• TargetMol
    您的购物车当前为空

Anti-PRKCD Antibody (8E672)

一键复制产品信息
Rating icon 还可以
货号 TMAC-03316

别名 Tyrosine-protein kinase PRKCD, Protein kinase C delta type, PRKCD, PKCD, nPKC-delta

Anti-PRKCD Antibody (8E672) 是一种 Rabbit 抗体,靶向 PRKCD。Anti-PRKCD Antibody (8E672) 可用于 ICC/IF,IHC,WB。

Anti-PRKCD Antibody (8E672)

Anti-PRKCD Antibody (8E672)

一键复制产品信息
Rating icon 还可以
货号 TMAC-03316 别名 Tyrosine-protein kinase PRKCD, Protein kinase C delta type, PRKCD, PKCD, nPKC-delta

Anti-PRKCD Antibody (8E672) 是一种 Rabbit 抗体,靶向 PRKCD。Anti-PRKCD Antibody (8E672) 可用于 ICC/IF,IHC,WB。

规格价格库存数量
50 μL
¥ 1,485
5日内发货
100 μL
¥ 2,485
5日内发货
库存状态实时更新,以官网显示为准,现货产品可直接加购物车下单
大包装 & 定制
加入购物车
TargetMol的所有产品仅用作科学研究或药证申报,不能被用于人体,我们不向个人提供产品和服务。请您遵守承诺用途,不得违反法律法规规定用于任何其他用途。
实验操作小课堂
常见问题解答
查看更多
资源下载:

产品介绍


生物活性
产品描述
Anti-PRKCD Antibody (8E672) is a Rabbit antibody targeting PRKCD. Anti-PRKCD Antibody (8E672) can be used in ICC/IF,IHC,WB.
别名Tyrosine-protein kinase PRKCD, Protein kinase C delta type, PRKCD, PKCD, nPKC-delta
Ig Type
IgG
克隆号
8E672
反应种属
Human,Mouse,Rat
验证活性
1. Western blot analysis of PKC delta on different lysates using anti-PKC delta antibody at 1/1,000 dilution. Positive control: Lane 1: Hela, Lane 2: NIH/3T3.
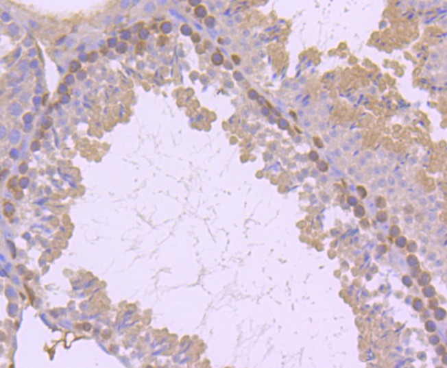
2. Immunohistochemical analysis of paraffin-embedded mouse testis tissue using anti-PKC delta antibody. Counter stained with hematoxylin.
3. Immunohistochemical analysis of paraffin-embedded mouse liver tissue using anti-PKC delta antibody. Counter stained with hematoxylin.
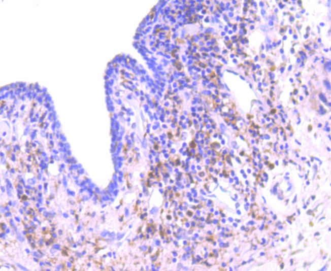
4. Immunohistochemical analysis of paraffin-embedded human tonsil tissue using anti-PKC delta antibody. Counter stained with hematoxylin.
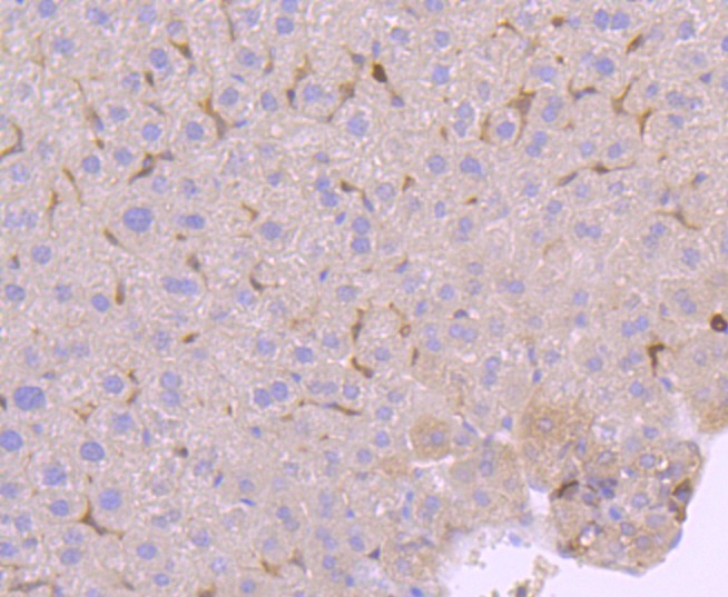
5. Immunohistochemical analysis of paraffin-embedded human liver tissue using anti-PKC delta antibody. Counter stained with hematoxylin.
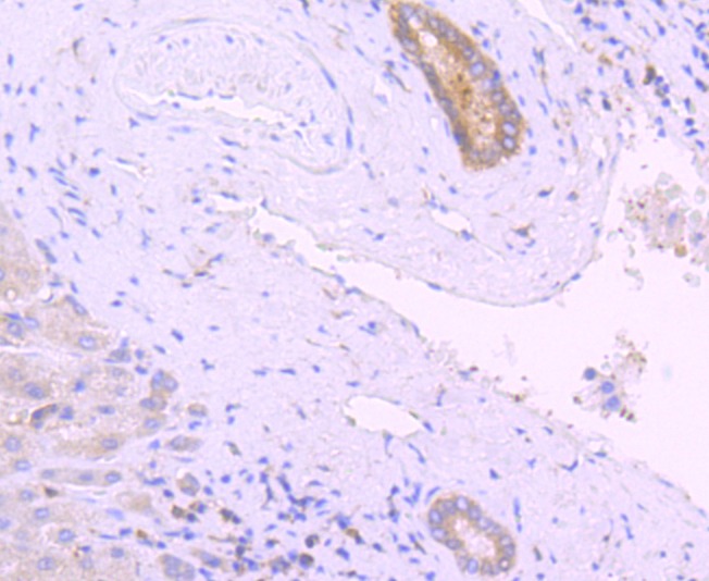
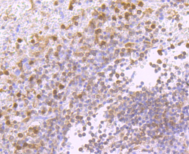
6. Immunohistochemical analysis of paraffin-embedded human spleen tissue using anti-PKC delta antibody. Counter stained with hematoxylin.
7. Immunohistochemical analysis of paraffin-embedded human breast carcinoma tissue using anti-PKC delta antibody. Counter stained with hematoxylin.
8. ICC staining PKC delta in A549 cells (green). The nuclear counter stain is DAPI (blue). Cells were fixed in paraformaldehyde, permeabilised with 0.25% Triton X100/PBS.
9. ICC staining PKC delta in MCF-7 cells (green). The nuclear counter stain is DAPI (blue). Cells were fixed in paraformaldehyde, permeabilised with 0.25% Triton X100/PBS.
10. ICC staining PKC delta in HepG2 cells (green). The nuclear counter stain is DAPI (blue). Cells were fixed in paraformaldehyde, permeabilised with 0.25% Triton X100/PBS.
11. ICC staining PKC delta in RH-35 cells (green). The nuclear counter stain is DAPI (blue). Cells were fixed in paraformaldehyde, permeabilised with 0.25% Triton X100/PBS.
verifiedActivityverifiedActivityverifiedActivityverifiedActivityverifiedActivityverifiedActivityverifiedActivityverifiedActivityverifiedActivityverifiedActivityverifiedActivity
应用ICC/IFIHCWB
推荐剂量
WB: 1:1000-2000; IHC: 1:50-200; ICC/IF: 1:50-200
抗体种类
Monoclonal
宿主来源Rabbit
构建方式Recombinant Antibody
纯化方式ProA affinity purified
性状Liquid
缓冲液1*TBS (pH7.4), 1%BSA, 40%Glycerol. Preservative: 0.05% Sodium Azide.
研究背景Members of the protein kinase C (PKC) family play a key regulatory role in a variety of cellular functions, including cell growth and differentiation, gene expression, hormone secretion and membrane function. PKCs were originally identified as serine/threonine protein kinases whose activity was dependent on calcium and phospholipids. Diacylglycerols (DAG) and tumor promoting phorbol esters bind to and activate PKC. PKCs can be subdivided into at least two major classes, including conventional (c) PKC isoforms (α, βI, βII and γ) and novel (n) PKC isoforms (δ, ε, ζ, η, θ, λ/ι, μ and ν). Patterns of expression for each PKC isoform differ among tissues and PKC family members exhibit clear differences in their cofactor dependencies. For instance, the kinase activities of PKC δ and ε are independent of Ca2+. On the other hand, most of the other PKC members possess phorbol ester-binding activities and kinase activities.
偶联与修饰
偶联
Unconjugated
抗原信息
免疫原
Recombinant Protein
Uniprot ID
化学信息
分子量Theoretical: 78 kDa.
储存&溶解度
储存方式Store at -20°C or -80°C for 12 months. Avoid repeated freeze-thaw cycles.
运输方式Shipping with blue ice.
存储store at low temperature | -20°C for 1 year

计算器

  • 稀释 计算器
Related Tags: buy Anti-PRKCD Antibody (8E672) | purchase Anti-PRKCD Antibody (8E672) | Anti-PRKCD Antibody (8E672) cost | order Anti-PRKCD Antibody (8E672) | Anti-PRKCD Antibody (8E672) molecular weight