• TargetMol
    您的购物车当前为空

Anti-PIK3CA Polyclonal Antibody

一键复制产品信息
Rating icon 还可以
产品编号 TMAB-01538

Anti-PIK3CA Polyclonal Antibody 是一种 Rabbit 抗体,靶向 PIK3CA。Anti-PIK3CA Polyclonal Antibody 可用于 ICC/IF,IF,IHC-Fr,IHC-P,WB。

Anti-PIK3CA Polyclonal Antibody

Anti-PIK3CA Polyclonal Antibody

一键复制产品信息
Rating icon 还可以
产品编号 TMAB-01538

Anti-PIK3CA Polyclonal Antibody 是一种 Rabbit 抗体,靶向 PIK3CA。Anti-PIK3CA Polyclonal Antibody 可用于 ICC/IF,IF,IHC-Fr,IHC-P,WB。

规格价格库存数量
50 μL
¥ 1,170
5日内发货
100 μL
¥ 1,970
5日内发货
200 μL
¥ 2,795
5日内发货
大包装 & 定制
加入购物车
TargetMol 的所有产品仅用作科学研究或药证申报,不能被用于人体,我们不向个人提供产品和服务。请您遵守承诺用途,不得违反法律法规规定用于任何其他用途。
实验操作小课堂
常见问题解答
查看更多

Anti-PIK3CA Polyclonal Antibody 相关产品


资源下载

产品介绍

生物活性
产品描述
Anti-PIK3CA Polyclonal Antibody is a Rabbit antibody targeting PIK3CA. Anti-PIK3CA Polyclonal Antibody can be used in ICC/IF,IF,IHC-Fr,IHC-P,WB.
Ig Type
IgG
交叉反应
Human,Mouse,Rat (predicted:Chicken,Cow,Rabbit)
验证活性
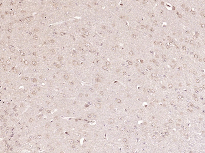
1. Paraformaldehyde-fixed, paraffin embedded (Mouse brain); Antigen retrieval by boiling in sodium citrate buffer (pH6.0) for 15 min; Block endogenous peroxidase by 3% hydrogen peroxide for 20 min; Blocking buffer (normal goat serum) at 37°C for 30 min; Antibody incubation with (PIK3CA) Polyclonal Antibody, Unconjugated (TMAB-01538) at 1:400 overnight at 4°C, followed by operating according to SP Kit (Rabbit) instructionsand DAB staining.
2. Sample:
SW480 (Human) Cell Lysate at 30 μg
NIH/3T3 (Mouse) Cell Lysate at 30 μg
Primary: Anti-PIK3CA (TMAB-01538) at 1/1000 dilution
Secondary: IRDye800CW Goat Anti-Rabbit IgG at 1/20000 dilution
Predicted band size: 124 kDa
Observed band size: 124 kDa
3. Paraformaldehyde-fixed, paraffin embedded (Rat brain); Antigen retrieval by boiling in sodium citrate buffer (pH6.0) for 15 min; Block endogenous peroxidase by 3% hydrogen peroxide for 20 min; Blocking buffer (normal goat serum) at 37°C for 30 min; Antibody incubation with (PIK3CA) Polyclonal Antibody, Unconjugated (TMAB-01538) at 1:400 overnight at 4°C, followed by operating according to SP Kit (Rabbit) instructionsand DAB staining.
4. NIH/3T3 cell; 4% Paraformaldehyde-fixed; Triton X-100 at room temperature for 20 min; Blocking buffer (normal goat serum) at 37°C for 20 min; Antibody incubation with (PIK3CA) polyclonal Antibody, Unconjugated (TMAB-01538) 1:100, 90 minutes at 37°C; followed by a conjugated Goat Anti-Rabbit IgG antibody at 37°C for 90 minutes, DAPI (blue) was used to stain the cell nucleus.
verifiedActivityverifiedActivityverifiedActivityverifiedActivity
应用ICC/IFIFIHC-FrIHC-PWB
推荐剂量
WB: 1:500-2000; IHC-P: 1:100-500; IHC-Fr: 1:100-500; ICC/IF: 1:100; IF: 1:100-500
抗体种类
Polyclonal
宿主来源Rabbit
构建方式Polyclonal Antibody
纯化方式Protein A purified
性状Liquid
缓冲液0.01M TBS (pH7.4) with 1% BSA, 0.02% Proclin300 and 50% Glycerol.
浓度1 mg/mL
研究背景PI3-Kinases (PI3-Ks) are a family of lipid kinases that are implicated in signal transduction. Phosphatidylinositol 3-kinase is composed of an 85 kDa regulatory subunit and a 110 kDa catalytic subunit. The p85 subunit localize PI3-K activity to the plasma membrane while the p110 subunit contains the catalytic domain of PI3-K which uses ATP to phosphorylate PtdIns, PtdIns4P and PtdInsP2. Four isoforms of p110 has been found; alpha, beta, gamma, and the delta subunit. The alpha isoform, also known as PI3KCA, is a transforming oncogene that was shown to have activating mutations in nine types of cancers such as colon, brain, breast and stomach.
抗原信息
免疫原
KLH conjugated synthetic peptide: human PI3KCA
抗原种属
Human
基因名称
PIK3CA
基因ID
蛋白名称
Phosphatidylinositol 4, 5-bisphosphate 3-kinase catalytic subunit alpha isoform
Uniprot ID
研究领域
Signal transducers,Signal transduction,TLR Signaling,Lipid Kinases
功能
PI3K that phosphorylates PtdIns, PtdIns4P and PtdIns(4,5)P2 to generate PIP3. PIP3 plays a key role by recruiting PH domain-containing proteins to the membrane, including AKT1 and PDPK1, activating signaling cascades involved in cell growth, survival, proliferation, motility and morphology. Participates in cellular signaling in response to various growth factors. Involved in the activation of AKT1 upon stimulation by receptor tyrosine kinases ligands such as EGF, insulin, IGF1, VEGFA and PDGF. Involved in signaling via insulin-receptor substrate proteins. Essential in endothelial cell migration during vascular development through VEGFA signaling, possibly by regulating RhoA activity. Required for lymphatic vasculature development, possibly by binding to RAS and by activation by EGF and FGF2, but not by PDGF. Regulates invadopodia formation in breast cancer cells through the PDPK1-AKT1 pathway. Participates in cardiomyogenesis in embryonic stem cells through a AKT1 pathway. Participates in vasculogenesis in embryonic stem cells through PDK1 and protein kinase C pathway. Has also serine-protein kinase activity: phosphorylates PIK3R1, EIF4EBP1 and HRAS.
化学信息
分子量Theoretical: 124 kDa.
存储&运输
储存方式Store at -20°C or -80°C for 12 months. Avoid repeated freeze-thaw cycles.
运输方式Shipping with blue ice.

计算器

  • 稀释 计算器

关键词

评论列表

4个月前
5.0
Rating icon 很棒

评论内容

Related Tags: buy Anti-PIK3CA Polyclonal Antibody | purchase Anti-PIK3CA Polyclonal Antibody | Anti-PIK3CA Polyclonal Antibody cost | order Anti-PIK3CA Polyclonal Antibody | Anti-PIK3CA Polyclonal Antibody molecular weight