购物车
  • TargetMol
    您的购物车当前为空

Anti-Phospho-MAP2K1 (Ser218, 222) Antibody (3S158)

Synonyms: p-MAP2K1 (Ser218, 222), p-MAP2K1 (S218, 222), MAP2K1 (p-Ser218, 222), MAP2K1 (p-S218, 222)
货号 TMAC-03237 一键复制产品信息
Rating icon 还可以

Anti-Phospho-MAP2K1 (Ser218, 222) Antibody (3S158) 是一种 Rabbit 抗体,靶向 Phospho-MAP2K1 (Ser218, 222)。Anti-Phospho-MAP2K1 (Ser218, 222) Antibody (3S158) 可用于 WB,ICC/IF,IHC,IP。

Anti-Phospho-MAP2K1 (Ser218, 222) Antibody (3S158)

一键复制产品信息
Rating icon 还可以
货号 TMAC-03237

别名 p-MAP2K1 (Ser218, 222), p-MAP2K1 (S218, 222), MAP2K1 (p-Ser218, 222), MAP2K1 (p-S218, 222)

Anti-Phospho-MAP2K1 (Ser218, 222) Antibody (3S158) 是一种 Rabbit 抗体,靶向 Phospho-MAP2K1 (Ser218, 222)。Anti-Phospho-MAP2K1 (Ser218, 222) Antibody (3S158) 可用于 WB,ICC/IF,IHC,IP。

Anti-Phospho-MAP2K1 (Ser218, 222) Antibody (3S158)
规格价格库存数量
50 μL
¥ 1,490
5日内发货
100 μL
¥ 2,495
5日内发货
库存状态实时更新,以官网显示为准,现货产品可直接加购物车下单
大包装 & 定制
加入购物车

