购物车
  • TargetMol
    您的购物车当前为空

Anti-Phospho-Smad3 (Ser204) Polyclonal Antibody

Synonyms: SMAD2 (p-Ser465, 467), SMAD2 (p-S465, 467), SMAD2, p-SMAD2 (Ser465, 467), p-SMAD2 (S465, 467), Phospho-SMAD2 (S465, 467), MADR2, MADH2, LDS6, JV18-1, JV18, hSMAD2, hMAD-2, CHTD8
货号 TMAB-01498 一键复制产品信息
Rating icon 还可以

Anti-Phospho-Smad3 (Ser204) Polyclonal Antibody 是一种 Rabbit 抗体,靶向 Phospho-Smad3 (Ser204)。Anti-Phospho-Smad3 (Ser204) Polyclonal Antibody 可用于 FCM, ICC/IF, IF, IHC-Fr, IHC-P, WB。

Anti-Phospho-Smad3 (Ser204) Polyclonal Antibody

一键复制产品信息
Rating icon 还可以
货号 TMAB-01498

别名 SMAD2 (p-Ser465, 467), SMAD2 (p-S465, 467), SMAD2, p-SMAD2 (Ser465, 467), p-SMAD2 (S465, 467), Phospho-SMAD2 (S465, 467), MADR2, MADH2, LDS6, JV18-1, JV18, hSMAD2, hMAD-2, CHTD8

Anti-Phospho-Smad3 (Ser204) Polyclonal Antibody 是一种 Rabbit 抗体,靶向 Phospho-Smad3 (Ser204)。Anti-Phospho-Smad3 (Ser204) Polyclonal Antibody 可用于 FCM, ICC/IF, IF, IHC-Fr, IHC-P, WB。

Anti-Phospho-Smad3 (Ser204) Polyclonal Antibody
规格价格库存数量
50 μL
¥ 1,160
5日内发货
100 μL
¥ 1,970
5日内发货
200 μL
¥ 2,780
5日内发货
库存状态实时更新,以官网显示为准,现货产品可直接加购物车下单
大包装 & 定制
加入购物车

