购物车
  • TargetMol
    您的购物车当前为空

Anti-Phospho-HNRPD (Ser83) Polyclonal Antibody

Synonyms: p-HNRPD (Ser83), p-HNRPD (S83), HNRPD (p-Ser83), HNRPD (p-S83)
货号 TMAC-02001 一键复制产品信息
Rating icon 还可以

Anti-Phospho-HNRPD (Ser83) Polyclonal Antibody 是一种 Rabbit 抗体,靶向 Phospho-HNRPD (Ser83)。Anti-Phospho-HNRPD (Ser83) Polyclonal Antibody 可用于 IF,IHC,WB。

Anti-Phospho-HNRPD (Ser83) Polyclonal Antibody

一键复制产品信息
Rating icon 还可以
货号 TMAC-02001

别名 p-HNRPD (Ser83), p-HNRPD (S83), HNRPD (p-Ser83), HNRPD (p-S83)

Anti-Phospho-HNRPD (Ser83) Polyclonal Antibody 是一种 Rabbit 抗体,靶向 Phospho-HNRPD (Ser83)。Anti-Phospho-HNRPD (Ser83) Polyclonal Antibody 可用于 IF,IHC,WB。

Anti-Phospho-HNRPD (Ser83) Polyclonal Antibody
规格价格库存数量
50 μL
¥ 1,490
5日内发货
100 μL
¥ 2,245
5日内发货
库存状态实时更新,以官网显示为准,现货产品可直接加购物车下单
大包装 & 定制
加入购物车

TargetMol的所有产品仅用作科学研究或药证申报,不能被用于人体,我们不向个人提供产品和服务。请您遵守承诺用途,不得违反法律法规规定用于任何其他用途。

实验操作小课堂
常见问题解答
查看更多

资源下载:产品操作手册

产品介绍


生物活性
产品描述
Anti-Phospho-HNRPD (Ser83) Polyclonal Antibody is a Rabbit antibody targeting Phospho-HNRPD (Ser83). Anti-Phospho-HNRPD (Ser83) Polyclonal Antibody can be used in IF,IHC,WB.
别名
p-HNRPD (Ser83), p-HNRPD (S83), HNRPD (p-Ser83), HNRPD (p-S83)
Ig Type
IgG
反应种属
Human,Mouse
验证活性
1. Western blot analysis of extracts from JK cells (Lane 2), using hnRPD (Phospho-Ser83) Antibody TMAC-02001. The lane on the left is treated with antigen-specific peptide.
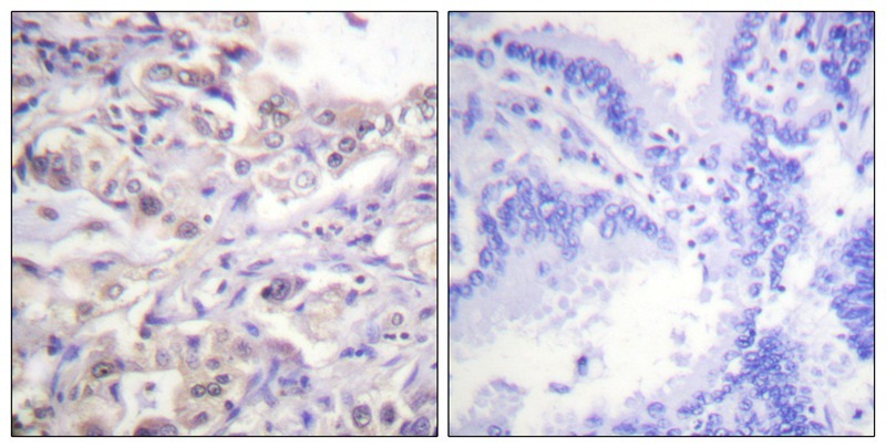
2. Immunohistochemical analysis of paraffin-embedded human lung carcinoma tissue using hnRPD (Phospho-Ser83) antibody TMAC-02001 (left)or the same antibody preincubated with blocking peptide (right).
3. Immunofluorescence staining of methanol-fixed HeLa cells using hnRPD (Phospho-Ser83) Antibody TMAC-02001.
verifiedActivityverifiedActivityverifiedActivity
应用IFIHCWB
推荐剂量
WB: 1:500-1000; IHC: 1:50-100; IF: 1:100-200
抗体种类
Polyclonal
宿主来源Rabbit
构建方式Polyclonal Antibody
纯化方式Antibodies were produced by immunizing rabbits with synthetic phosphopeptide and KLH conjugates. Antibodies were purified by affinity-chromatography using epitope-specific phosphopeptide. Non-phospho specific antibodies were removed by chromatogramphy using non-phosphopeptide.
性状Liquid
缓冲液Rabbit IgG in phosphate buffered saline (without Mg2+ and Ca2+), pH 7.4, 150mM NaCl, 0.02% sodium azide and 50% glycerol.
研究背景Binds with high affinity to RNA molecules that contain AU-rich elements (AREs) found within the 3'-UTR of many proto-oncogenes and cytokine mRNAs. Also binds to double- and single-stranded DNA sequences in a specific manner and functions a transcription factor. Each of the RNA-binding domains specifically can bind solely to a single-stranded non-monotonous 5'-UUAG-3' sequence and also weaker to the single-stranded 5'-TTAGGG-3' telomeric DNA repeat. Binds RNA oligonucleotides with 5'-UUAGGG-3' repeats more tightly than the telomeric single-stranded DNA 5'-TTAGGG-3' repeats.
偶联与修饰
偶联
Unconjugated
其他可选修饰符
Phospho
抗原信息
免疫原
Peptide sequence around phosphorylation site of Serine 83(N-S-S(p)-P-R) derived from Human hnRPD
抗原种属
human
Uniprot ID
化学信息
分子量Actual: 38 kDa.
储存&溶解度
储存方式Store at -20°C or -80°C for 12 months. Avoid repeated freeze-thaw cycles.
运输方式Shipping with blue ice.

计算器

  • 稀释 计算器
  • 配液 计算器
Related Tags: buy Anti-Phospho-HNRPD (Ser83) Polyclonal Antibody | purchase Anti-Phospho-HNRPD (Ser83) Polyclonal Antibody | Anti-Phospho-HNRPD (Ser83) Polyclonal Antibody cost | order Anti-Phospho-HNRPD (Ser83) Polyclonal Antibody | Anti-Phospho-HNRPD (Ser83) Polyclonal Antibody molecular weight