购物车
  • 全部删除
  • TargetMol
    您的购物车当前为空

Anti-Phospho-IKBKA (Thr23) Polyclonal Antibody

一键复制产品信息
Rating icon 还可以
产品编号 TMAC-02123
别名 p-IKK- alpha (Thr23), p-IKK- alpha (T23), IKK- alpha (p-Thr23), IKK- alpha (p-T23)

Anti-Phospho-IKBKA (Thr23) Polyclonal Antibody 是一种 Rabbit 抗体,靶向 Phospho-IKBKA (Thr23)。Anti-Phospho-IKBKA (Thr23) Polyclonal Antibody 可用于 WB,IHC。

Anti-Phospho-IKBKA (Thr23) Polyclonal Antibody

Anti-Phospho-IKBKA (Thr23) Polyclonal Antibody

一键复制产品信息
Rating icon 还可以
产品编号 TMAC-02123 别名 p-IKK- alpha (Thr23), p-IKK- alpha (T23), IKK- alpha (p-Thr23), IKK- alpha (p-T23)

Anti-Phospho-IKBKA (Thr23) Polyclonal Antibody 是一种 Rabbit 抗体,靶向 Phospho-IKBKA (Thr23)。Anti-Phospho-IKBKA (Thr23) Polyclonal Antibody 可用于 WB,IHC。

规格价格库存数量
50 μL
¥ 1,485
5日内发货
100 μL
¥ 2,245
5日内发货
大包装 & 定制
加入购物车
TargetMol 的所有产品仅用作科学研究或药证申报,不能被用于人体,我们不向个人提供产品和服务。请您遵守承诺用途,不得违反法律法规规定用于任何其他用途。
实验操作小课堂
常见问题解答
查看更多
联系我们获取更多批次信息
资源下载

产品介绍

生物活性
产品描述
Anti-Phospho-IKBKA (Thr23) Polyclonal Antibody is a Rabbit antibody targeting Phospho-IKBKA (Thr23). Anti-Phospho-IKBKA (Thr23) Polyclonal Antibody can be used in WB,IHC.
别名p-IKK- alpha (Thr23), p-IKK- alpha (T23), IKK- alpha (p-Thr23), IKK- alpha (p-T23)
Ig Type
IgG
交叉反应
Human,Mouse,Rat
验证活性
1. Western blot analysis of extracts from 293 cells untreated or treated with TNF using IKK a (Phospho-Thr23) Antibody TMAC-02123.
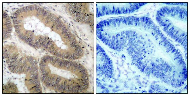
2. Immunohistochemical analysis of paraffin-embedded human colon carcinoma tissue using IKK a (Phospho-Thr23) Antibody TMAC-02123 (left) or the same antibody preincubated with blocking peptide (right).
3. Western blot analysis of extracts from Hela cells, treated with EGF or calf intestinal phosphatase (CIP), using IKK α (Phospho-Thr23) Antibody TMAC-02123.
verifiedActivityverifiedActivityverifiedActivity
应用IHCWB
抗体种类
Polyclonal
宿主来源Rabbit
构建方式Polyclonal Antibody
纯化方式Antibodies were produced by immunizing rabbits with synthetic phosphopeptide and KLH conjugates. Antibodies were purified by affinity-chromatography using epitope-specific phosphopeptide. Non-phospho specific antibodies were removed by chromatogramphy using non-phosphopeptide.
性状Liquid
缓冲液Supplied at 1.0mg/mL in phosphate buffered saline (without Mg2+ and Ca2+), pH 7.4, 150mM NaCl, 0.02% sodium azide and 50% glycerol.
研究背景Acts as part of the IKK complex in the conventional pathway of NF-kappa-B activation and phosphorylates inhibitors of NF-kappa-B thus leading to the dissociation of the inhibitor/NF-kappa-B complex and ultimately the degradation of the inhibitor. As part of the non-canonical pathway of NF-kappa-B activation, the MAP3K14-activated CHUK/IKKA homodimer phosphorylates NFKB2/p100 associated with RelB, inducing its proteolytic processing to NFKB2/p52 and the formation of NF-kappa-B RelB-p52 complexes. Also phosphorylates NCOA3. Phosphorylates 'Ser-10' of histone H3 at NF-kappa-B-regulated promoters during inflammatory responses triggered by cytokines.
偶联与修饰
偶联
Unconjugated
其他可选修饰符
Phospho
抗原信息
免疫原
Peptide sequence around phosphorylation site of threonine 23 (L-G-T(p)-G-G) derived from Human IKK a
抗原种属
human
Uniprot ID
存储&运输
储存方式Store at 2°C-8°C for 1 month. Store at -20°C or -80°C for 12 months. Avoid repeated freeze-thaw cycles.
运输方式Shipping with blue ice.

计算器

  • 稀释 计算器

关键词

评论列表

4个月前
5.0
Rating icon 很棒

评论内容

Related Tags: buy Anti-Phospho-IKBKA (Thr23) Polyclonal Antibody | purchase Anti-Phospho-IKBKA (Thr23) Polyclonal Antibody | Anti-Phospho-IKBKA (Thr23) Polyclonal Antibody cost | order Anti-Phospho-IKBKA (Thr23) Polyclonal Antibody