TargetMol的所有产品仅用作科学研究或药证申报,不能被用于人体,我们不向个人提供产品和服务。请您遵守承诺用途,不得违反法律法规规定用于任何其他用途。

实验操作小课堂
常见问题解答
查看更多

资源下载:产品操作手册

产品介绍


生物活性
产品描述
Anti-Phospho-Smad3 (Ser204) Polyclonal Antibody is a Rabbit antibody targeting Phospho-Smad3 (Ser204). Anti-Phospho-Smad3 (Ser204) Polyclonal Antibody can be used in FCM, ICC/IF, IF, IHC-Fr, IHC-P, WB.
别名
SMAD2 (p-Ser465, 467), SMAD2 (p-S465, 467), SMAD2, p-SMAD2 (Ser465, 467), p-SMAD2 (S465, 467), Phospho-SMAD2 (S465, 467), MADR2, MADH2, LDS6, JV18-1, JV18, hSMAD2, hMAD-2, CHTD8
Ig Type
IgG
反应种属
Human,Mouse,Rat (predicted:Pig,Cow,Horse,Rabbit,Sheep)
验证活性
1. Blank control (Black line): HUVEC (Black).
Primary Antibody (green line): Rabbit Anti-phospho-Smad3 (Ser204) antibody (TMAB-01498)
Dilution: 1 μg/10^6 cells;
Isotype Control Antibody (orange line): Rabbit IgG.
Secondary Antibody (white blue line): Goat anti-rabbit IgG-AF647
Dilution: 1 μg/test.
Protocol
The cells were fixed with 4% PFA (10 min at room temperature) and then permeabilized with 90% ice-cold methanol for 20 min at room temperature. The cells were then incubated in 5% BSA to block non-specific protein-protein interactions for 30 min at room temperature. Cells stained with Primary Antibody for 30 min at room temperature. The secondary antibody used for 40 min at room temperature.
2. Blank control (black line): HL60 (black) (The cells were fixed with 2% paraformaldehyde (10 min), then permeabilized with PBST for 30 min on room temperature)
Primary Antibody (green line): Rabbit Anti-Phopho-Smad3 (Ser204) antibody (TMAB-01498);
Dilution: 1 μg/10^6 cells;
Isotype Control Antibody (orange line): Rabbit IgG.
Secondary Antibody (white blue line): Goat anti-rabbit IgG-FITC;Dilution: 1 μg/test.
3. Paraformaldehyde-fixed, paraffin embedded (Rat uterus); Antigen retrieval by boiling in sodium citrate buffer (pH6.0) for 15 min; Block endogenous peroxidase by 3% hydrogen peroxide for 20 min; Blocking buffer (normal goat serum) at 37°C for 30 min; Antibody incubation with (phospho-Smad3 (Ser204)) Polyclonal Antibody, Unconjugated (TMAB-01498) at 1:400 overnight at 4°C, followed by operating according to SP Kit (Rabbit) instructionsand DAB staining.
4. Sample:
Lane 1: Heart (Mouse) Lysate at 40 μg
Lane 2: Kidney (Mouse) Lysate at 40 μg
Lane 3: Skin (Rat) Lysate at 40 μg
Primary: Anti-phospho-Smad3 (Ser204) (TMAB-01498) at 1/1000 dilution
Secondary: IRDye800CW Goat Anti-Rabbit IgG at 1/20000 dilution
Predicted band size: 52 kDa
Observed band size: 50 kDa
5. Hela cell; 4% Paraformaldehyde-fixed; Triton X-100 at room temperature for 20 min; Blocking buffer (normal goat serum) at 37°C for 20 min; Antibody incubation with (phospho-Smad3 (Ser204)) polyclonal Antibody, Unconjugated (TMAB-01498) 1:100, 90 minutes at 37°C; followed by a conjugated Goat Anti-Rabbit IgG antibody at 37°C for 90 minutes, DAPI (blue) was used to stain the cell nucleus.
6. Blank control: A431. Primary Antibody (green line): Rabbit Anti-phospho-Smad3 (Ser204) antibody (TMAB-01498)
Dilution: 1 μg/10^6 cells;
