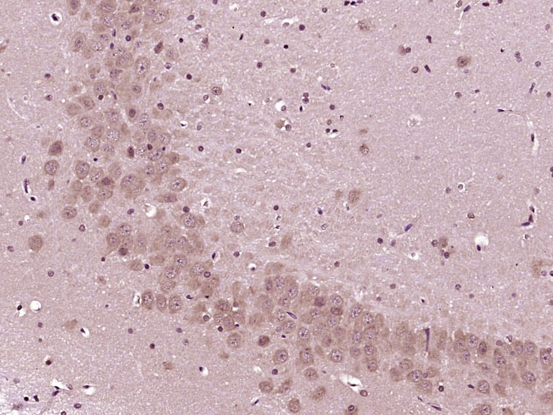
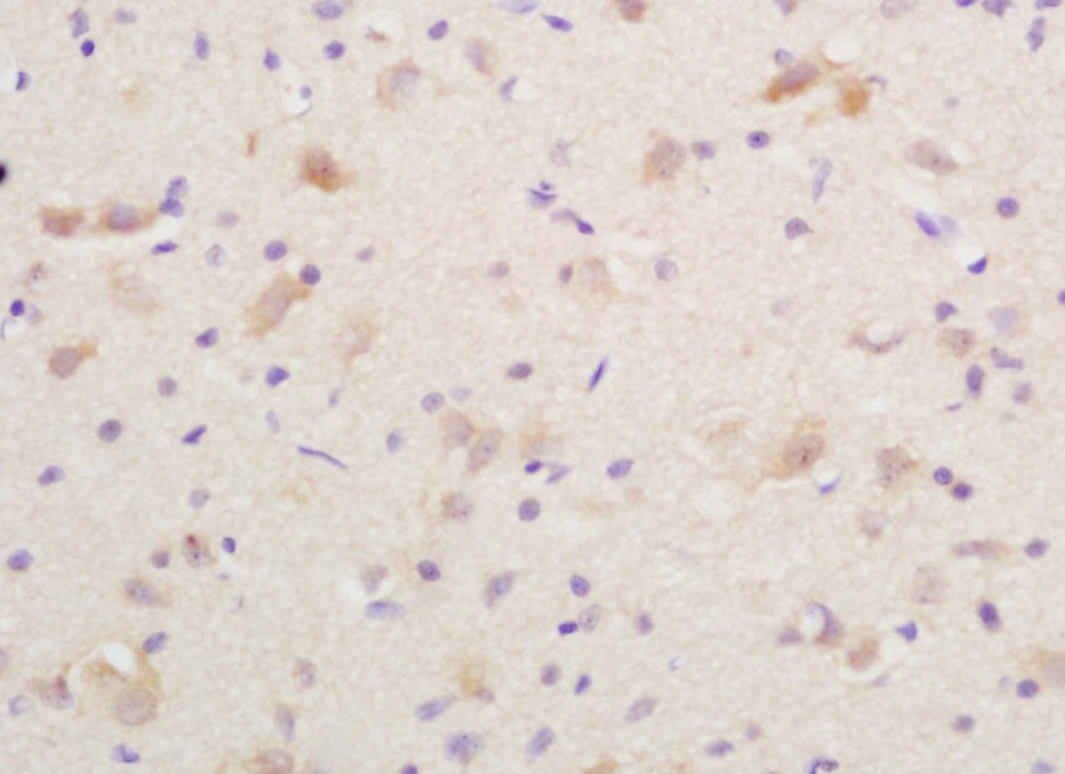
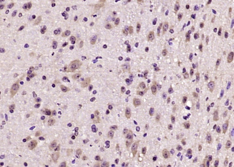
1. Paraformaldehyde-fixed, paraffin embedded (mouse brain); Antigen retrieval by boiling in sodium citrate buffer (pH6.0) for 15 min; Block endogenous peroxidase by 3% hydrogen peroxide for 20 min; Blocking buffer (normal goat serum) at 37°C for 30 min; Antibody incubation with (CGRP-I) Polyclonal Antibody, Unconjugated (TMAB-01577) at 1:200 overnight at 4°C, followed by operating according to SP Kit (Rabbit) instructionsand DAB staining.
2. Tissue/cell: rat brain tissue; 4% Paraformaldehyde-fixed and paraffin-embedded;
Antigen retrieval: citrate buffer (0.01M, pH6.0), Boiling bathing for 15 min; Block endogenous peroxidase by 3% Hydrogen peroxide for 30 min; Blocking buffer (normal goat serum) at 37°C for 20 min;
Incubation: Anti-CGRP-1 Polyclonal Antibody, Unconjugated (TMAB-01577) 1:200, overnight at 4°C, followed by conjugation to the secondary antibody and DAb staining.
3. Paraformaldehyde-fixed, paraffin embedded (Rat brain); Antigen retrieval by boiling in sodium citrate buffer (pH6.0) for 15 min; Block endogenous peroxidase by 3% hydrogen peroxide for 20 min; Blocking buffer (normal goat serum) at 37°C for 30 min; Antibody incubation with (CGRP-I) Polyclonal Antibody, Unconjugated (TMAB-01577) at 1:400 overnight at 4°C, followed by operating according to SP Kit (Rabbit) instructionsand DAB staining.
verifiedActivityverifiedActivityverifiedActivity
应用IFIHC-FrIHC-P
推荐剂量
IHC-P: 1:100-500; IHC-Fr: 1:100-500; IF: 1:100-500
抗体种类
Polyclonal
宿主来源Rabbit
亚细胞定位Secreted.
构建方式Polyclonal Antibody
纯化方式Protein A purified
性状Liquid
缓冲液0.01M TBS (pH7.4) with 1% BSA, 0.02% Proclin300 and 50% Glycerol.
浓度1 mg/mL
研究背景Procalcitonin (PCT) is a peptide precursor of the hormone calcitonin, the latter being involved with calcium homeostasis. It arises once preprocalcitonin is cleaved by endopeptidase. It is composed of 116 amino acids and is produced by parafollicular cells (C cells) of the thyroid and by the neuroendocrine cells of the lung and the intestine.
抗原信息
免疫原
KLH conjugated synthetic peptide: human CGRP-I
抗原种属
Human
基因名称
CALCA
基因ID
蛋白名称
Calcitonin
Uniprot ID
研究领域
Hormones,Hormones,Hormones
功能
The level of procalcitonin in the blood stream of healthy individuals is below the limit of detection (0.01 µg/L) of clinical assays. The level of procalcitonin rises in a response to a proinflammatory stimulus, especially of bacterial origin. It does not rise significantly with viral or non-infectious inflammations. With the derangements that a severe infection with an associated systemic response brings, the blood levels of procalcitonin may rise to 100 µg/L. In serum, procalcitonin has a half-life of 25 to 30 hours. Remarkably the high procalcitonin levels produced during infections are not followed by a parallel increase in calcitonin or a decrease in serum calcium levels.
化学信息
分子量Theoretical: 3.5 kDa.
储存&溶解度
储存方式Store at -20°C or -80°C for 12 months. Avoid repeated freeze-thaw cycles.
运输方式Shipping with blue ice.
存储store at low temperature | store at -20°C

计算器

  • 稀释 计算器
Related Tags: buy Anti-CGRP-I Polyclonal Antibody | purchase Anti-CGRP-I Polyclonal Antibody | Anti-CGRP-I Polyclonal Antibody cost | order Anti-CGRP-I Polyclonal Antibody | Anti-CGRP-I Polyclonal Antibody molecular weight