• TargetMol
    您的购物车当前为空

Anti-CGRP-I/II Polyclonal Antibody

一键复制产品信息
Rating icon 还可以
产品编号 TMAB-01576

别名 Procalcitonin, PCT, KC, CT, CGRP-I, CGRP1, CGRP, calcitonin-related polypeptide α, calcitonin-related polypeptide alpha, CALC1

Anti-CGRP-I/II Polyclonal Antibody 是一种 Rabbit 抗体,靶向 CGRP-I/II。Anti-CGRP-I/II Polyclonal Antibody 可用于 IF,IHC-Fr,IHC-P。

Anti-CGRP-I/II Polyclonal Antibody

Anti-CGRP-I/II Polyclonal Antibody

一键复制产品信息
Rating icon 还可以
产品编号 TMAB-01576 别名 Procalcitonin, PCT, KC, CT, CGRP-I, CGRP1, CGRP, calcitonin-related polypeptide α, calcitonin-related polypeptide alpha, CALC1

Anti-CGRP-I/II Polyclonal Antibody 是一种 Rabbit 抗体,靶向 CGRP-I/II。Anti-CGRP-I/II Polyclonal Antibody 可用于 IF,IHC-Fr,IHC-P。

规格价格库存数量
50 μL
¥ 1,160
5日内发货
100 μL
¥ 1,970
5日内发货
200 μL
¥ 2,790
5日内发货
大包装 & 定制
加入购物车
TargetMol 的所有产品仅用作科学研究或药证申报,不能被用于人体,我们不向个人提供产品和服务。请您遵守承诺用途,不得违反法律法规规定用于任何其他用途。
实验操作小课堂
常见问题解答
查看更多

Anti-CGRP-I/II Polyclonal Antibody 相关产品


资源下载

产品介绍

生物活性
产品描述
Anti-CGRP-I/II Polyclonal Antibody is a Rabbit antibody targeting CGRP-I/II. Anti-CGRP-I/II Polyclonal Antibody can be used in IF,IHC-Fr,IHC-P.
别名Procalcitonin, PCT, KC, CT, CGRP-I, CGRP1, CGRP, calcitonin-related polypeptide α, calcitonin-related polypeptide alpha, CALC1
Ig Type
IgG
交叉反应
Human,Rat (predicted:Mouse,Chicken,Pig,Cow)
验证活性
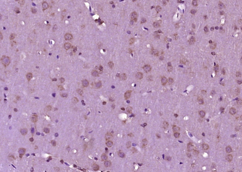
Paraformaldehyde-fixed, paraffin embedded (Rat brain); Antigen retrieval by boiling in sodium citrate buffer (pH6.0) for 15 min; Block endogenous peroxidase by 3% hydrogen peroxide for 20 min; Blocking buffer (normal goat serum) at 37°C for 30 min; Antibody incubation with (CGRP) Polyclonal Antibody, Unconjugated (TMAB-01576) at 1:400 overnight at 4°C, followed by operating according to SP Kit (Rabbit) instructionsand DAB staining.
verifiedActivity
应用IFIHC-FrIHC-P
推荐剂量
IHC-P: 1:100-500; IHC-Fr: 1:100-500; IF: 1:100-500
抗体种类
Polyclonal
宿主来源Rabbit
亚细胞定位Secreted.
构建方式Polyclonal Antibody
纯化方式Protein A purified
性状Liquid
缓冲液0.01M TBS (pH7.4) with 1% BSA, 0.02% Proclin300 and 50% Glycerol.
浓度1 mg/mL
研究背景Procalcitonin (PCT) is a peptide precursor of the hormone calcitonin, the latter being involved with calcium homeostasis. It arises once preprocalcitonin is cleaved by endopeptidase. It is composed of 116 amino acids and is produced by parafollicular cells (C cells) of the thyroid and by the neuroendocrine cells of the lung and the intestine.
抗原信息
免疫原
KLH conjugated synthetic peptide: human Calcitonin gene-related peptide 1
抗原种属
Human
基因名称
CALCA
基因ID
蛋白名称
Calcitonin
Uniprot ID
研究领域
Hormones,Hormones,Hormones
功能
The level of procalcitonin in the blood stream of healthy individuals is below the limit of detection (0.01 µg/L) of clinical assays. The level of procalcitonin rises in a response to a proinflammatory stimulus, especially of bacterial origin. It does not rise significantly with viral or non-infectious inflammations. With the derangements that a severe infection with an associated systemic response brings, the blood levels of procalcitonin may rise to 100 µg/L. In serum, procalcitonin has a half-life of 25 to 30 hours. Remarkably the high procalcitonin levels produced during infections are not followed by a parallel increase in calcitonin or a decrease in serum calcium levels.
化学信息
分子量Theoretical: 3.8/14 kDa. Actual: 4/14-17 kDa.
存储&运输
储存方式Store at -20°C or -80°C for 12 months. Avoid repeated freeze-thaw cycles.
运输方式Shipping with blue ice.

计算器

  • 稀释 计算器

关键词

评论列表

4个月前
5.0
Rating icon 很棒

评论内容

Related Tags: buy Anti-CGRP-I/II Polyclonal Antibody | purchase Anti-CGRP-I/II Polyclonal Antibody | Anti-CGRP-I/II Polyclonal Antibody cost | order Anti-CGRP-I/II Polyclonal Antibody | Anti-CGRP-I/II Polyclonal Antibody molecular weight