购物车
  • TargetMol
    您的购物车当前为空

Anti-Phospho-RARA (Ser77) Polyclonal Antibody

Synonyms: RARA (p-Ser77), RARA (p-S77), p-RARA (Ser77), p-RARA (S77)
货号 TMAC-03585 一键复制产品信息
Rating icon 还可以

Anti-Phospho-RARA (Ser77) Polyclonal Antibody 是一种 Rabbit 抗体,靶向 Phospho-RARA (Ser77)。Anti-Phospho-RARA (Ser77) Polyclonal Antibody 可用于 IHC,WB。

Anti-Phospho-RARA (Ser77) Polyclonal Antibody

一键复制产品信息
Rating icon 还可以
货号 TMAC-03585

别名 RARA (p-Ser77), RARA (p-S77), p-RARA (Ser77), p-RARA (S77)

Anti-Phospho-RARA (Ser77) Polyclonal Antibody 是一种 Rabbit 抗体,靶向 Phospho-RARA (Ser77)。Anti-Phospho-RARA (Ser77) Polyclonal Antibody 可用于 IHC,WB。

Anti-Phospho-RARA (Ser77) Polyclonal Antibody
规格价格库存数量
50 μL
¥ 1,485
5日内发货
100 μL
¥ 2,235
5日内发货
库存状态实时更新,以官网显示为准,现货产品可直接加购物车下单
大包装 & 定制
加入购物车

TargetMol的所有产品仅用作科学研究或药证申报,不能被用于人体,我们不向个人提供产品和服务。请您遵守承诺用途,不得违反法律法规规定用于任何其他用途。

实验操作小课堂
常见问题解答
查看更多

资源下载:产品操作手册

产品介绍


生物活性
产品描述
Anti-Phospho-RARA (Ser77) Polyclonal Antibody is a Rabbit antibody targeting Phospho-RARA (Ser77). Anti-Phospho-RARA (Ser77) Polyclonal Antibody can be used in IHC,WB.
别名
RARA (p-Ser77), RARA (p-S77), p-RARA (Ser77), p-RARA (S77)
Ig Type
IgG
反应种属
Human,Mouse,Rat
验证活性
1. Western blot analysis of extracts from Jurkat cells treated with PMA (125ng/ml, 30mins), using Retinoic Acid Receptor α(Phospho-Ser77) antibody TMAC-03585. The lane on the right is treated with the synthesized peptide.
2. Western blot analysis of extracts from JK cells (Lane 2) and COS7 cells (Lane 3), using Retinoic Acid Receptor α (Phospho-Ser77) Antibody TMAC-03585. The lane on the left is treated with synthesized peptide.
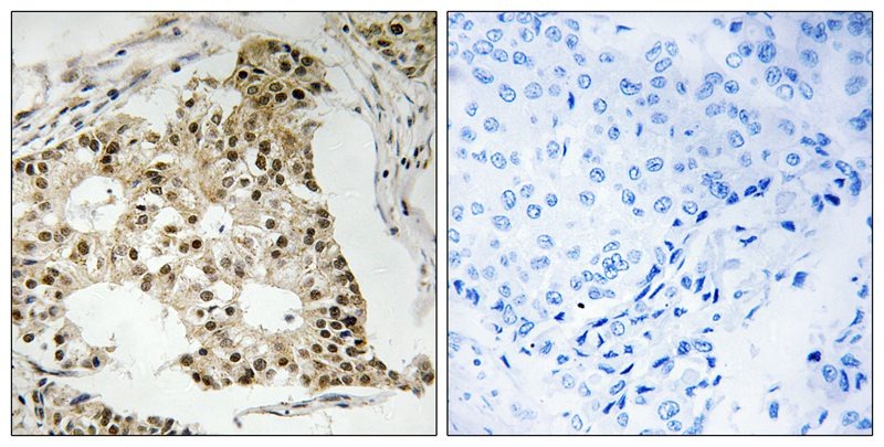
3. Immunohistochemistry analysis of paraffin-embedded human breast carcinoma tissue using Retinoic Acid Receptor α (Phospho-Ser77) antibody TMAC-03585. The picture on the right is treated with the synthesized peptide.
verifiedActivityverifiedActivityverifiedActivity
应用IHCWB
推荐剂量
WB: 1:500-3000; IHC: 1:50-100
抗体种类
Polyclonal
宿主来源Rabbit
构建方式Polyclonal Antibody
纯化方式Antibodies were produced by immunizing rabbits with synthetic phosphopeptide and KLH conjugates. Antibodies were purified by affinity-chromatography using epitope-specific phosphopeptide. Non-phospho specific antibodies were removed by chromatogramphy using non-phosphopeptide.
性状Liquid
缓冲液Rabbit IgG in phosphate buffered saline (without Mg2+ and Ca2+), pH 7.4, 150mM NaCl, 0.02% sodium azide and 50% glycerol.
研究背景Receptor for retinoic acid. Retinoic acid receptors bind as heterodimers to their target response elements in response to their ligands, all-trans or 9-cis retinoic acid, and regulate gene expression in various biological processes. The RXR/RAR heterodimers bind to the retinoic acid response elements (RARE) composed of tandem 5'-AGGTCA-3' sites known as DR1-DR5. In the absence of ligand, the RXR-RAR heterodimers associate with a multiprotein complex containing transcription corepressors that induce histone acetylation, chromatin condensation and transcriptional suppression. On ligand binding, the corepressors dissociate from the receptors and associate with the coactivators leading to transcriptional activation. RARA plays an essential role in the regulation of retinoic acid-induced germ cell development during spermatogenesis. Has a role in the survival of early spermatocytes at the beginning prophase of meiosis. In Sertoli cells, may promote the survival and development of early meiotic prophase spermatocytes. In concert with RARG, required for skeletal growth, matrix homeostasis and growth plate function By similarity. Regulates expression of target genes in a ligand-dependent manner by recruiting chromatin complexes containing KMT2E/MLL5. Mediates retinoic acid-induced granulopoiesis.
偶联与修饰
偶联
Unconjugated
其他可选修饰符
Phospho
抗原信息
免疫原
Peptide sequence around phosphorylation site of serine 77 (P-P-S(p)-P-P) derived from Human Retinoic Acid Receptor α
抗原种属
human
Uniprot ID
化学信息
分子量Actual: 45 kDa.
储存&溶解度
储存方式Store at -20°C or -80°C for 12 months. Avoid repeated freeze-thaw cycles.
运输方式Shipping with blue ice.

计算器

  • 稀释 计算器
  • 配液 计算器
Related Tags: buy Anti-Phospho-RARA (Ser77) Polyclonal Antibody | purchase Anti-Phospho-RARA (Ser77) Polyclonal Antibody | Anti-Phospho-RARA (Ser77) Polyclonal Antibody cost | order Anti-Phospho-RARA (Ser77) Polyclonal Antibody | Anti-Phospho-RARA (Ser77) Polyclonal Antibody molecular weight