Isotype Control Antibody (orange line): Rabbit IgG.
Secondary Antibody: Goat anti-rabbit IgG-AF647
Dilution: 1 μg/test.
Protocol
The cells were fixed with 4% PFA (10 min at room temperature) and then permeabilized with 90% ice-cold methanol for 20 min at-20°C. The cells were then incubated in 5% BSA to block non-specific protein-protein interactions for 30 min at room temperature. Cells stained with Primary Antibody for 30 min at room temperature. The secondary antibody used for 40 min at room temperature.
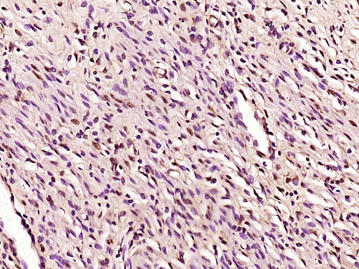
7. Paraformaldehyde-fixed, paraffin embedded (human skin cancer); Antigen retrieval by boiling in sodium citrate buffer (pH6.0) for 15 min; Block endogenous peroxidase by 3% hydrogen peroxide for 20 min; Blocking buffer (normal goat serum) at 37°C for 30 min; Antibody incubation with (phospho-Smad3 (Ser204)) Polyclonal Antibody, Unconjugated (TMAB-01498) at 1:200 overnight at 4°C, followed by operating according to SP Kit (Rabbit) instructionsand DAB staining.
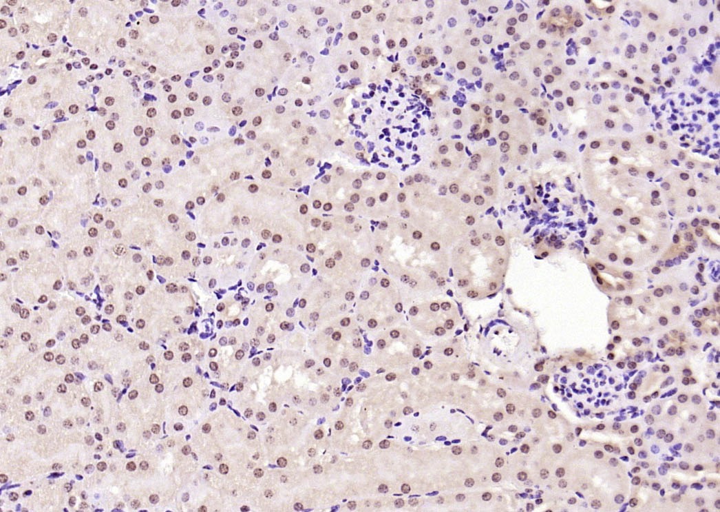
8. Paraformaldehyde-fixed, paraffin embedded (mouse kidney); Antigen retrieval by boiling in sodium citrate buffer (pH6.0) for 15 min; Block endogenous peroxidase by 3% hydrogen peroxide for 20 min; Blocking buffer (normal goat serum) at 37°C for 30 min; Antibody incubation with (phospho-Smad3 (Ser204)) Polyclonal Antibody, Unconjugated (TMAB-01498) at 1:200 overnight at 4°C, followed by operating according to SP Kit (Rabbit) instructionsand DAB staining.
9. Paraformaldehyde-fixed, paraffin embedded (rat kidney); Antigen retrieval by boiling in sodium citrate buffer (pH6.0) for 15 min; Block endogenous peroxidase by 3% hydrogen peroxide for 20 min; Blocking buffer (normal goat serum) at 37°C for 30 min; Antibody incubation with (phospho-Smad3 (Ser204)) Polyclonal Antibody, Unconjugated (TMAB-01498) at 1:200 overnight at 4°C, followed by operating according to SP Kit (Rabbit) instructionsand DAB staining.
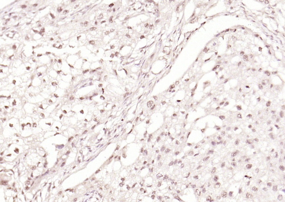
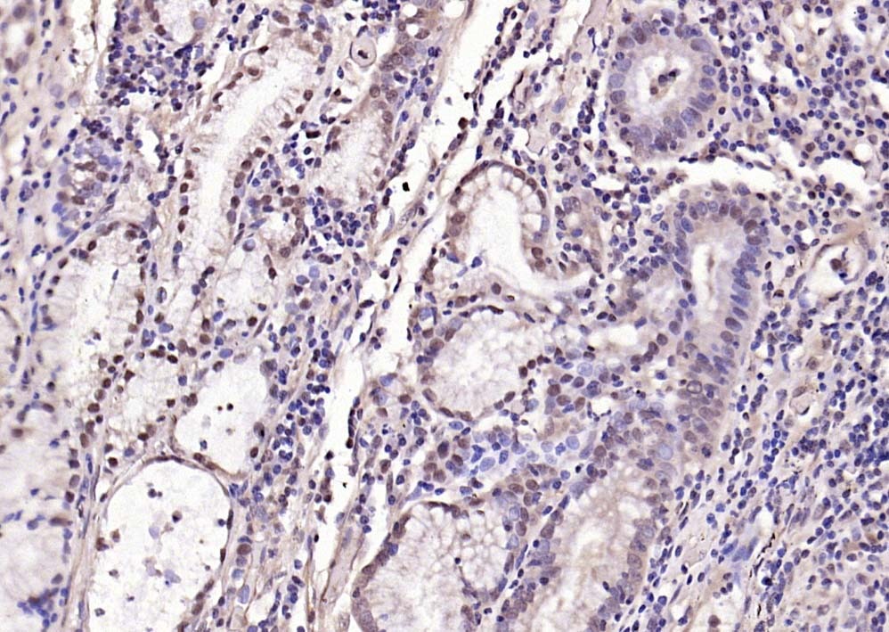
10. Paraformaldehyde-fixed, paraffin embedded (human gastric carcinoma); Antigen retrieval by boiling in sodium citrate buffer (pH6.0) for 15 min; Block endogenous peroxidase by 3% hydrogen peroxide for 20 min; Blocking buffer (normal goat serum) at 37°C for 30 min; Antibody incubation with (phospho-Smad3 (Ser204)) Polyclonal Antibody, Unconjugated (TMAB-01498) at 1:200 overnight at 4°C, followed by operating according to SP Kit (Rabbit) instructionsand DAB staining.
verifiedActivityverifiedActivityverifiedActivityverifiedActivityverifiedActivityverifiedActivityverifiedActivityverifiedActivityverifiedActivityverifiedActivity
应用FCMICC/IFIFIHC-FrIHC-PWB
推荐剂量
FCM=1 μg/Test; ICC/IF=1:100-500; IF=1:100-500; IHC-Fr=1:100-500; IHC-P=1:100-500; WB=1:500-2000
抗体种类
Polyclonal
宿主来源Rabbit
