购物车
  • TargetMol
    您的购物车当前为空

Anti-Phospho-NF-kB p65 (Thr254) Polyclonal Antibody

Synonyms: v-rel avian reticuloendotheliosis viral oncogene homolog A, p-NF-kB p65 (Thr254), p-NF-kB p65 (T254), p65, NFKB3, NF-kB p65 (p-Thr254), NF-kB p65 (p-T254)
货号 TMAB-01468 一键复制产品信息
Rating icon 还可以

Anti-Phospho-NF-kB p65 (Thr254) Polyclonal Antibody 是一种 Rabbit 抗体,靶向 Phospho-NF-kB p65 (Thr254)。Anti-Phospho-NF-kB p65 (Thr254) Polyclonal Antibody 可用于 FCM,IF,IHC-Fr,IHC-P,WB。

Anti-Phospho-NF-kB p65 (Thr254) Polyclonal Antibody

一键复制产品信息
Rating icon 还可以
货号 TMAB-01468

别名 v-rel avian reticuloendotheliosis viral oncogene homolog A, p-NF-kB p65 (Thr254), p-NF-kB p65 (T254), p65, NFKB3, NF-kB p65 (p-Thr254), NF-kB p65 (p-T254)

Anti-Phospho-NF-kB p65 (Thr254) Polyclonal Antibody 是一种 Rabbit 抗体,靶向 Phospho-NF-kB p65 (Thr254)。Anti-Phospho-NF-kB p65 (Thr254) Polyclonal Antibody 可用于 FCM,IF,IHC-Fr,IHC-P,WB。

Anti-Phospho-NF-kB p65 (Thr254) Polyclonal Antibody
规格价格库存数量
50 μL
¥ 1,165
5日内发货
100 μL
¥ 1,965
5日内发货
200 μL
¥ 2,785
5日内发货
库存状态实时更新,以官网显示为准,现货产品可直接加购物车下单
大包装 & 定制
加入购物车

