购物车
  • 全部删除
  • TargetMol
    您的购物车当前为空

Anti-Phospho-RB1 (Ser807) Antibody (7O884)

一键复制产品信息
Rating icon 还可以
产品编号 TMAC-03260
别名 RB1 (p-Ser807), RB1 (p-S807), p-RB1 (Ser807), p-RB1 (S807)

Anti-Phospho-RB1 (Ser807) Antibody (7O884) 是一种 Rabbit 抗体,靶向 Phospho-RB1 (Ser807)。Anti-Phospho-RB1 (Ser807) Antibody (7O884) 可用于 WB,ICC/IF,IHC。

Anti-Phospho-RB1 (Ser807) Antibody (7O884)

Anti-Phospho-RB1 (Ser807) Antibody (7O884)

一键复制产品信息
Rating icon 还可以
产品编号 TMAC-03260 别名 RB1 (p-Ser807), RB1 (p-S807), p-RB1 (Ser807), p-RB1 (S807)

Anti-Phospho-RB1 (Ser807) Antibody (7O884) 是一种 Rabbit 抗体,靶向 Phospho-RB1 (Ser807)。Anti-Phospho-RB1 (Ser807) Antibody (7O884) 可用于 WB,ICC/IF,IHC。

规格价格库存数量
50 μL
¥ 1,485
5日内发货
100 μL
¥ 2,480
5日内发货
大包装 & 定制
加入购物车
TargetMol 的所有产品仅用作科学研究或药证申报,不能被用于人体,我们不向个人提供产品和服务。请您遵守承诺用途,不得违反法律法规规定用于任何其他用途。
实验操作小课堂
常见问题解答
查看更多
联系我们获取更多批次信息
资源下载