亚细胞定位Cytoplasm. Nucleus. Note=Cytoplasmic and nuclear in the absence of TGF-beta. On TGF-beta stimulation, migrates to the nucleus when complexed with SMAD4. Through the action of the phosphatase PPM1A, released from the SMAD2/SMAD4 complex, and exported out of the nucleus by interaction with RANBP1. Co-localizes with LEMD3 at the nucleus inner membrane. MAPK-mediated phosphorylation appears to have no effect on nuclear import. PDPK1 prevents its nuclear translocation in response to TGF-beta.
构建方式Polyclonal Antibody
纯化方式Protein A purified
性状Liquid
缓冲液0.01M TBS (pH7.4) with 1% BSA, 0.02% Proclin300 and 50% Glycerol.
浓度1 mg/mL
研究背景Smad3 is a 50 kDa member of a family of proteins that act as key mediators of TGF beta superfamily signaling in cell proliferation, differentiation and development. The Smad family is divided into three subclasses: receptor regulated Smads, activin/TGF beta receptor regulated (Smad2 and 3) or BMP receptor regulated (Smad 1, 5, and 8); the common partner, (Smad4) that functions via its interaction to the various Smads; and the inhibitory Smads, (Smad6 and 7). Activated Smad3 oligomerizes with Smad4 upon TGF beta stimulation and translocates as a complex into the nucleus, allowing its binding to DNA and transcription factors. Phosphorylation of the two TGF beta dependent serines 423 and 425 in the C terminus of Smad3 is critical for Smad3 transcriptional activity and TGF beta signaling.
抗原信息
免疫原
KLH conjugated Synthesised phosphopeptide: human Smad3 around the phosphorylation site of Ser204
抗原种属
Human
基因名称
SMAD3
基因ID
蛋白名称
Mothers against decapentaplegic homolog 3
Uniprot ID
研究领域
Response to hypoxia,SMAD family,SMADs,Hypoxia,Cancer,SMADs,Cytoplasmic
功能
Receptor-regulated SMAD (R-SMAD) that is an intracellular signal transducer and transcriptional modulator activated by TGF-beta (transforming growth factor) and activin type 1 receptor kinases. Binds the TRE element in the promoter region of many genes that are regulated by TGF-beta and, on formation of the SMAD3/SMAD4 complex, activates transcription. Also can form a SMAD3/SMAD4/JUN/FOS complex at the AP-1/SMAD site to regulate TGF-beta-mediated transcription. Has an inhibitory effect on wound healing probably by modulating both growth and migration of primary keratinocytes and by altering the TGF-mediated chemotaxis of monocytes. This effect on wound healing appears to be hormone-sensitive. Regulator of chondrogenesis and osteogenesis and inhibits early healing of bone fractures (By similarity). Positively regulates PDPK1 kinase activity by stimulating its dissociation from the 14-3-3 protein YWHAQ which acts as a negative regulator.
化学信息
分子量Theoretical: 47 kDa. Actual: 50 kDa.
储存&溶解度
储存方式Store at -20°C or -80°C for 12 months. Avoid repeated freeze-thaw cycles.
运输方式Shipping with blue ice.

计算器

  • 稀释 计算器
  • 配液 计算器
Related Tags: buy Anti-Phospho-Smad3 (Ser204) Polyclonal Antibody | purchase Anti-Phospho-Smad3 (Ser204) Polyclonal Antibody | Anti-Phospho-Smad3 (Ser204) Polyclonal Antibody cost | order Anti-Phospho-Smad3 (Ser204) Polyclonal Antibody | Anti-Phospho-Smad3 (Ser204) Polyclonal Antibody molecular weight