购物车
  • TargetMol
    您的购物车当前为空

Anti-Phospho-MAPK14 (Tyr323) Polyclonal Antibody

Synonyms: p-MAPK14 (Y323), p-MAPK14 (Tyr323), MAPK14 (p-Y323), MAPK14 (p-Tyr323)
货号 TMAC-02954 一键复制产品信息
Rating icon 还可以

Anti-Phospho-MAPK14 (Tyr323) Polyclonal Antibody 是一种 Rabbit 抗体,靶向 Phospho-MAPK14 (Tyr323)。Anti-Phospho-MAPK14 (Tyr323) Polyclonal Antibody 可用于 ELISA,IF,IHC,WB。

Anti-Phospho-MAPK14 (Tyr323) Polyclonal Antibody

一键复制产品信息
Rating icon 还可以
货号 TMAC-02954

别名 p-MAPK14 (Y323), p-MAPK14 (Tyr323), MAPK14 (p-Y323), MAPK14 (p-Tyr323)

Anti-Phospho-MAPK14 (Tyr323) Polyclonal Antibody 是一种 Rabbit 抗体,靶向 Phospho-MAPK14 (Tyr323)。Anti-Phospho-MAPK14 (Tyr323) Polyclonal Antibody 可用于 ELISA,IF,IHC,WB。

Anti-Phospho-MAPK14 (Tyr323) Polyclonal Antibody
规格价格库存数量
50 μL
¥ 1,490
5日内发货
100 μL
¥ 2,235
5日内发货
库存状态实时更新,以官网显示为准,现货产品可直接加购物车下单
大包装 & 定制
加入购物车

TargetMol的所有产品仅用作科学研究或药证申报,不能被用于人体,我们不向个人提供产品和服务。请您遵守承诺用途,不得违反法律法规规定用于任何其他用途。

实验操作小课堂
常见问题解答
查看更多

资源下载:产品操作手册

产品介绍


生物活性
产品描述
Anti-Phospho-MAPK14 (Tyr323) Polyclonal Antibody is a Rabbit antibody targeting Phospho-MAPK14 (Tyr323). Anti-Phospho-MAPK14 (Tyr323) Polyclonal Antibody can be used in ELISA,IF,IHC,WB.
别名
p-MAPK14 (Y323), p-MAPK14 (Tyr323), MAPK14 (p-Y323), MAPK14 (p-Tyr323)
Ig Type
IgG
反应种属
Human,Mouse,Rat
验证活性
1. Western Blot analysis of HEPG2-UV cells using Phospho-p38 (Y323) Polyclonal Antibody.
2. Western Blot analysis of 823 293-UV 22RV1 cells using Phospho-p38 (Y323) Polyclonal Antibody.
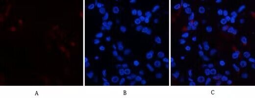
3. Immunofluorescence analysis of human-stomach tissue.
4. Immunohistochemical analysis of paraffin-embedded Mouse-heart tissue.
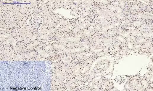
5. Immunohistochemical analysis of paraffin-embedded Rat-kidney tissue.
6. Immunohistochemical analysis of paraffin-embedded Human-uterus tissue.
verifiedActivityverifiedActivityverifiedActivityverifiedActivityverifiedActivityverifiedActivity
应用ELISAIFIHCWB
推荐剂量
WB: 1:500-2000; IHC: 1:100-300; IF: 1:50-200; ELISA: 1:5000
抗体种类
Polyclonal
宿主来源Rabbit
构建方式Polyclonal Antibody
纯化方式The antibody was affinity-purified from rabbit antiserum by affinity-chromatography using epitope-specific immunogen.
性状Liquid
缓冲液Liquid in PBS containing 50% glycerol, 0.5% BSA and 0.02% sodium azide.
偶联与修饰
偶联
Unconjugated
其他可选修饰符
Phospho
抗原信息
免疫原
A synthesized phosphopeptide: human p38 around the phosphorylation site of Y323
抗原种属
human
Uniprot ID
化学信息
分子量Actual: 35 kDa.
储存&溶解度
储存方式Store at -20°C or -80°C for 12 months. Avoid repeated freeze-thaw cycles.
运输方式Shipping with blue ice.

计算器

  • 稀释 计算器
  • 配液 计算器
Related Tags: buy Anti-Phospho-MAPK14 (Tyr323) Polyclonal Antibody | purchase Anti-Phospho-MAPK14 (Tyr323) Polyclonal Antibody | Anti-Phospho-MAPK14 (Tyr323) Polyclonal Antibody cost | order Anti-Phospho-MAPK14 (Tyr323) Polyclonal Antibody | Anti-Phospho-MAPK14 (Tyr323) Polyclonal Antibody molecular weight