购物车
  • TargetMol
    您的购物车当前为空

Anti-Phospho-PRKD1/2/3 (Ser738/742) Polyclonal Antibody

Synonyms: PRKD1/2/3 (p-Ser738/742), PRKD1/2/3 (p-S738/742), p-PRKD1/2/3 (Ser738/742), p-PRKD1/2/3 (S738/742)
货号 TMAC-03424 一键复制产品信息
Rating icon 还可以

Anti-Phospho-PRKD1/2/3 (Ser738/742) Polyclonal Antibody 是一种 Rabbit 抗体,靶向 Phospho-PRKD1/2/3 (Ser738/742)。Anti-Phospho-PRKD1/2/3 (Ser738/742) Polyclonal Antibody 可用于 IHC,WB。

Anti-Phospho-PRKD1/2/3 (Ser738/742) Polyclonal Antibody

一键复制产品信息
Rating icon 还可以
货号 TMAC-03424

别名 PRKD1/2/3 (p-Ser738/742), PRKD1/2/3 (p-S738/742), p-PRKD1/2/3 (Ser738/742), p-PRKD1/2/3 (S738/742)

Anti-Phospho-PRKD1/2/3 (Ser738/742) Polyclonal Antibody 是一种 Rabbit 抗体,靶向 Phospho-PRKD1/2/3 (Ser738/742)。Anti-Phospho-PRKD1/2/3 (Ser738/742) Polyclonal Antibody 可用于 IHC,WB。

Anti-Phospho-PRKD1/2/3 (Ser738/742) Polyclonal Antibody
规格价格库存数量
100 μL
¥ 2,235
5日内发货
库存状态实时更新,以官网显示为准,现货产品可直接加购物车下单
大包装 & 定制
加入购物车

TargetMol的所有产品仅用作科学研究或药证申报,不能被用于人体,我们不向个人提供产品和服务。请您遵守承诺用途,不得违反法律法规规定用于任何其他用途。

实验操作小课堂
常见问题解答
查看更多

资源下载:产品操作手册

产品介绍


生物活性
产品描述
Anti-Phospho-PRKD1/2/3 (Ser738/742) Polyclonal Antibody is a Rabbit antibody targeting Phospho-PRKD1/2/3 (Ser738/742). Anti-Phospho-PRKD1/2/3 (Ser738/742) Polyclonal Antibody can be used in IHC,WB.
别名
PRKD1/2/3 (p-Ser738/742), PRKD1/2/3 (p-S738/742), p-PRKD1/2/3 (Ser738/742), p-PRKD1/2/3 (S738/742)
Ig Type
IgG
反应种属
Human,Mouse,Rat
验证活性
1. Western blot analysis of PRKD1/2/3 (phospho-Ser738/S742) expression in HT29, rat astrocytes whole cell lysates.
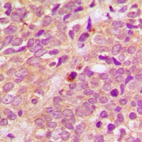
2. Immunohistochemical analysis of PRKD1/2/3 (phospho-Ser738/Ser742) staining in human breast cancer formalin fixed paraffin embedded tissue section. The section was then incubated with the antibody at room temperature and detected using an HRP conjugated compact polymer system. DAB was used as the chromogen. The section was then counterstained with haematoxylin and mounted with DPX.
verifiedActivityverifiedActivity
应用IHCWB
推荐剂量
WB: 1:500-1000; IHC: 1:50-100
抗体种类
Polyclonal
宿主来源Rabbit
构建方式Polyclonal Antibody
纯化方式The antibody was purified by immunogen affinity chromatography.
性状Liquid
缓冲液Rabbit IgG in phosphate buffered saline (without Mg2+ and Ca2+), pH 7.4, 150mM NaCl, 0.02% sodium azide and 50% glycerol.
偶联与修饰
偶联
Unconjugated
其他可选修饰符
Phospho
抗原信息
免疫原
KLH conjugated synthetic peptide: encompassing a sequence within the C-term region of human PRKD1/2/3
抗原种属
human
化学信息
分子量Theoretical: 115 kDa.
储存&溶解度
储存方式Store at -20°C or -80°C for 12 months. Avoid repeated freeze-thaw cycles.
运输方式Shipping with blue ice.

计算器

  • 稀释 计算器
  • 配液 计算器
Related Tags: buy Anti-Phospho-PRKD1/2/3 (Ser738/742) Polyclonal Antibody | purchase Anti-Phospho-PRKD1/2/3 (Ser738/742) Polyclonal Antibody | Anti-Phospho-PRKD1/2/3 (Ser738/742) Polyclonal Antibody cost | order Anti-Phospho-PRKD1/2/3 (Ser738/742) Polyclonal Antibody | Anti-Phospho-PRKD1/2/3 (Ser738/742) Polyclonal Antibody molecular weight