购物车
  • TargetMol
    您的购物车当前为空

Anti-Phospho-TOP2A (Ser1106) Polyclonal Antibody 2

Synonyms: TOP2A (p-Ser1106), TOP2A (p-S1106), p-TOP2A (Ser1106), p-TOP2A (S1106)
货号 TMAC-04078 一键复制产品信息
Rating icon 还可以

Anti-Phospho-TOP2A (Ser1106) Polyclonal Antibody 是一种 Rabbit 抗体,靶向 Phospho-TOP2A (Ser1106)。Anti-Phospho-TOP2A (Ser1106) Polyclonal Antibody 可用于 IHC,WB。

Anti-Phospho-TOP2A (Ser1106) Polyclonal Antibody 2

一键复制产品信息
Rating icon 还可以
货号 TMAC-04078

别名 TOP2A (p-Ser1106), TOP2A (p-S1106), p-TOP2A (Ser1106), p-TOP2A (S1106)

Anti-Phospho-TOP2A (Ser1106) Polyclonal Antibody 是一种 Rabbit 抗体,靶向 Phospho-TOP2A (Ser1106)。Anti-Phospho-TOP2A (Ser1106) Polyclonal Antibody 可用于 IHC,WB。

Anti-Phospho-TOP2A (Ser1106) Polyclonal Antibody 2
规格价格库存数量
50 μL
¥ 1,495
5日内发货
100 μL
¥ 2,240
5日内发货
库存状态实时更新,以官网显示为准,现货产品可直接加购物车下单
大包装 & 定制
加入购物车

TargetMol的所有产品仅用作科学研究或药证申报,不能被用于人体,我们不向个人提供产品和服务。请您遵守承诺用途,不得违反法律法规规定用于任何其他用途。

实验操作小课堂
常见问题解答
查看更多

资源下载:产品操作手册

产品介绍


生物活性
产品描述
Anti-Phospho-TOP2A (Ser1106) Polyclonal Antibody is a Rabbit antibody targeting Phospho-TOP2A (Ser1106). Anti-Phospho-TOP2A (Ser1106) Polyclonal Antibody can be used in IHC,WB.
别名
TOP2A (p-Ser1106), TOP2A (p-S1106), p-TOP2A (Ser1106), p-TOP2A (S1106)
Ig Type
IgG
反应种属
Human,Mouse
验证活性
1. Western blot analysis of extracts from Jurkat cells, treated with paclitaxel (1uM, 24hours), using TOP2A (Phospho-Ser1106) antibody TMAC-04078. The lane on the right is treated with the synthesized peptide.
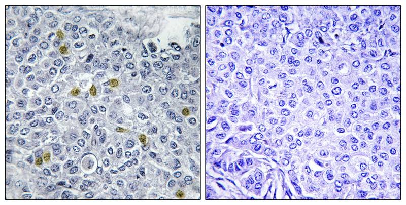
2. Immunohistochemistry analysis of paraffin-embedded human breast carcinoma tissue using TOP2A (Phospho-Ser1106) antibody TMAC-04078. The picture on the right is treated with the synthesized peptide.
verifiedActivityverifiedActivity
应用IHCWB
推荐剂量
WB: 1:500-3000; IHC: 1:50-100
抗体种类
Polyclonal
宿主来源Rabbit
构建方式Polyclonal Antibody
纯化方式Antibodies were produced by immunizing rabbits with synthetic phosphopeptide and KLH conjugates. Antibodies were purified by affinity-chromatography using epitope-specific phosphopeptide. Non-phospho specific antibodies were removed by chromatogramphy using non-phosphopeptide.
性状Liquid
缓冲液Rabbit IgG in phosphate buffered saline (without Mg2+ and Ca2+), pH 7.4, 150mM NaCl, 0.02% sodium azide and 50% glycerol.
研究背景Control of topological states of DNA by transient breakage and subsequent rejoining of DNA strands. Topoisomerase II makes double-strand breaks. Essential during mitosis and meiosis for proper segregation of daughter chromosomes.
偶联与修饰
偶联
Unconjugated
其他可选修饰符
Phospho
抗原信息
免疫原
Peptide sequence around phosphorylation site of serine 1106 (E-E-S(p)-D-N) derived from Human TOP2A
抗原种属
human
Uniprot ID
化学信息
分子量Actual: 174 kDa.
储存&溶解度
储存方式Store at -20°C or -80°C for 12 months. Avoid repeated freeze-thaw cycles.
运输方式Shipping with blue ice.

计算器

  • 稀释 计算器
  • 配液 计算器
Related Tags: buy Anti-Phospho-TOP2A (Ser1106) Polyclonal Antibody 2 | purchase Anti-Phospho-TOP2A (Ser1106) Polyclonal Antibody 2 | Anti-Phospho-TOP2A (Ser1106) Polyclonal Antibody 2 cost | order Anti-Phospho-TOP2A (Ser1106) Polyclonal Antibody 2 | Anti-Phospho-TOP2A (Ser1106) Polyclonal Antibody 2 molecular weight