购物车
  • 全部删除
  • TargetMol
    您的购物车当前为空

Anti-Phospho-RIPK1 (Ser166) Polyclonal Antibody

一键复制产品信息
Rating icon 还可以
产品编号 TMAC-03609
别名 RIPK1 (p-Ser166), RIPK1 (p-S166), p-RIPK1 (Ser166), p-RIPK1 (S166)

Anti-Phospho-RIPK1 (Ser166) Polyclonal Antibody 是一种 Rabbit 抗体,靶向 Phospho-RIPK1 (Ser166)。Anti-Phospho-RIPK1 (Ser166) Polyclonal Antibody 可用于 IHC,WB。

Anti-Phospho-RIPK1 (Ser166) Polyclonal Antibody

Anti-Phospho-RIPK1 (Ser166) Polyclonal Antibody

一键复制产品信息
Rating icon 还可以
产品编号 TMAC-03609 别名 RIPK1 (p-Ser166), RIPK1 (p-S166), p-RIPK1 (Ser166), p-RIPK1 (S166)

Anti-Phospho-RIPK1 (Ser166) Polyclonal Antibody 是一种 Rabbit 抗体,靶向 Phospho-RIPK1 (Ser166)。Anti-Phospho-RIPK1 (Ser166) Polyclonal Antibody 可用于 IHC,WB。

规格价格库存数量
50 μL
¥ 1,485
5日内发货
100 μL
¥ 2,245
5日内发货
大包装 & 定制
加入购物车
TargetMol 的所有产品仅用作科学研究或药证申报,不能被用于人体,我们不向个人提供产品和服务。请您遵守承诺用途,不得违反法律法规规定用于任何其他用途。
实验操作小课堂
常见问题解答
查看更多
联系我们获取更多批次信息
资源下载

产品介绍

生物活性
产品描述
Anti-Phospho-RIPK1 (Ser166) Polyclonal Antibody is a Rabbit antibody targeting Phospho-RIPK1 (Ser166). Anti-Phospho-RIPK1 (Ser166) Polyclonal Antibody can be used in IHC,WB.
别名RIPK1 (p-Ser166), RIPK1 (p-S166), p-RIPK1 (Ser166), p-RIPK1 (S166)
Ig Type
IgG
交叉反应
Human,Mouse,Rat
验证活性
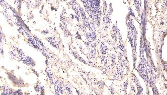
1. Immunohistochemical analysis of paraffin-embedded human cervical carcinoma. Antibody was diluted at 1:200 (4°C overnight). Tris-EDTA, pH9.0 was used for antigen retrieval. Secondary antibody was diluted at 1:200 (room temperature, 45min).
verifiedActivity
应用IHCWB
推荐剂量
WB: 1:1000-2000; IHC: 1:50-300
抗体种类
Polyclonal
宿主来源Rabbit
构建方式Polyclonal Antibody
纯化方式The antibody was affinity-purified from rabbit serum by affinity-chromatography using specific immunogen.
性状Liquid
缓冲液Liquid in PBS containing 50% glycerol, 0.5% BSA and 0.02% sodium azide.
偶联与修饰
偶联
Unconjugated
其他可选修饰符
Phospho
抗原信息
免疫原
A synthesized phosphopeptide: human RIP around the phosphorylation site of Ser166
抗原种属
human
Uniprot ID
化学信息
分子量Actual: 73 kDa.
存储&运输
储存方式Store at -20°C or -80°C for 12 months. Avoid repeated freeze-thaw cycles.
运输方式Shipping with blue ice.

计算器

  • 稀释 计算器

关键词

评论列表

4个月前
5.0
Rating icon 很棒

评论内容

Related Tags: buy Anti-Phospho-RIPK1 (Ser166) Polyclonal Antibody | purchase Anti-Phospho-RIPK1 (Ser166) Polyclonal Antibody | Anti-Phospho-RIPK1 (Ser166) Polyclonal Antibody cost | order Anti-Phospho-RIPK1 (Ser166) Polyclonal Antibody | Anti-Phospho-RIPK1 (Ser166) Polyclonal Antibody molecular weight