TargetMol的所有产品仅用作科学研究或药证申报,不能被用于人体,我们不向个人提供产品和服务。请您遵守承诺用途,不得违反法律法规规定用于任何其他用途。

实验操作小课堂
常见问题解答
查看更多

资源下载:产品操作手册

产品介绍


生物活性
产品描述
Anti-Phospho-NF-kB p65 (Thr254) Polyclonal Antibody is a Rabbit antibody targeting Phospho-NF-kB p65 (Thr254). Anti-Phospho-NF-kB p65 (Thr254) Polyclonal Antibody can be used in FCM,IF,IHC-Fr,IHC-P,WB.
别名
v-rel avian reticuloendotheliosis viral oncogene homolog A, p-NF-kB p65 (Thr254), p-NF-kB p65 (T254), p65, NFKB3, NF-kB p65 (p-Thr254), NF-kB p65 (p-T254)
Ig Type
IgG
反应种属
Human,Mouse,Rat (predicted:Dog,Pig,Cow)
验证活性
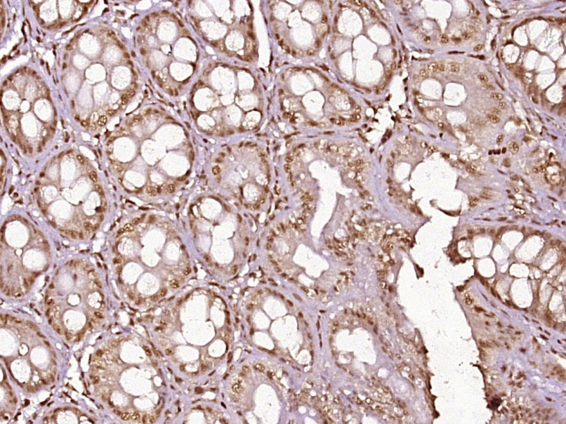
1. Paraformaldehyde-fixed, paraffin embedded (Rat colon); Antigen retrieval by boiling in sodium citrate buffer (pH6.0) for 15 min; Block endogenous peroxidase by 3% hydrogen peroxide for 20 min; Blocking buffer (normal goat serum) at 37°C for 30 min; Antibody incubation with (phospho-NFKB p65 (Thr254)) Polyclonal Antibody, Unconjugated (TMAB-01468) at 1:400 overnight at 4°C, followed by operating according to SP Kit (Rabbit) instructionsand DAB staining.
2. Sample:
Lung (Mouse) Lysate at 40 μg
Spleen (Mouse) Lysate at 40 μg
Primary: Anti-phospho-NFKB p65 (Thr254) (TMAB-01468) at 1/300 dilution
Secondary: HRP conjugated Goat-Anti-rabbit IgG (secondary antibody) at 1/5000 dilution
Predicted band size: 61 kDa
Observed band size: 61 kDa
3. Overlay histogram showing HL 60 cells stained with TMAB-01468 (Green line). The cells were fixed with 90% methanol (5 min) and then permeabilized with 0.01M PBS-Tween for 20 min. The cells were then incubated in 1x PBS / 10% normal goat serum to block non-specific protein-protein interactions followed by the antibody (TMAB-01468,3 μg/1x10^6 cells) for 30 min at 22°C. The secondary antibody used was fluorescein isothiocyanate goat anti-rabbit IgG (H+L) (Brillant blue line) at 1/200 dilution for 30 min at 22°C. Isotype control antibody was rabbit IgG (polyclonal) (3 μg/1x10^6 cells) used under the same conditions. Unlabelled sample (blue line) was also used as a control. Acquisition of 20,000 events were collected using a 20mW Argon ion laser (488nm) and 525/30 bandpass filter.
4. Blank control: A431. Primary Antibody (green line): Rabbit Anti-phospho-NFKB p65 (Thr254) antibody (TMAB-01468)
Dilution: 1 μg/10^6 cells;
Isotype Control Antibody (orange line): Rabbit IgG.
Secondary Antibody: Goat anti-rabbit IgG-FITC
Dilution: 1 μg/test.
Protocol
The cells were fixed with 4% PFA (10 min at room temperature) and then permeabilized with 90% ice-cold methanol for 20 min at-20°C. The cells were then incubated in 5% BSA to block non-specific protein-protein interactions for 30 min at room temperature. Cells stained with Primary Antibody for 30 min at room temperature. The secondary antibody used for 40 min at room temperature.
5. Blank control: Mouse spleen.
Primary Antibody (green line): Rabbit Anti-phospho-NFKB p65 (Thr254) antibody (TMAB-01468)
Dilution: 2 μg/10^6 cells;
Isotype Control Antibody (orange line): Rabbit IgG.
Secondary Antibody: Goat anti-rabbit IgG-AF488
Dilution: 1 μg/test.
Protocol
The cells were fixed with 4% PFA (10 min at room temperature) and then permeabilized with 90% ice-cold methanol for 20 min at-20°C. The cells were then incubated in 5% BSA to block non-specific protein-protein interactions for 30 min at room temperature. Cells stained with Primary Antibody for 30 min at room temperature. The secondary antibody used for 40 min at room temperature.
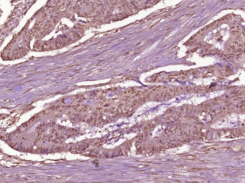
6. Paraformaldehyde-fixed, paraffin embedded (Human cervical carcinoma); Antigen retrieval by boiling in sodium citrate buffer (pH6.0) for 15 min; Block endogenous peroxidase by 3% hydrogen peroxide for 20 min; Blocking buffer (normal goat serum) at 37°C for 30 min; Antibody incubation with (phospho-NFKB p65 (Thr254)) Polyclonal Antibody, Unconjugated (TMAB-01468) at 1:400 overnight at 4°C, followed by operating according to SP Kit (Rabbit) instructionsand DAB staining.
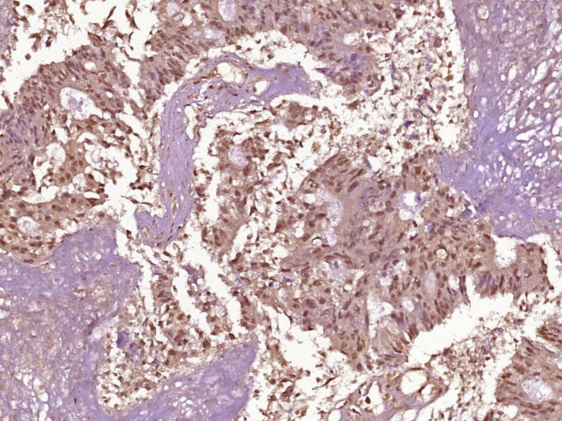
