• TargetMol
    您的购物车当前为空

Anti-Phospho-VHL (Ser68) Polyclonal Antibody

一键复制产品信息
Rating icon 还可以
货号 TMAC-04253

别名 VHL (p-Ser68), VHL (p-S68), p-VHL (Ser68), p-VHL (S68)

Anti-Phospho-VHL (Ser68) Polyclonal Antibody 是一种 Rabbit 抗体,靶向 Phospho-VHL (Ser68)。Anti-Phospho-VHL (Ser68) Polyclonal Antibody 可用于 IF,IHC。

Anti-Phospho-VHL (Ser68) Polyclonal Antibody

Anti-Phospho-VHL (Ser68) Polyclonal Antibody

一键复制产品信息
Rating icon 还可以
货号 TMAC-04253 别名 VHL (p-Ser68), VHL (p-S68), p-VHL (Ser68), p-VHL (S68)

Anti-Phospho-VHL (Ser68) Polyclonal Antibody 是一种 Rabbit 抗体,靶向 Phospho-VHL (Ser68)。Anti-Phospho-VHL (Ser68) Polyclonal Antibody 可用于 IF,IHC。

规格价格库存数量
50 μL
¥ 1,495
5日内发货
100 μL
¥ 2,480
5日内发货
库存状态实时更新,以官网显示为准,现货产品可直接加购物车下单
大包装 & 定制
加入购物车
TargetMol的所有产品仅用作科学研究或药证申报,不能被用于人体,我们不向个人提供产品和服务。请您遵守承诺用途,不得违反法律法规规定用于任何其他用途。
实验操作小课堂
常见问题解答
查看更多
资源下载:

产品介绍


生物活性
产品描述
Anti-Phospho-VHL (Ser68) Polyclonal Antibody is a Rabbit antibody targeting Phospho-VHL (Ser68). Anti-Phospho-VHL (Ser68) Polyclonal Antibody can be used in IF,IHC.
别名VHL (p-Ser68), VHL (p-S68), p-VHL (Ser68), p-VHL (S68)
Ig Type
IgG
反应种属
Human,Mouse,Rat
验证活性
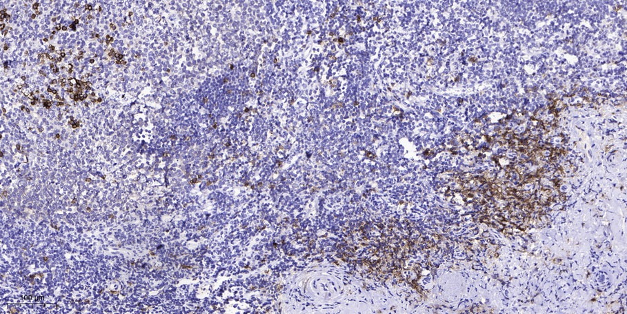
1. Immunohistochemical analysis of paraffin-embedded human tonsil. 1, Antibody was diluted at 1:200(4°C overnight). 2, Tris-EDTA,pH9.0 was used for antigen retrieval. 3,Secondary antibody was diluted at 1:200(room temperature, 45min).
verifiedActivity
应用IFIHC
推荐剂量
IHC: 1:100-300; IF: 1:50-200
抗体种类
Polyclonal
宿主来源Rabbit
构建方式Polyclonal Antibody
纯化方式The antibody was affinity-purified from rabbit antiserum by affinity-chromatography using epitope-specific immunogen.
性状Liquid
缓冲液Rabbit IgG in phosphate buffered saline (without Mg2+ and Ca2+), pH 7.4, 150mM NaCl, 0.02% sodium azide and 50% glycerol.
偶联与修饰
偶联
Unconjugated
其他可选修饰符
Phospho
抗原信息
免疫原
A synthesized phosphopeptide: human VHL around the phosphorylation site of Ser68
抗原种属
human
Uniprot ID
储存&溶解度
储存方式Store at -20°C or -80°C for 12 months. Avoid repeated freeze-thaw cycles.
运输方式Shipping with blue ice.
存储store at low temperature | -20°C for 1 year

计算器

  • 稀释 计算器
Related Tags: buy Anti-Phospho-VHL (Ser68) Polyclonal Antibody | purchase Anti-Phospho-VHL (Ser68) Polyclonal Antibody | Anti-Phospho-VHL (Ser68) Polyclonal Antibody cost | order Anti-Phospho-VHL (Ser68) Polyclonal Antibody