购物车
  • 全部删除
  • TargetMol
    您的购物车当前为空

Anti-Phospho-MKI67IP (Thr234) Polyclonal Antibody

一键复制产品信息
Rating icon 还可以
产品编号 TMAC-02591
别名 p-MKI67IP (Thr234), p-MKI67IP (T234), MKI67IP (p-Thr234), MKI67IP (p-T234)

Anti-Phospho-MKI67IP (Thr234) Polyclonal Antibody 是一种 Rabbit 抗体,靶向 Phospho-MKI67IP (Thr234)。Anti-Phospho-MKI67IP (Thr234) Polyclonal Antibody 可用于 IF,IHC,WB。

Anti-Phospho-MKI67IP (Thr234) Polyclonal Antibody

Anti-Phospho-MKI67IP (Thr234) Polyclonal Antibody

一键复制产品信息
Rating icon 还可以
产品编号 TMAC-02591 别名 p-MKI67IP (Thr234), p-MKI67IP (T234), MKI67IP (p-Thr234), MKI67IP (p-T234)

Anti-Phospho-MKI67IP (Thr234) Polyclonal Antibody 是一种 Rabbit 抗体,靶向 Phospho-MKI67IP (Thr234)。Anti-Phospho-MKI67IP (Thr234) Polyclonal Antibody 可用于 IF,IHC,WB。

规格价格库存数量
100 μL
¥ 2,240
5日内发货
大包装 & 定制
加入购物车
TargetMol 的所有产品仅用作科学研究或药证申报,不能被用于人体,我们不向个人提供产品和服务。请您遵守承诺用途,不得违反法律法规规定用于任何其他用途。
实验操作小课堂
常见问题解答
查看更多
联系我们获取更多批次信息
资源下载

产品介绍

生物活性
产品描述
Anti-Phospho-MKI67IP (Thr234) Polyclonal Antibody is a Rabbit antibody targeting Phospho-MKI67IP (Thr234). Anti-Phospho-MKI67IP (Thr234) Polyclonal Antibody can be used in IF,IHC,WB.
别名p-MKI67IP (Thr234), p-MKI67IP (T234), MKI67IP (p-Thr234), MKI67IP (p-T234)
Ig Type
IgG
交叉反应
Human,Mouse,Rat
验证活性
1. Western blot analysis of MKI67IP (phospho-Thr234) expression in HeLa, NIH3T3, PC12 whole cell lysates.
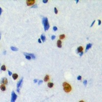
2. Immunohistochemical analysis of MKI67IP (phospho-Thr234) staining in human brain formalin fixed paraffin embedded tissue section. The section was then incubated with the antibody at room temperature and detected using an HRP conjugated compact polymer system. DAB was used as the chromogen. The section was then counterstained with haematoxylin and mounted with DPX.
3. Immunofluorescent analysis of MKI67IP (phospho-Thr234) staining in HeLa cells. Formalin-fixed cells were permeabilized with 0.1% Triton X-100 in TBS for 5-10 minutes and blocked with 3% BSA-PBS for 30 minutes at room temperature. Cells were probed with the primary antibody in 3% BSA-PBS and incubated overnight at 4℃ in a hidified chamber. Cells were washed with PBST and incubated with a DyLight 594-conjugated secondary antibody (red) in PBS at room temperature in the dark.
verifiedActivityverifiedActivityverifiedActivity
应用IFIHCWB
推荐剂量
WB: 1:500-1000; IHC: 1:50-100; IF:1:100-300
抗体种类
Polyclonal
宿主来源Rabbit
构建方式Polyclonal Antibody
纯化方式The antibody was purified by immunogen affinity chromatography.
性状Liquid
缓冲液Rabbit IgG in phosphate buffered saline (without Mg2+ and Ca2+), pH 7.4, 150mM NaCl, 0.02% sodium azide and 50% glycerol.
偶联与修饰
偶联
Unconjugated
其他可选修饰符
Phospho
抗原信息
免疫原
KLH conjugated synthetic peptide: encompassing a sequence within the center region of human MKI67IP
抗原种属
human
Uniprot ID
化学信息
分子量Theoretical: 34 kDa.
存储&运输
储存方式Store at -20°C or -80°C for 12 months. Avoid repeated freeze-thaw cycles.
运输方式Shipping with blue ice.

计算器

  • 稀释 计算器

关键词

评论列表

4个月前
5.0
Rating icon 很棒

评论内容

Related Tags: buy Anti-Phospho-MKI67IP (Thr234) Polyclonal Antibody | purchase Anti-Phospho-MKI67IP (Thr234) Polyclonal Antibody | Anti-Phospho-MKI67IP (Thr234) Polyclonal Antibody cost | order Anti-Phospho-MKI67IP (Thr234) Polyclonal Antibody | Anti-Phospho-MKI67IP (Thr234) Polyclonal Antibody molecular weight