购物车
  • TargetMol
    您的购物车当前为空

Anti-Phospho-MCU (S92) Polyclonal Antibody

Synonyms: p-MCU (S92), MCU (p-S92)
货号 TMAC-02505 一键复制产品信息
Rating icon 还可以

Anti-Phospho-MCU (S92) Polyclonal Antibody 是一种 Rabbit 抗体,靶向 Phospho-MCU (S92)。Anti-Phospho-MCU (S92) Polyclonal Antibody 可用于 IF,IHC,WB。

Anti-Phospho-MCU (S92) Polyclonal Antibody

一键复制产品信息
Rating icon 还可以
货号 TMAC-02505

别名 p-MCU (S92), MCU (p-S92)

Anti-Phospho-MCU (S92) Polyclonal Antibody 是一种 Rabbit 抗体,靶向 Phospho-MCU (S92)。Anti-Phospho-MCU (S92) Polyclonal Antibody 可用于 IF,IHC,WB。

Anti-Phospho-MCU (S92) Polyclonal Antibody
规格价格库存数量
50 μL
¥ 1,480
5日内发货
100 μL
¥ 2,480
5日内发货
库存状态实时更新,以官网显示为准,现货产品可直接加购物车下单
大包装 & 定制
加入购物车

TargetMol的所有产品仅用作科学研究或药证申报,不能被用于人体,我们不向个人提供产品和服务。请您遵守承诺用途,不得违反法律法规规定用于任何其他用途。

实验操作小课堂
常见问题解答
查看更多

选择批次:
颜色: 无色透明
性状: Liquid
资源下载: COA产品操作手册

产品介绍


生物活性
产品描述
Anti-Phospho-MCU (S92) Polyclonal Antibody is a Rabbit antibody targeting Phospho-MCU (S92). Anti-Phospho-MCU (S92) Polyclonal Antibody can be used in IF,IHC,WB.
别名
p-MCU (S92), MCU (p-S92)
Ig Type
IgG
反应种属
Human,Mouse,Rat
验证活性
1. All lanes: Phospho-MCU (S92) Rabbit mAb at 1/1k dilution, Lane 1: MCF7 whole cell lysates, Lane 2 : 293T whole cell lysates, Lane 3: A549 whole cell lysates, Lane 4 : Rat Liver lysates, Lysates/proteins at 20 μg per lane. Secondary All lanes: Goat Anti-Rabbit IgG H&L (HRP) at 1/20000 dilution, Predicted band size: 40 kDa, Observed band size: 32 kDa, Exposure time: 8 seconds.
2. All lanes: Phospho-MCU (S92) Rabbit mAb at 1/1k dilution, Lane 1: 3T3 whole cell lysates, Lane 2: 293T whole cell lysates, Lane 3: 293T treated with Lambda Protein Phosphatase for 30min whole cell lysates, Lane 4: MCF7 whole cell lysates, Lane 5: MCF7 treated with Lambda Protein Phosphatase for 30min whole cell lysates, Lysates/proteins at 20 μg per lane. Secondary All lanes: Goat Anti-Rabbit IgG H&L (HRP) at 1/20000 dilution, Predicted band size: 40 kDa, Observed band size: 32 kDa, Exposure time: 10 seconds.
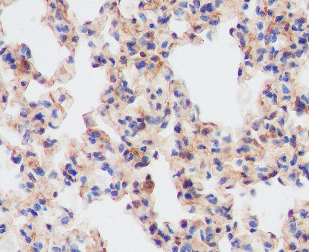
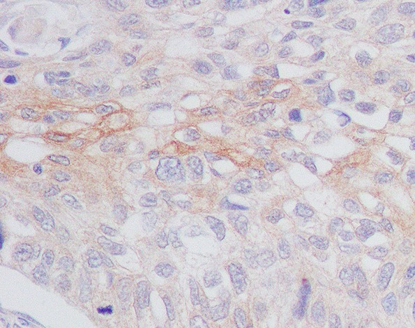
3. Formalin-fixed, paraffin-embedded human lung carcinom tissue stained for Phospho-MCU (S92) using 14297 at 1/100 dilution in immunohistochemical analysis.
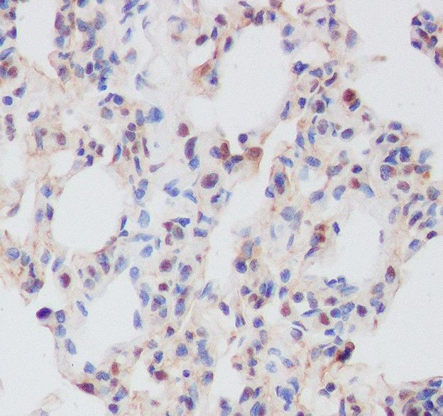
4. Formalin-fixed, paraffin-embedded mouse lung tissue stained for Phospho-MCU (S92) using 14297 at 1/100 dilution in immunohistochemical analysis.
5. Formalin-fixed, paraffin-embedded rat lung tissue stained for Phospho-MCU (S92) using 14297 at 1/100 dilution in immunohistochemical analysis.
6. Immunocytochemistry/Immunofluorescence-Phospho-MCU (S92) antibody, Phospho-MCU (S92) Rabbit mAb staining Phospho-MCU (S92) in the HeLa cell line by ICC/IF. Cells were fixed with 4% Paraformaldehyde permeabilized with 0.1% Triton X-100. Samples were incubated with Phospho-MCU (S92) Rabbit mAb at a working dilution of 1/100. The secondary antibody was Alexa Fluor® 488 goat anti rabbit, used at a dilution of 1/500. The negative control is shown in bottom right hand panel-for the negative control, purified Phospho-MCU (S92) Rabbit mAb was used at a dilution of 1/100 followed by Alexa Fluor® 647 goat anti- rabbit antibody at a dilution of 1/500. Nuclei were counterstained with DAPI.
verifiedActivityverifiedActivityverifiedActivityverifiedActivityverifiedActivityverifiedActivity
应用IFIHCWB
推荐剂量
WB: 1:500-2000; IHC: 1:50-200; IF: 1:50-200
抗体种类
Polyclonal
宿主来源Rabbit
构建方式Polyclonal Antibody
纯化方式Affinity-chromatography
性状Liquid
缓冲液Rabbit IgG in phosphate buffered saline , pH 7.4, 150mM NaCl, 0.02% sodium azide and 50% glycerol.
研究背景Mitochondrial inner membrane calcium uniporter that mediates calcium uptake into mitochondria (PubMed:21685888, PubMed:21685886, PubMed:23101630, PubMed:22904319, PubMed:23178883, PubMed:22829870, PubMed:22822213, PubMed:24332854, PubMed:23755363, PubMed:26341627).
偶联与修饰
偶联
Unconjugated
其他可选修饰符
Phospho
抗原信息
免疫原
A synthesized phosphopeptide: human MCU Receptor around the phosphorylation site of S92
抗原种属
human
Uniprot ID
化学信息
分子量Actual: 32 kDa.
储存&溶解度
储存方式Store at 2°C-8°C for 1 month. Store at -20°C or -80°C for 12 months. Avoid repeated freeze-thaw cycles.
运输方式Shipping with blue ice.

计算器

  • 稀释 计算器
  • 配液 计算器
Related Tags: buy Anti-Phospho-MCU (S92) Polyclonal Antibody | purchase Anti-Phospho-MCU (S92) Polyclonal Antibody | Anti-Phospho-MCU (S92) Polyclonal Antibody cost | order Anti-Phospho-MCU (S92) Polyclonal Antibody | Anti-Phospho-MCU (S92) Polyclonal Antibody molecular weight