购物车
  • TargetMol
    您的购物车当前为空

Anti-Phospho-p56 Dok-2 (Tyr299) Polyclonal Antibody

Synonyms: p-p56 Dok-2 (Y299), p-p56 Dok-2 (Tyr299), p56 Dok-2 (p-Y299), p56 Dok-2 (p-Tyr299)
货号 TMAC-03005 一键复制产品信息
Rating icon 还可以

Anti-Phospho-p56 Dok-2 (Tyr299) Polyclonal Antibody 是一种 Rabbit 抗体,靶向 Phospho-p56 Dok-2 (Tyr299)。Anti-Phospho-p56 Dok-2 (Tyr299) Polyclonal Antibody 可用于 IF,IHC,WB。

Anti-Phospho-p56 Dok-2 (Tyr299) Polyclonal Antibody

一键复制产品信息
Rating icon 还可以
货号 TMAC-03005

别名 p-p56 Dok-2 (Y299), p-p56 Dok-2 (Tyr299), p56 Dok-2 (p-Y299), p56 Dok-2 (p-Tyr299)

Anti-Phospho-p56 Dok-2 (Tyr299) Polyclonal Antibody 是一种 Rabbit 抗体,靶向 Phospho-p56 Dok-2 (Tyr299)。Anti-Phospho-p56 Dok-2 (Tyr299) Polyclonal Antibody 可用于 IF,IHC,WB。

Anti-Phospho-p56 Dok-2 (Tyr299) Polyclonal Antibody
规格价格库存数量
50 μL
¥ 1,480
5日内发货
100 μL
¥ 2,240
5日内发货
库存状态实时更新,以官网显示为准,现货产品可直接加购物车下单
大包装 & 定制
加入购物车

TargetMol的所有产品仅用作科学研究或药证申报,不能被用于人体,我们不向个人提供产品和服务。请您遵守承诺用途,不得违反法律法规规定用于任何其他用途。

实验操作小课堂
常见问题解答
查看更多

资源下载:产品操作手册

产品介绍


生物活性
产品描述
Anti-Phospho-p56 Dok-2 (Tyr299) Polyclonal Antibody is a Rabbit antibody targeting Phospho-p56 Dok-2 (Tyr299). Anti-Phospho-p56 Dok-2 (Tyr299) Polyclonal Antibody can be used in IF,IHC,WB.
别名
p-p56 Dok-2 (Y299), p-p56 Dok-2 (Tyr299), p56 Dok-2 (p-Y299), p56 Dok-2 (p-Tyr299)
Ig Type
IgG
反应种属
Human
验证活性
1. Western blot analysis of extracts from Jurkat cells untreated or treated with insulin using p56Dok-2 (Phospho-Tyr299) Antibody TMAC-03005.
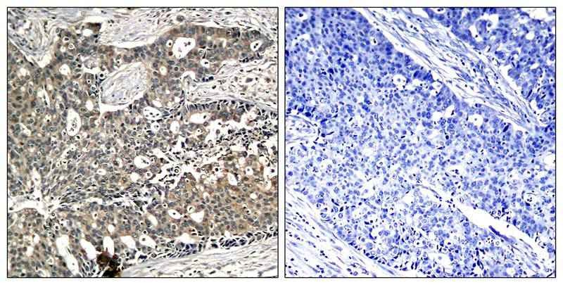
2. Immunohistochemical analysis of paraffin-embedded human breast carcinoma tissue using p56Dok-2 (Phospho-Tyr299) Antibody TMAC-03005 (left) or the same antibody preincubated with blocking peptide (right).
3. Immunofluorescence staining of methanol-fixed Hela cells using p56Dok-2 (Phospho-Tyr299) Antibody TMAC-03005.
4. Western blot analysis of extracts from JK cells, treated with G-CSF or calf intestinal phosphatase (CIP), using p56Dok-2 (Phospho-Tyr299) Antibody TMAC-03005.
verifiedActivityverifiedActivityverifiedActivityverifiedActivity
应用IFIHCWB
抗体种类
Polyclonal
宿主来源Rabbit
构建方式Polyclonal Antibody
纯化方式Antibodies were produced by immunizing rabbits with synthetic phosphopeptide and KLH conjugates. Antibodies were purified by affinity-chromatography using epitope-specific phosphopeptide. Non-phospho specific antibodies were removed by chromatogramphy using non-phosphopeptide.
性状Liquid
缓冲液Supplied at 1.0mg/mL in phosphate buffered saline (without Mg2+ and Ca2+), pH 7.4, 150mM NaCl, 0.02% sodium azide and 50% glycerol.
研究背景DOK proteins are enzymatically inert adaptor or scaffolding proteins. They provide a docking platform for the assembly of multimolecular signaling complexes. DOK2 may modulate the cellular proliferation induced by IL-4, as well as IL-2 and IL-3. May be involved in modulating Bcr-Abl signaling. Attenuates EGF-stimulated MAP kinase activation
偶联与修饰
偶联
Unconjugated
其他可选修饰符
Phospho
抗原信息
免疫原
Peptide sequence around phosphorylation site of tyrosine 299 (G-E-Y(p)-A-V) derived from Human p56Dok-2
抗原种属
human
Uniprot ID
储存&溶解度
储存方式Store at 2°C-8°C for 1 month. Store at -20°C or -80°C for 12 months. Avoid repeated freeze-thaw cycles.
运输方式Shipping with blue ice.

计算器

  • 稀释 计算器
  • 配液 计算器
Related Tags: buy Anti-Phospho-p56 Dok-2 (Tyr299) Polyclonal Antibody | purchase Anti-Phospho-p56 Dok-2 (Tyr299) Polyclonal Antibody | Anti-Phospho-p56 Dok-2 (Tyr299) Polyclonal Antibody cost | order Anti-Phospho-p56 Dok-2 (Tyr299) Polyclonal Antibody