购物车
  • TargetMol
    您的购物车当前为空

Anti-Phospho-PDK1 (Tyr9) Polyclonal Antibody

Synonyms: p-PDK1 (Y9), p-PDK1 (Tyr9), PDK1 (p-Y9), PDK1 (p-Tyr9)
货号 TMAC-03136 一键复制产品信息
Rating icon 还可以

Anti-Phospho-PDK1 (Tyr9) Polyclonal Antibody 是一种 Rabbit 抗体,靶向 Phospho-PDK1 (Tyr9)。Anti-Phospho-PDK1 (Tyr9) Polyclonal Antibody 可用于 IHC。

Anti-Phospho-PDK1 (Tyr9) Polyclonal Antibody

一键复制产品信息
Rating icon 还可以
货号 TMAC-03136

别名 p-PDK1 (Y9), p-PDK1 (Tyr9), PDK1 (p-Y9), PDK1 (p-Tyr9)

Anti-Phospho-PDK1 (Tyr9) Polyclonal Antibody 是一种 Rabbit 抗体,靶向 Phospho-PDK1 (Tyr9)。Anti-Phospho-PDK1 (Tyr9) Polyclonal Antibody 可用于 IHC。

Anti-Phospho-PDK1 (Tyr9) Polyclonal Antibody
规格价格库存数量
50 μL
¥ 1,490
5日内发货
100 μL
¥ 2,230
5日内发货
库存状态实时更新,以官网显示为准,现货产品可直接加购物车下单
大包装 & 定制
加入购物车

TargetMol的所有产品仅用作科学研究或药证申报,不能被用于人体,我们不向个人提供产品和服务。请您遵守承诺用途,不得违反法律法规规定用于任何其他用途。

实验操作小课堂
常见问题解答
查看更多

资源下载:产品操作手册

产品介绍


生物活性
产品描述
Anti-Phospho-PDK1 (Tyr9) Polyclonal Antibody is a Rabbit antibody targeting Phospho-PDK1 (Tyr9). Anti-Phospho-PDK1 (Tyr9) Polyclonal Antibody can be used in IHC.
别名
p-PDK1 (Y9), p-PDK1 (Tyr9), PDK1 (p-Y9), PDK1 (p-Tyr9)
Ig Type
IgG
反应种属
Human
验证活性
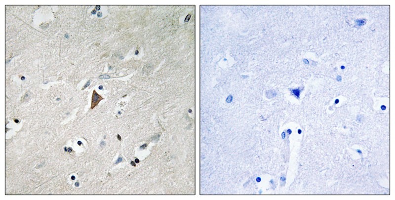
1. Immunohistochemical analysis of paraffin-embedded human brain tissue using PDK1 (Phospho-Tyr9) antibody TMAC-03136 (left) or the same antibody preincubated with blocking peptide (right).
verifiedActivity
应用IHC
推荐剂量
IHC: 1:50-100
抗体种类
Polyclonal
宿主来源Rabbit
构建方式Polyclonal Antibody
纯化方式Antibodies were produced by immunizing rabbits with synthetic phosphopeptide and KLH conjugates. Antibodies were purified by affinity-chromatography using epitope-specific phosphopeptide. Non-phospho specific antibodies were removed by chromatogramphy using non-phosphopeptide.
性状Liquid
缓冲液Rabbit IgG in phosphate buffered saline (without Mg2+ and Ca2+), pH 7.4, 150mM NaCl, 0.02% sodium azide and 50% glycerol.
研究背景Phosphorylates and activates not only PKB/AKT, but also PKA, PKC-zeta, RPS6KA1 and RPS6KB1. May play a general role in signaling processes and in development.
偶联与修饰
偶联
Unconjugated
其他可选修饰符
Phospho
抗原信息
免疫原
Peptide sequence around phosphorylation site of tyrosine 9(A-L-Y(p)-D-A) derived from Human PDK1
抗原种属
human
Uniprot ID
化学信息
分子量Actual: 63 kDa.
储存&溶解度
储存方式Store at -20°C or -80°C for 12 months. Avoid repeated freeze-thaw cycles.
运输方式Shipping with blue ice.

计算器

  • 稀释 计算器
  • 配液 计算器
Related Tags: buy Anti-Phospho-PDK1 (Tyr9) Polyclonal Antibody | purchase Anti-Phospho-PDK1 (Tyr9) Polyclonal Antibody | Anti-Phospho-PDK1 (Tyr9) Polyclonal Antibody cost | order Anti-Phospho-PDK1 (Tyr9) Polyclonal Antibody | Anti-Phospho-PDK1 (Tyr9) Polyclonal Antibody molecular weight