购物车
  • 全部删除
  • TargetMol
    您的购物车当前为空

Anti-Phospho-RELB (Ser573) Polyclonal Antibody

一键复制产品信息
Rating icon 还可以
产品编号 TMAC-03571
别名 RELB (p-Ser573), RELB (p-S573), p-RELB (Ser573), p-RELB (S573)

Anti-Phospho-RELB (Ser573) Polyclonal Antibody 是一种 Rabbit 抗体,靶向 Phospho-RELB (Ser573)。Anti-Phospho-RELB (Ser573) Polyclonal Antibody 可用于 IHC,WB。

Anti-Phospho-RELB (Ser573) Polyclonal Antibody

Anti-Phospho-RELB (Ser573) Polyclonal Antibody

一键复制产品信息
Rating icon 还可以
产品编号 TMAC-03571 别名 RELB (p-Ser573), RELB (p-S573), p-RELB (Ser573), p-RELB (S573)

Anti-Phospho-RELB (Ser573) Polyclonal Antibody 是一种 Rabbit 抗体,靶向 Phospho-RELB (Ser573)。Anti-Phospho-RELB (Ser573) Polyclonal Antibody 可用于 IHC,WB。

规格价格库存数量
50 μL
¥ 1,495
5日内发货
100 μL
¥ 2,245
5日内发货
大包装 & 定制
加入购物车
TargetMol 的所有产品仅用作科学研究或药证申报,不能被用于人体,我们不向个人提供产品和服务。请您遵守承诺用途,不得违反法律法规规定用于任何其他用途。
实验操作小课堂
常见问题解答
查看更多
联系我们获取更多批次信息
资源下载

产品介绍

生物活性
产品描述
Anti-Phospho-RELB (Ser573) Polyclonal Antibody is a Rabbit antibody targeting Phospho-RELB (Ser573). Anti-Phospho-RELB (Ser573) Polyclonal Antibody can be used in IHC,WB.
别名RELB (p-Ser573), RELB (p-S573), p-RELB (Ser573), p-RELB (S573)
Ig Type
IgG
交叉反应
Human,Mouse,Rat
验证活性
1. Western blot analysis of extracts from HUVEC cells untreated or treated with TNF using RelB (Phospho-Ser573) Antibody TMAC-03571.
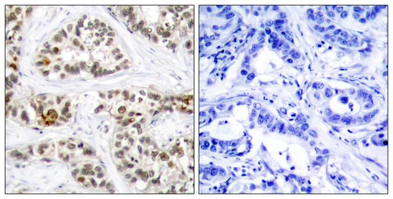
2. Immunohistochemical analysis of paraffin-embedded human breast carcinoma tissue using RelB (Phospho-Ser573) Antibody TMAC-03571 (left) or the same antibody preincubated with blocking peptide (right).
verifiedActivityverifiedActivity
应用IHCWB
抗体种类
Polyclonal
宿主来源Rabbit
构建方式Polyclonal Antibody
纯化方式Antibodies were produced by immunizing rabbits with synthetic phosphopeptide and KLH conjugates. Antibodies were purified by affinity-chromatography using epitope-specific phosphopeptide. Non-phospho specific antibodies were removed by chromatogramphy using non-phosphopeptide.
性状Liquid
缓冲液Supplied at 1.0mg/mL in phosphate buffered saline (without Mg2+ and Ca2+), pH 7.4, 150mM NaCl, 0.02% sodium azide and 50% glycerol.
研究背景NF-kappa-B is a pleiotropic transcription factor which is present in almost all cell types and is involved in many biological processed such as inflammation, immunity, differentiation, cell growth, tumorigenesis and apoptosis. NF-kappa-B is a homo- or heterodimeric complex formed by the Rel-like domain-containing proteins RELA/p65, RELB, NFKB1/p105, NFKB1/p50, REL and NFKB2/p52. The dimers bind at kappa-B sites in the DNA of their target genes and the individual dimers have distinct preferences for different kappa-B sites that they can bind with distinguishable affinity and specificity. Different dimer combinations act as transcriptional activators or repressors, respectively. NF-kappa-B is controlled by various mechanisms of post-translational modification and subcellular compartmentalization as well as by interactions with other cofactors or corepressors. NF-kappa-B complexes are held in the cytoplasm in an inactive state complexed with members of the NF-kappa-B inhibitor (I-kappa-B) family. In a conventional activation pathway, I-kappa-B is phosphorylated by I-kappa-B kinases (IKKs) in response to different activators, subsequently degraded thus liberating the active NF-kappa-B complex which translocates to the nucleus. NF-kappa-B heterodimeric RelB-p50 and RelB-p52 complexes are transcriptional activators. RELB neither associates with DNA nor with RELA/p65 or REL. Stimulates promoter activity in the presence of NFKB2/p49.
偶联与修饰
偶联
Unconjugated
其他可选修饰符
Phospho
抗原信息
免疫原
Peptide sequence around phosphorylation site of serine 573 (L-L-S(p)-P-G) derived from Human RelB
抗原种属
human
Uniprot ID
存储&运输
储存方式Store at 2°C-8°C for 1 month. Store at -20°C or -80°C for 12 months. Avoid repeated freeze-thaw cycles.
运输方式Shipping with blue ice.

计算器

  • 稀释 计算器

关键词

评论列表

4个月前
5.0
Rating icon 很棒

评论内容

Related Tags: buy Anti-Phospho-RELB (Ser573) Polyclonal Antibody | purchase Anti-Phospho-RELB (Ser573) Polyclonal Antibody | Anti-Phospho-RELB (Ser573) Polyclonal Antibody cost | order Anti-Phospho-RELB (Ser573) Polyclonal Antibody