7. Paraformaldehyde-fixed, paraffin embedded (Human stomach carcinoma); Antigen retrieval by boiling in sodium citrate buffer (pH6.0) for 15 min; Block endogenous peroxidase by 3% hydrogen peroxide for 20 min; Blocking buffer (normal goat serum) at 37°C for 30 min; Antibody incubation with (phospho-NFKB p65 (Thr254)) Polyclonal Antibody, Unconjugated (TMAB-01468) at 1:400 overnight at 4°C, followed by operating according to SP Kit (Rabbit) instructionsand DAB staining.
verifiedActivityverifiedActivityverifiedActivityverifiedActivityverifiedActivityverifiedActivityverifiedActivity
应用FCMIFIHC-FrIHC-PWB
推荐剂量
WB: 1:500-2000; IHC-P: 1:100-500; IHC-Fr: 1:100-500; IF: 1:100-500; FCM: 2ug/Test
抗体种类
Polyclonal
宿主来源Rabbit
亚细胞定位Nucleus. Cytoplasm. Note=Colocalized with DDX1 in the nucleus upon TNF-alpha induction. Nuclear, but also found in the cytoplasm in an inactive form complexed to an inhibitor (I-kappa-B). Colocalizes with GFI1 in the nucleus after LPS stimulation.
构建方式Polyclonal Antibody
纯化方式Protein A purified
性状Liquid
缓冲液0.01M TBS (pH7.4) with 1% BSA, 0.02% Proclin300 and 50% Glycerol.
浓度1 mg/mL
研究背景NF-kappa-B is a ubiquitous transcription factor involved in several biological processes. It is held in the cytoplasm in an inactive state by specific inhibitors. Upon degradation of the inhibitor, NF-kappa-B moves to the nucleus and activates transcription of specific genes. NF-kappa-B is composed of NFKB1 or NFKB2 bound to either REL, RELA, or RELB. The most abundant form of NF-kappa-B is NFKB1 complexed with the product of this gene, RELA. Four transcript variants encoding different isoforms have been found for this gene. [provided by RefSeq, Sep 2011].
抗原信息
免疫原
KLH conjugated Synthesised phosphopeptide: human NFKBp65 around the phosphorylation site of Thr254
抗原种属
Human
基因名称
RELA
基因ID
蛋白名称
Transcription factor p65
Uniprot ID
研究领域
RelA (p65),NFkB pathway,Inflammatory mediators,RelA (p65),NFkB pathway,Obesity,Host Immune Response,Host Virus Interaction,Alzheimer's disease,NFkB Pathway
功能
NF-kappa-B is a pleiotropic transcription factor present in almost all cell types and is the endpoint of a series of signal transduction events that are initiated by a vast array of stimuli related to many biological processes such as inflammation, immunity, differentiation, cell growth, tumorigenesis and apoptosis. NF-kappa-B is a homo- or heterodimeric complex formed by the Rel-like domain-containing proteins RELA/p65, RELB, NFKB1/p105, NFKB1/p50, REL and NFKB2/p52 and the heterodimeric p65-p50 complex appears to be most abundant one. The dimers bind at kappa-B sites in the DNA of their target genes and the individual dimers have distinct preferences for different kappa-B sites that they can bind with distinguishable affinity and specificity. Different dimer combinations act as transcriptional activators or repressors, respectively. NF-kappa-B is controlled by various mechanisms of post-translational modification and subcellular compartmentalization as well as by interactions with other cofactors or corepressors. NF-kappa-B complexes are held in the cytoplasm in an inactive state complexed with members of the NF-kappa-B inhibitor (I-kappa-B) family. In a conventional activation pathway, I-kappa-B is phosphorylated by I-kappa-B kinases (IKKs) in response to different activators, subsequently degraded thus liberating the active NF-kappa-B complex which translocates to the nucleus. NF-kappa-B heterodimeric p65-p50 and p65-c-Rel complexes are transcriptional activators. The NF-kappa-B p65-p65 complex appears to be involved in invasin-mediated activation of IL-8 expression. The inhibitory effect of I-kappa-B upon NF-kappa-B the cytoplasm is exerted primarily through the interaction with p65. p65 shows a weak DNA-binding site which could contribute directly to DNA binding in the NF-kappa-B complex. Associates with chromatin at the NF-kappa-B promoter region via association with DDX1.
化学信息
分子量Theoretical: 61 kDa. Actual: 61 kDa.
储存&溶解度
储存方式Store at -20°C or -80°C for 12 months. Avoid repeated freeze-thaw cycles.
运输方式Shipping with blue ice.

计算器

  • 稀释 计算器
  • 配液 计算器
Related Tags: buy Anti-Phospho-NF-kB p65 (Thr254) Polyclonal Antibody | purchase Anti-Phospho-NF-kB p65 (Thr254) Polyclonal Antibody | Anti-Phospho-NF-kB p65 (Thr254) Polyclonal Antibody cost | order Anti-Phospho-NF-kB p65 (Thr254) Polyclonal Antibody | Anti-Phospho-NF-kB p65 (Thr254) Polyclonal Antibody molecular weight