购物车
  • TargetMol
    您的购物车当前为空

Anti-Phospho-SHP-1 (Tyr536) Polyclonal Antibody 2

Synonyms: SH1 (p-Y536), SH1 (p-Tyr536), p-SHP-1 (Y536), p-SHP-1 (Tyr536)
货号 TMAC-03747 一键复制产品信息
Rating icon 还可以

Anti-Phospho-SHP-1 (Tyr536) Polyclonal Antibody 是一种 Rabbit 抗体,靶向 Phospho-SHP-1 (Tyr536)。Anti-Phospho-SHP-1 (Tyr536) Polyclonal Antibody 可用于 IF,IHC。

Anti-Phospho-SHP-1 (Tyr536) Polyclonal Antibody 2

一键复制产品信息
Rating icon 还可以
货号 TMAC-03747

别名 SH1 (p-Y536), SH1 (p-Tyr536), p-SHP-1 (Y536), p-SHP-1 (Tyr536)

Anti-Phospho-SHP-1 (Tyr536) Polyclonal Antibody 是一种 Rabbit 抗体,靶向 Phospho-SHP-1 (Tyr536)。Anti-Phospho-SHP-1 (Tyr536) Polyclonal Antibody 可用于 IF,IHC。

Anti-Phospho-SHP-1 (Tyr536) Polyclonal Antibody 2
规格价格库存数量
50 μL
¥ 1,495
5日内发货
100 μL
¥ 2,245
5日内发货
库存状态实时更新,以官网显示为准,现货产品可直接加购物车下单
大包装 & 定制
加入购物车

TargetMol的所有产品仅用作科学研究或药证申报,不能被用于人体,我们不向个人提供产品和服务。请您遵守承诺用途,不得违反法律法规规定用于任何其他用途。

实验操作小课堂
常见问题解答
查看更多

资源下载:产品操作手册

产品介绍


生物活性
产品描述
Anti-Phospho-SHP-1 (Tyr536) Polyclonal Antibody is a Rabbit antibody targeting Phospho-SHP-1 (Tyr536). Anti-Phospho-SHP-1 (Tyr536) Polyclonal Antibody can be used in IF,IHC.
别名
SH1 (p-Y536), SH1 (p-Tyr536), p-SHP-1 (Y536), p-SHP-1 (Tyr536)
Ig Type
IgG
反应种属
Human,Mouse,Rat
验证活性
1. Western Blot analysis of RAW264.7+EGF cells.
2. Western blot analysis of lysates from RAW264.7 cells treated with EGF 200ng/ml 5'. The lane on the right is blocked with the phospho peptide.
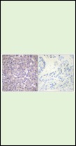
3. Immunohistochemical analysis of paraffin-embedded Human breast cancer. Antibody was diluted at 1:100 (4°C overnight). High-pressure and temperature Tris-EDTA,pH8.0 was used for antigen retrieval. Negetive contrl (right) obtaned from antibody was pre-absorbed by immunogen peptide.
4. Immunohistochemistry analysis of paraffin-embedded human breast carcinoma. The picture on the right is blocked with the phospho peptide.
verifiedActivityverifiedActivityverifiedActivityverifiedActivity
应用IFIHC
推荐剂量
WB: 1:500-2000; IHC: 1:100-300; IF: 1:50-200
抗体种类
Polyclonal
宿主来源Rabbit
构建方式Polyclonal Antibody
纯化方式The antibody was affinity-purified from rabbit antiserum by affinity-chromatography using epitope-specific immunogen.
性状Liquid
缓冲液Liquid in PBS containing 50% glycerol, 0.5% BSA and 0.02% sodium azide.
研究背景Acts downstream of various receptor and cytoplasmic protein tyrosine kinases to participate in the signal transduction from the cell surface to the nucleus.
偶联与修饰
偶联
Unconjugated
其他可选修饰符
Phospho
抗原信息
免疫原
Peptide sequence around phosphorylation site of tyrosine 536 (S-E-Y(p)-G-N) derived from Human SHP-1
抗原种属
human
Uniprot ID
储存&溶解度
储存方式Store at 2°C-8°C for 1 month. Store at -20°C or -80°C for 12 months. Avoid repeated freeze-thaw cycles.
运输方式Shipping with blue ice.

计算器

  • 稀释 计算器
  • 配液 计算器
Related Tags: buy Anti-Phospho-SHP-1 (Tyr536) Polyclonal Antibody 2 | purchase Anti-Phospho-SHP-1 (Tyr536) Polyclonal Antibody 2 | Anti-Phospho-SHP-1 (Tyr536) Polyclonal Antibody 2 cost | order Anti-Phospho-SHP-1 (Tyr536) Polyclonal Antibody 2