产品介绍

生物活性
产品描述
Anti-Phospho-RB1 (Ser807) Antibody (7O884) is a Rabbit antibody targeting Phospho-RB1 (Ser807). Anti-Phospho-RB1 (Ser807) Antibody (7O884) can be used in ICC/IF,IHC,WB.
别名RB1 (p-Ser807), RB1 (p-S807), p-RB1 (Ser807), p-RB1 (S807)
Ig Type
IgG
克隆号
7O884
交叉反应
Human,Mouse,Rat
验证活性
1. Western blot analysis of Phospho-Rb (S807) on A549 cell lysates using anti-Phospho-Rb (S807) antibody at 1/1,000 dilution.
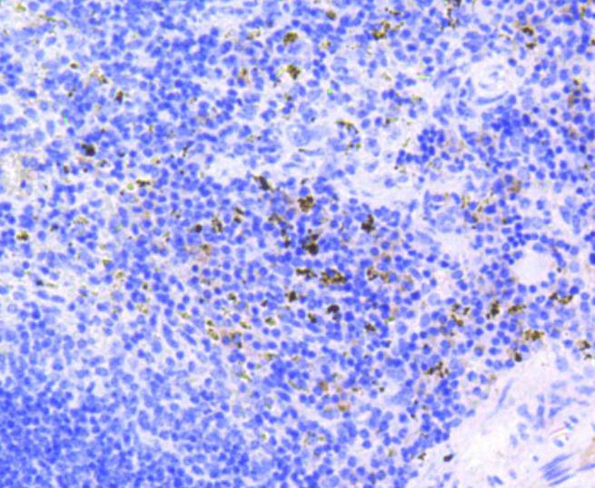
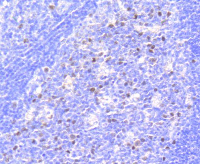
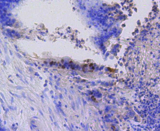
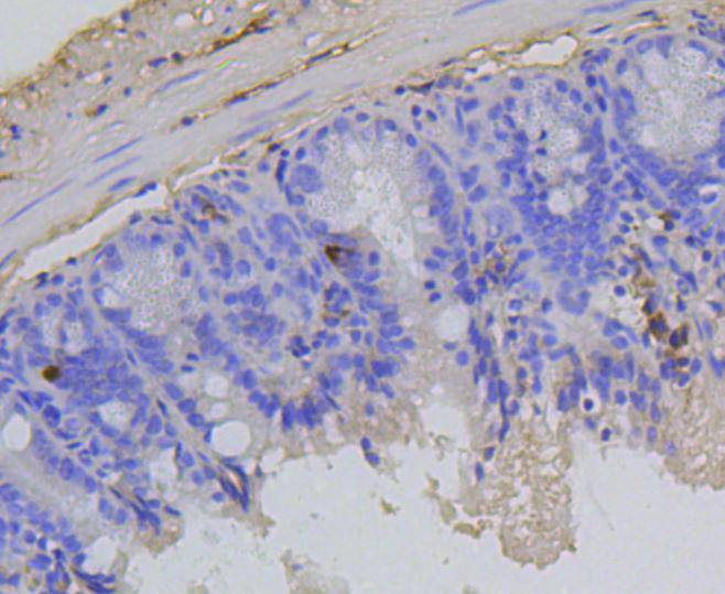
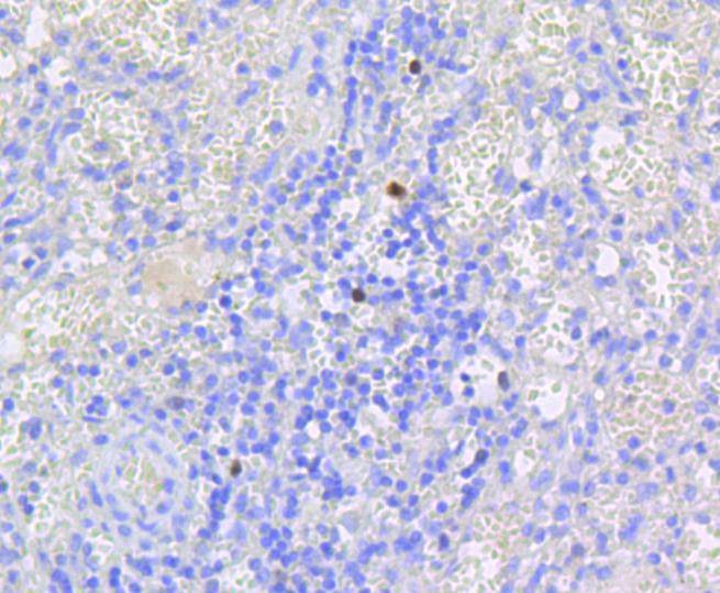
2. Immunohistochemical analysis of paraffin-embedded mouse spleen tissue using anti-Phospho-Rb (S807) antibody. Counter stained with hematoxylin.
3. Immunohistochemical analysis of paraffin-embedded human tonsil tissue using anti-Phospho-Rb (S807) antibody. Counter stained with hematoxylin.
4. Immunohistochemical analysis of paraffin-embedded human colon cancer tissue using anti-Phospho-Rb (S807) antibody. Counter stained with hematoxylin.
5. Immunohistochemical analysis of paraffin-embedded human spleen tissue using anti-Phospho-Rb (S807) antibody. Counter stained with hematoxylin.
6. Immunohistochemical analysis of paraffin-embedded human breast carcinoma tissue using anti-Phospho-Rb (S807) antibody. Counter stained with hematoxylin.
7. Immunohistochemical analysis of paraffin-embedded mouse colon tissue using anti-Phospho-Rb (S807) antibody. Counter stained with hematoxylin.
8. ICC staining Phospho-Rb (S807) in A549 cells (green). The nuclear counter stain is DAPI (blue). Cells were fixed in paraformaldehyde, permeabilised with 0.25% Triton X100/PBS.
9. ICC staining Phospho-Rb (S807) in MCF-7 cells (green). The nuclear counter stain is DAPI (blue). Cells were fixed in paraformaldehyde, permeabilised with 0.25% Triton X100/PBS.
10. ICC staining Phospho-Rb (S807) in CRC cells (green). Cells were fixed in paraformaldehyde, permeabilised with 0.25% Triton X100/PBS.
verifiedActivityverifiedActivityverifiedActivityverifiedActivityverifiedActivityverifiedActivityverifiedActivityverifiedActivityverifiedActivityverifiedActivity
应用ICC/IFIHCWB
推荐剂量
WB: 1:1000-2000; IHC: 1:50-200; ICC/IF: 1:50-200
抗体种类
Monoclonal
宿主来源Rabbit
构建方式Recombinant Antibody
纯化方式ProA affinity purified
性状Liquid
缓冲液1*TBS (pH7.4), 1%BSA, 40%Glycerol. Preservative: 0.05% Sodium Azide.
研究背景Pediatric cancer retinoblastoma and the formation of other human tumors can be attributed to mutations in the retinoblastoma tumor suppressor gene (Rb). The Rb protein regulates differentiation, apoptosis and cell cycle control by coordinating the cell cycle at G1-S with transcriptional machinery. During G1, cyclin D-dependent kinase-mediated phosphorylation of Rb at Ser 795 marks the conversion of Rb from a transcriptionally repressive, hypophosphorylated state to an inactive, phosphorylated state, which may be sustained through mitosis by differential phosphorylation of up to 16 putative serine or threonine residues, including Ser 249/Thr 252, Thr 373, Thr 356, Ser 780, Ser-807/ Ser 811 and Thr 821/Thr 826. Hypophosphorylated Rb represses the transcription of genes controlling the cell cycle through direct protein-protein interactions and through the recruitment of histone deacetylase.
偶联与修饰
偶联
Unconjugated
其他可选修饰符
Phospho
抗原信息
免疫原
A synthesized phosphopeptide: human Rb around the phosphorylation site of Ser807
抗原种属
human
Uniprot ID
化学信息
分子量Theoretical: 106 kDa.
存储&运输
储存方式Store at -20°C or -80°C for 12 months. Avoid repeated freeze-thaw cycles.
运输方式Shipping with blue ice.

计算器

  • 稀释 计算器

关键词

评论列表

4个月前
5.0
Rating icon 很棒

评论内容

Related Tags: buy Anti-Phospho-RB1 (Ser807) Antibody (7O884) | purchase Anti-Phospho-RB1 (Ser807) Antibody (7O884) | Anti-Phospho-RB1 (Ser807) Antibody (7O884) cost | order Anti-Phospho-RB1 (Ser807) Antibody (7O884) | Anti-Phospho-RB1 (Ser807) Antibody (7O884) molecular weight