购物车
  • 全部删除
  • TargetMol
    您的购物车当前为空

Anti-Phospho-PRKCZ (Thr560) Antibody (2L99)

一键复制产品信息
Rating icon 还可以
产品编号 TMAC-03249
别名 zetaPKC, R74924, r14-3-3, Protein kinase C zeta, PRKCZ (p-Thr560), PRKCZ (p-T560), PRKCZ, p-PRKCZ (Thr560), p-PRKCZ (T560), PKM-zeta, PKCZETA, Pkcz, PKC2, PKC ZETA, PKC 2, Phospho-PRKCZ (T560), OTTHUMP00000044160, OTTHUMP00000001368, nPKC-zeta, nPKC zeta, KPCZ_HUMAN, EC 2.7.11.13, C80388, aPKCzeta, AI098070, 14-3-3-zetaisoform

Anti-Phospho-PRKCZ (Thr560) Antibody (2L99) 是一种 Rabbit 抗体,靶向 Phospho-PRKCZ (Thr560)。Anti-Phospho-PRKCZ (Thr560) Antibody (2L99) 可用于 WB,IHC。

Anti-Phospho-PRKCZ (Thr560) Antibody (2L99)

Anti-Phospho-PRKCZ (Thr560) Antibody (2L99)

一键复制产品信息
Rating icon 还可以
产品编号 TMAC-03249 别名 zetaPKC, R74924, r14-3-3, Protein kinase C zeta, PRKCZ (p-Thr560), PRKCZ (p-T560), PRKCZ, p-PRKCZ (Thr560), p-PRKCZ (T560), PKM-zeta, PKCZETA, Pkcz, PKC2, PKC ZETA, PKC 2, Phospho-PRKCZ (T560), OTTHUMP00000044160, OTTHUMP00000001368, nPKC-zeta, nPKC zeta, KPCZ_HUMAN, EC 2.7.11.13, C80388, aPKCzeta, AI098070, 14-3-3-zetaisoform

Anti-Phospho-PRKCZ (Thr560) Antibody (2L99) 是一种 Rabbit 抗体,靶向 Phospho-PRKCZ (Thr560)。Anti-Phospho-PRKCZ (Thr560) Antibody (2L99) 可用于 WB,IHC。

规格价格库存数量
50 μL
¥ 1,495
5日内发货
100 μL
¥ 2,480
5日内发货
大包装 & 定制
加入购物车
TargetMol 的所有产品仅用作科学研究或药证申报,不能被用于人体,我们不向个人提供产品和服务。请您遵守承诺用途,不得违反法律法规规定用于任何其他用途。
实验操作小课堂
常见问题解答
查看更多
联系我们获取更多批次信息
资源下载

产品介绍

生物活性
产品描述
Anti-Phospho-PRKCZ (Thr560) Antibody (2L99) is a Rabbit antibody targeting Phospho-PRKCZ (Thr560). Anti-Phospho-PRKCZ (Thr560) Antibody (2L99) can be used in IHC,WB.
别名zetaPKC, R74924, r14-3-3, Protein kinase C zeta, PRKCZ (p-Thr560), PRKCZ (p-T560), PRKCZ, p-PRKCZ (Thr560), p-PRKCZ (T560), PKM-zeta, PKCZETA, Pkcz, PKC2, PKC ZETA, PKC 2, Phospho-PRKCZ (T560), OTTHUMP00000044160, OTTHUMP00000001368, nPKC-zeta, nPKC zeta, KPCZ_HUMAN, EC 2.7.11.13, C80388, aPKCzeta, AI098070, 14-3-3-zetaisoform
Ig Type
IgG
克隆号
2L99
交叉反应
Human,Mouse,Rat
验证活性
1. Western blot analysis of Phospho-PKC zeta (T560) on mouse eyeball lysates using anti-Phospho-PKC zeta (T560) antibody at 1/1,000 dilution.
2. Immunohistochemical analysis of paraffin-embedded human breast carcinoma tissue using anti-Phospho-PKC zeta (T560) antibody. Counter stained with hematoxylin.
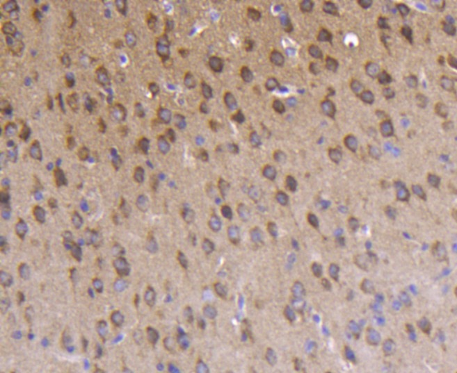
3. Immunohistochemical analysis of paraffin-embedded mouse brain tissue using anti-Phospho-PKC zeta (T560) antibody. Counter stained with hematoxylin.
verifiedActivityverifiedActivityverifiedActivity
应用IHCWB
推荐剂量
WB: 1:1000-5000; IHC: 1:50-200
抗体种类
Monoclonal
宿主来源Rabbit
构建方式Recombinant Antibody
纯化方式ProA affinity purified
性状Liquid
缓冲液1*TBS (pH7.4), 1%BSA, 40%Glycerol. Preservative: 0.05% Sodium Azide.
研究背景Members of the protein kinase C (PKC) family play a key regulatory role in a variety of cellular functions including cell growth and differentiation, gene expression, hormone secretion and membrane function. PKCs were originally identified as serine/threonine protein kinases whose activity was dependent on calcium and phospholipids. Diacylglycerols (DAG) and tumor promoting phorbol esters bind to and activate PKC. PKCs can be subdivided into many different isoforms (α, βI, βII, γ, δ, ε, Ω, h, θ, λ/ι, ? and n). Patterns of expression for each PKC isoform differ among tissues and PKC family members exhibit clear differences in their cofactor dependencies. For instance, the kinase activities of PKC δ and ε are independent of Ca++. On the other hand, most of the other PKC members possess phorbol ester-binding activities and kinase activities.
偶联与修饰
偶联
Unconjugated
其他可选修饰符
Phospho
抗原信息
免疫原
A synthesized phosphopeptide: human PKC zeta around the phosphorylation site of Thr560
抗原种属
human
Uniprot ID
化学信息
分子量Theoretical: 68 kDa.
存储&运输
储存方式Store at -20°C or -80°C for 12 months. Avoid repeated freeze-thaw cycles.
运输方式Shipping with blue ice.

计算器

  • 稀释 计算器

关键词

评论列表

4个月前
5.0
Rating icon 很棒

评论内容

Related Tags: buy Anti-Phospho-PRKCZ (Thr560) Antibody (2L99) | purchase Anti-Phospho-PRKCZ (Thr560) Antibody (2L99) | Anti-Phospho-PRKCZ (Thr560) Antibody (2L99) cost | order Anti-Phospho-PRKCZ (Thr560) Antibody (2L99) | Anti-Phospho-PRKCZ (Thr560) Antibody (2L99) molecular weight