购物车
  • 全部删除
  • TargetMol
    您的购物车当前为空

Anti-Phospho-JNK2 (Thr183) Polyclonal Antibody

一键复制产品信息
Rating icon 还可以
产品编号 TMAC-03685
别名 p-JNK2 (Thr183), p-JNK2 (T183), JNK2 (p-Thr183), JNK2 (p-T183)

Anti-Phospho-JNK2 (Thr183) Polyclonal Antibody 是一种 Rabbit 抗体,靶向 Phospho-JNK2 (Thr183)。Anti-Phospho-JNK2 (Thr183) Polyclonal Antibody 可用于 IHC,WB。

Anti-Phospho-JNK2 (Thr183) Polyclonal Antibody

Anti-Phospho-JNK2 (Thr183) Polyclonal Antibody

一键复制产品信息
Rating icon 还可以
产品编号 TMAC-03685 别名 p-JNK2 (Thr183), p-JNK2 (T183), JNK2 (p-Thr183), JNK2 (p-T183)

Anti-Phospho-JNK2 (Thr183) Polyclonal Antibody 是一种 Rabbit 抗体,靶向 Phospho-JNK2 (Thr183)。Anti-Phospho-JNK2 (Thr183) Polyclonal Antibody 可用于 IHC,WB。

规格价格库存数量
50 μL
¥ 1,490
5日内发货
100 μL
¥ 2,240
5日内发货
大包装 & 定制
加入购物车
TargetMol 的所有产品仅用作科学研究或药证申报,不能被用于人体,我们不向个人提供产品和服务。请您遵守承诺用途,不得违反法律法规规定用于任何其他用途。
实验操作小课堂
常见问题解答
查看更多
联系我们获取更多批次信息
资源下载

产品介绍

生物活性
产品描述
Anti-Phospho-JNK2 (Thr183) Polyclonal Antibody is a Rabbit antibody targeting Phospho-JNK2 (Thr183). Anti-Phospho-JNK2 (Thr183) Polyclonal Antibody can be used in IHC,WB.
别名p-JNK2 (Thr183), p-JNK2 (T183), JNK2 (p-Thr183), JNK2 (p-T183)
Ig Type
IgG
交叉反应
Human,Mouse,Rat
验证活性
1. Western blot analysis of extracts from 293 cells using SAPK/JNK (Phospho-Thr183) Antibody TMAC-03685 (Lane 2) and the same antibody preincubated with blocking peptide (Lane1).
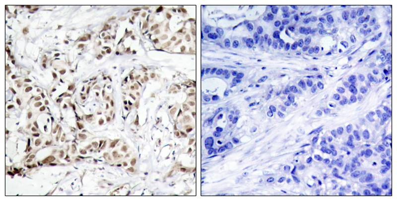
2. Immunohistochemical analysis of paraffin-embedded human breast carcinoma tissue using SAPK/JNK (Phospho-Thr183) Antibody TMAC-03685 (left) or the same antibody preincubated with blocking peptide (right).
3. Western blot analysis of extracts from 293 cells, treated with UV or calf intestinal phosphatase (CIP), using SAPK/JNK (Phospho-Thr183) Antibody TMAC-03685.
verifiedActivityverifiedActivityverifiedActivity
应用IHCWB
抗体种类
Polyclonal
宿主来源Rabbit
构建方式Polyclonal Antibody
纯化方式Antibodies were produced by immunizing rabbits with synthetic phosphopeptide and KLH conjugates. Antibodies were purified by affinity-chromatography using epitope-specific phosphopeptide. Non-phospho specific antibodies were removed by chromatogramphy using non-phosphopeptide.
性状Liquid
缓冲液Supplied at 1.0mg/mL in phosphate buffered saline (without Mg2+ and Ca2+), pH 7.4, 150mM NaCl, 0.02% sodium azide and 50% glycerol.
研究背景Responds to activation by environmental stress and pro-inflammatory cytokines by phosphorylating a number of transcription factors, primarily components of AP-1 such as c-Jun and ATF2 and thus regulates AP-1 transcriptional activity. In T-cells, JNK1 and JNK2 are required for polarized differentiation of T-helper cells into Th1 cells.
偶联与修饰
偶联
Unconjugated
其他可选修饰符
Phospho
抗原信息
免疫原
Peptide sequence around phosphorylation site of threonine 183 (M-M-T(p)-P-Y) derived from Human SAPK/JNK
抗原种属
human
Uniprot ID
存储&运输
储存方式Store at 2°C-8°C for 1 month. Store at -20°C or -80°C for 12 months. Avoid repeated freeze-thaw cycles.
运输方式Shipping with blue ice.

计算器

  • 稀释 计算器

关键词

评论列表

4个月前
5.0
Rating icon 很棒

评论内容

Related Tags: buy Anti-Phospho-JNK2 (Thr183) Polyclonal Antibody | purchase Anti-Phospho-JNK2 (Thr183) Polyclonal Antibody | Anti-Phospho-JNK2 (Thr183) Polyclonal Antibody cost | order Anti-Phospho-JNK2 (Thr183) Polyclonal Antibody