购物车
  • 全部删除
  • TargetMol
    您的购物车当前为空

Anti-Phospho-STK39 (Ser309) Polyclonal Antibody

一键复制产品信息
Rating icon 还可以
产品编号 TMAC-03902
别名 STK39 (p-Ser309), STK39 (p-S309), p-STK39 (Ser309), p-STK39 (S309)

Anti-Phospho-STK39 (Ser309) Polyclonal Antibody 是一种 Rabbit 抗体,靶向 Phospho-STK39 (Ser309)。Anti-Phospho-STK39 (Ser309) Polyclonal Antibody 可用于 IHC,WB。

Anti-Phospho-STK39 (Ser309) Polyclonal Antibody

Anti-Phospho-STK39 (Ser309) Polyclonal Antibody

一键复制产品信息
Rating icon 还可以
产品编号 TMAC-03902 别名 STK39 (p-Ser309), STK39 (p-S309), p-STK39 (Ser309), p-STK39 (S309)

Anti-Phospho-STK39 (Ser309) Polyclonal Antibody 是一种 Rabbit 抗体,靶向 Phospho-STK39 (Ser309)。Anti-Phospho-STK39 (Ser309) Polyclonal Antibody 可用于 IHC,WB。

规格价格库存数量
50 μL
¥ 1,485
5日内发货
100 μL
¥ 2,245
5日内发货
大包装 & 定制
加入购物车
TargetMol 的所有产品仅用作科学研究或药证申报,不能被用于人体,我们不向个人提供产品和服务。请您遵守承诺用途,不得违反法律法规规定用于任何其他用途。
实验操作小课堂
常见问题解答
查看更多
联系我们获取更多批次信息
资源下载

产品介绍

生物活性
产品描述
Anti-Phospho-STK39 (Ser309) Polyclonal Antibody is a Rabbit antibody targeting Phospho-STK39 (Ser309). Anti-Phospho-STK39 (Ser309) Polyclonal Antibody can be used in IHC,WB.
别名STK39 (p-Ser309), STK39 (p-S309), p-STK39 (Ser309), p-STK39 (S309)
Ig Type
IgG
交叉反应
Human
验证活性
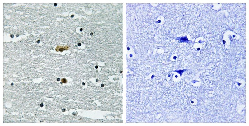
1. Immunohistochemical analysis of paraffin-embedded human brain tissue using STK39 (Phospho-Ser309) antibody TMAC-03902 (left) or the same antibody preincubated with blocking peptide (right).
2. Western blot analysis of extracts from COLO cells using STK39 (Phospho-Ser309) Antibody TMAC-03902. The lane on the right is treated with the antigen-specific peptide.
verifiedActivityverifiedActivity
应用IHCWB
推荐剂量
WB: 1:500-1000; IHC: 1:50-100
抗体种类
Polyclonal
宿主来源Rabbit
构建方式Polyclonal Antibody
纯化方式Antibodies were produced by immunizing rabbits with synthetic phosphopeptide and KLH conjugates. Antibodies were purified by affinity-chromatography using epitope-specific phosphopeptide. Non-phospho specific antibodies were removed by chromatogramphy using non-phosphopeptide.
性状Liquid
缓冲液Rabbit IgG in phosphate buffered saline (without Mg2+ and Ca2+), pH 7.4, 150mM NaCl, 0.02% sodium azide and 50% glycerol.
研究背景May act as a mediator of stress-activated signals.
偶联与修饰
偶联
Unconjugated
其他可选修饰符
Phospho
抗原信息
免疫原
Peptide sequence around phosphorylation site of Serine 309(K-G-S(p)-F-R) derived from Human STK39
抗原种属
human
Uniprot ID
化学信息
分子量Actual: 60 kDa.
存储&运输
储存方式Store at -20°C or -80°C for 12 months. Avoid repeated freeze-thaw cycles.
运输方式Shipping with blue ice.

计算器

  • 稀释 计算器

关键词

评论列表

4个月前
5.0
Rating icon 很棒

评论内容

Related Tags: buy Anti-Phospho-STK39 (Ser309) Polyclonal Antibody | purchase Anti-Phospho-STK39 (Ser309) Polyclonal Antibody | Anti-Phospho-STK39 (Ser309) Polyclonal Antibody cost | order Anti-Phospho-STK39 (Ser309) Polyclonal Antibody | Anti-Phospho-STK39 (Ser309) Polyclonal Antibody molecular weight