TargetMol的所有产品仅用作科学研究或药证申报,不能被用于人体,我们不向个人提供产品和服务。请您遵守承诺用途,不得违反法律法规规定用于任何其他用途。

实验操作小课堂
常见问题解答
查看更多

资源下载:产品操作手册

产品介绍


生物活性
产品描述
Anti-Phospho-MAP2K1 (Ser218, 222) Antibody (3S158) is a Rabbit antibody targeting Phospho-MAP2K1 (Ser218, 222). Anti-Phospho-MAP2K1 (Ser218, 222) Antibody (3S158) can be used in ICC/IF,IHC,IP,WB.
别名
p-MAP2K1 (Ser218, 222), p-MAP2K1 (S218, 222), MAP2K1 (p-Ser218, 222), MAP2K1 (p-S218, 222)
Ig Type
IgG
克隆号
3S158
反应种属
Human
验证活性
1. Western blot analysis of Phospho-MEK1 (S218/S222) on different lysates using anti-Phospho-MEK1 (S218/S222) antibody at 1/1,000 dilution. Positive control: Lane 1: A431, Lane 2: Hela, Lane 3: 293T.
2. Immunohistochemical analysis of paraffin-embedded human tonsil tissue using anti-Phospho-MEK1 (S218/S222) antibody. Counter stained with hematoxylin.
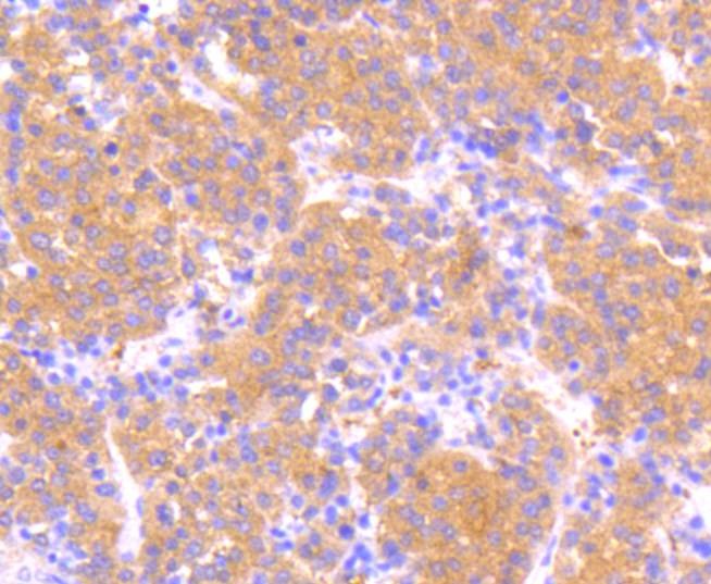
3. Immunohistochemical analysis of paraffin-embedded human liver cancer tissue using anti-Phospho-MEK1 (S218/S222) antibody. Counter stained with hematoxylin.
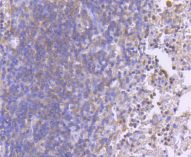
4. Immunohistochemical analysis of paraffin-embedded human spleen tissue using anti-Phospho-MEK1 (S218/S222) antibody. Counter stained with hematoxylin.
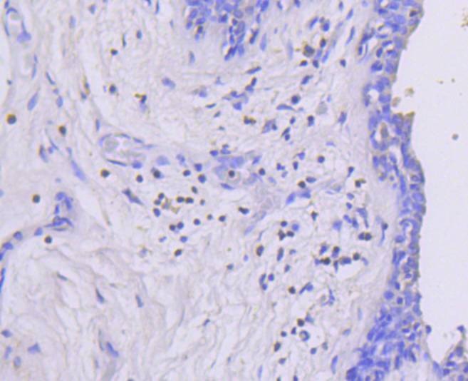
5. Immunohistochemical analysis of paraffin-embedded human breast tissue using anti-Phospho-MEK1 (S218/S222) antibody. Counter stained with hematoxylin.
6. ICC staining Phospho-MEK1 (S218/S222) in Hela cells (green). The nuclear counter stain is DAPI (blue). Cells were fixed in paraformaldehyde, permeabilised with 0.25% Triton X100/PBS.
7. ICC staining Phospho-MEK1 (S218/S222) in HepG2 cells (green). The nuclear counter stain is DAPI (blue). Cells were fixed in paraformaldehyde, permeabilised with 0.25% Triton X100/PBS.
8. ICC staining Phospho-MEK1 (S218/S222) in NIH/3T3 cells (green). The nuclear counter stain is DAPI (blue). Cells were fixed in paraformaldehyde, permeabilised with 0.25% Triton X100/PBS.
verifiedActivityverifiedActivityverifiedActivityverifiedActivityverifiedActivityverifiedActivityverifiedActivityverifiedActivity
应用ICC/IFIHCIPWB
推荐剂量
WB: 1:1000-2000; IHC: 1:50-200; ICC/IF: 1:50-200
抗体种类
Monoclonal
宿主来源Rabbit
构建方式Recombinant Antibody
纯化方式ProA affinity purified
性状Liquid
缓冲液1*TBS (pH7.4), 1%BSA, 40%Glycerol. Preservative: 0.05% Sodium Azide.
研究背景Activation of extracellular signal-regulated kinase (ERK) or mitogen-activated protein kinase by MEK (mitogen-activated protein kinase or extracellular signal-regulated kinase kinase) is an essential event in the mitogenic growth factor-induced signal transduction pathway. Phosphorylation of MEKs correlates with their ability to phosphorylate and activate ERKs. MEK1 and MEK2 can also be activated by autophosphorylation. Lipopolysaccharide activates many of the MAPK family members of the immediate upstream MAPK activator MEK1, MEK2, and MEK3. In plants, MEK can phosphorylate and activate MAPK, and that Tyr phosphorylation is critical for the catalytic activity of MAPK in plants.
偶联与修饰
偶联
Unconjugated
其他可选修饰符
Phospho
抗原信息
免疫原
A synthesized phosphopeptide: human MEK1 around the phosphorylation site of Ser218 and 222
抗原种属
human
Uniprot ID
化学信息
分子量Theoretical: 45 kDa.
储存&溶解度
储存方式Store at -20°C or -80°C for 12 months. Avoid repeated freeze-thaw cycles.
运输方式Shipping with blue ice.

计算器

  • 稀释 计算器
  • 配液 计算器
Related Tags: buy Anti-Phospho-MAP2K1 (Ser218, 222) Antibody (3S158) | purchase Anti-Phospho-MAP2K1 (Ser218, 222) Antibody (3S158) | Anti-Phospho-MAP2K1 (Ser218, 222) Antibody (3S158) cost | order Anti-Phospho-MAP2K1 (Ser218, 222) Antibody (3S158) | Anti-Phospho-MAP2K1 (Ser218, 222) Antibody (3S158) molecular weight