购物车
  • TargetMol
    您的购物车当前为空

Anti-Phospho-TK1 (Ser13) Polyclonal Antibody

Synonyms: TK1 (p-Ser13), TK1 (p-S13), p-TK1 (Ser13), p-TK1 (S13)
货号 TMAC-04055 一键复制产品信息
Rating icon 还可以

Anti-Phospho-TK1 (Ser13) Polyclonal Antibody 是一种 Rabbit 抗体,靶向 Phospho-TK1 (Ser13)。Anti-Phospho-TK1 (Ser13) Polyclonal Antibody 可用于 IHC,WB。

Anti-Phospho-TK1 (Ser13) Polyclonal Antibody

一键复制产品信息
Rating icon 还可以
货号 TMAC-04055

别名 TK1 (p-Ser13), TK1 (p-S13), p-TK1 (Ser13), p-TK1 (S13)

Anti-Phospho-TK1 (Ser13) Polyclonal Antibody 是一种 Rabbit 抗体,靶向 Phospho-TK1 (Ser13)。Anti-Phospho-TK1 (Ser13) Polyclonal Antibody 可用于 IHC,WB。

Anti-Phospho-TK1 (Ser13) Polyclonal Antibody
规格价格库存数量
50 μL
¥ 1,485
5日内发货
100 μL
¥ 2,230
5日内发货
库存状态实时更新,以官网显示为准,现货产品可直接加购物车下单
大包装 & 定制
加入购物车

TargetMol的所有产品仅用作科学研究或药证申报,不能被用于人体,我们不向个人提供产品和服务。请您遵守承诺用途,不得违反法律法规规定用于任何其他用途。

实验操作小课堂
常见问题解答
查看更多

资源下载:产品操作手册

产品介绍


生物活性
产品描述
Anti-Phospho-TK1 (Ser13) Polyclonal Antibody is a Rabbit antibody targeting Phospho-TK1 (Ser13). Anti-Phospho-TK1 (Ser13) Polyclonal Antibody can be used in IHC,WB.
别名
TK1 (p-Ser13), TK1 (p-S13), p-TK1 (Ser13), p-TK1 (S13)
Ig Type
IgG
反应种属
Human
验证活性
1. Western blot analysis of lysates from HeLa cells treated with paclitaxel 1uM 24h, using TK (Phospho-Ser13) Antibody. The lane on the right is blocked with the phospho peptide.
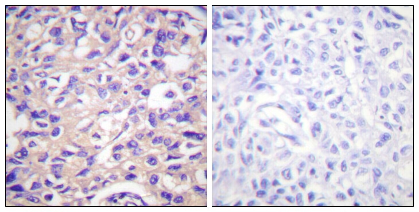
2. Immunohistochemistry analysis of paraffin-embedded human breast carcinoma, using TK (Phospho-Ser13) Antibody. The picture on the right is blocked with the phospho peptide.
verifiedActivityverifiedActivity
应用IHCWB
推荐剂量
WB: 1:500-2000; IHC: 1:100-300
抗体种类
Polyclonal
宿主来源Rabbit
构建方式Polyclonal Antibody
纯化方式Antibodies were produced by immunizing rabbits with synthetic phosphopeptide and KLH conjugates. Antibodies were purified by affinity-chromatography using epitope-specific phosphopeptide. Non-phospho specific antibodies were removed by chromatogramphy using non-phosphopeptide.
性状Liquid
缓冲液Liquid in PBS containing 50% glycerol, 0.5% BSA and 0.02% sodium azide.
研究背景TK is a cytosolic thymidine kinase. Phosphorylated during mitosis. Its enzymatic activity is high in proliferating cells and peaks during the S-phase of the cell cycle; it is very low in resting cells.
偶联与修饰
偶联
Unconjugated
其他可选修饰符
Phospho
抗原信息
免疫原
Peptide sequence around phosphorylation site of Serine 13(P-G-S(p)-P-S) derived from Human TK
抗原种属
human
Uniprot ID
化学信息
分子量Actual: 25 kDa.
储存&溶解度
储存方式Store at -20°C or -80°C for 12 months. Avoid repeated freeze-thaw cycles.
运输方式Shipping with blue ice.

计算器

  • 稀释 计算器
  • 配液 计算器
Related Tags: buy Anti-Phospho-TK1 (Ser13) Polyclonal Antibody | purchase Anti-Phospho-TK1 (Ser13) Polyclonal Antibody | Anti-Phospho-TK1 (Ser13) Polyclonal Antibody cost | order Anti-Phospho-TK1 (Ser13) Polyclonal Antibody | Anti-Phospho-TK1 (Ser13) Polyclonal Antibody molecular weight