购物车
  • 全部删除
  • TargetMol
    您的购物车当前为空

Anti-Phospho-IRAK1 (Ser376) Polyclonal Antibody

Rating icon 还可以
Anti-Phospho-IRAK1 (Ser376) Polyclonal Antibody
产品编号 TMAC-02207
别名 p-IRAK1 (Ser376), p-IRAK1 (S376), IRAK1 (p-Ser376), IRAK1 (p-S376)

Anti-Phospho-IRAK1 (Ser376) Polyclonal Antibody 是一种 Rabbit 抗体,靶向 Phospho-IRAK1 (Ser376)。Anti-Phospho-IRAK1 (Ser376) Polyclonal Antibody 可用于 IHC。

Anti-Phospho-IRAK1 (Ser376) Polyclonal Antibody

Anti-Phospho-IRAK1 (Ser376) Polyclonal Antibody

Rating icon 还可以
Anti-Phospho-IRAK1 (Ser376) Polyclonal Antibody
产品编号 TMAC-02207 别名 p-IRAK1 (Ser376), p-IRAK1 (S376), IRAK1 (p-Ser376), IRAK1 (p-S376)

Anti-Phospho-IRAK1 (Ser376) Polyclonal Antibody 是一种 Rabbit 抗体,靶向 Phospho-IRAK1 (Ser376)。Anti-Phospho-IRAK1 (Ser376) Polyclonal Antibody 可用于 IHC。

规格价格库存数量
50 μL
¥ 1,480
5日内发货
100 μL
¥ 2,235
5日内发货
大包装 & 定制
加入购物车
TargetMol 的所有产品仅用作科学研究或药证申报,不能被用于人体,我们不向个人提供产品和服务。请您遵守承诺用途,不得违反法律法规规定用于任何其他用途。
实验操作小课堂
常见问题解答
查看更多
联系我们获取更多批次信息
资源下载

产品介绍

生物活性
产品描述
Anti-Phospho-IRAK1 (Ser376) Polyclonal Antibody is a Rabbit antibody targeting Phospho-IRAK1 (Ser376). Anti-Phospho-IRAK1 (Ser376) Polyclonal Antibody can be used in IHC.
别名p-IRAK1 (Ser376), p-IRAK1 (S376), IRAK1 (p-Ser376), IRAK1 (p-S376)
Ig Type
IgG
交叉反应
Human
验证活性
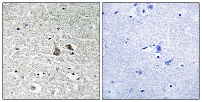
1. Immunohistochemical analysis of paraffin-embedded human brain tissue using IRAK1 (Phospho-Ser376) antibody TMAC-02207 (left) or the same antibody preincubated with blocking peptide (right).
应用
推荐剂量
IHC: 1:50-100
抗体种类
Polyclonal
宿主来源Rabbit
构建方式Polyclonal Antibody
纯化方式Antibodies were produced by immunizing rabbits with synthetic phosphopeptide and KLH conjugates. Antibodies were purified by affinity-chromatography using epitope-specific phosphopeptide. Non-phospho specific antibodies were removed by chromatogramphy using non-phosphopeptide.
性状Liquid
缓冲液Rabbit IgG in phosphate buffered saline (without Mg2+ and Ca2+), pH 7.4, 150mM NaCl, 0.02% sodium azide and 50% glycerol.
研究背景IRAK1 encodes the interleukin-1 receptor-associated kinase 1, one of two putative serine/threonine kinases that become associated with the interleukin-1 receptor (IL1R) upon stimulation. IRAK1 is partially responsible for IL1-induced upregulation of the transcription factor NF-kappa B.
偶联与修饰
偶联
Unconjugated
其他可选修饰符
Phospho
抗原信息
免疫原
Peptide sequence around phosphorylation site of Serine 376(Q-S-S(p)-M-V) derived from Human IRAK1
抗原种属
human
Uniprot ID
化学信息
分子量Actual: 76 kDa.
存储&运输
储存方式Store at -20°C or -80°C for 12 months. Avoid repeated freeze-thaw cycles.
运输方式Shipping with blue ice.

计算器

  • 稀释 计算器

关键词

评论列表

4个月前
5.0
Rating icon 很棒

评论内容

Related Tags: buy Anti-Phospho-IRAK1 (Ser376) Polyclonal Antibody | purchase Anti-Phospho-IRAK1 (Ser376) Polyclonal Antibody | Anti-Phospho-IRAK1 (Ser376) Polyclonal Antibody cost | order Anti-Phospho-IRAK1 (Ser376) Polyclonal Antibody | Anti-Phospho-IRAK1 (Ser376) Polyclonal Antibody molecular weight