购物车
  • TargetMol
    您的购物车当前为空

Anti-Phospho-HIST1H3A (Ser10) Antibody (5F765)

Synonyms: p-HIST1H3A (Ser10), p-HIST1H3A (S10), HIST1H3A (p-Ser10), HIST1H3A (p-S10)
货号 TMAC-03224 一键复制产品信息
Rating icon 还可以

Anti-Phospho-HIST1H3A (Ser10) Antibody (5F765) 是一种 Rabbit 抗体,靶向 Phospho-HIST1H3A (Ser10)。Anti-Phospho-HIST1H3A (Ser10) Antibody (5F765) 可用于 WB,ICC/IF,IHC,IP。

Anti-Phospho-HIST1H3A (Ser10) Antibody (5F765)

一键复制产品信息
Rating icon 还可以
货号 TMAC-03224

别名 p-HIST1H3A (Ser10), p-HIST1H3A (S10), HIST1H3A (p-Ser10), HIST1H3A (p-S10)

Anti-Phospho-HIST1H3A (Ser10) Antibody (5F765) 是一种 Rabbit 抗体,靶向 Phospho-HIST1H3A (Ser10)。Anti-Phospho-HIST1H3A (Ser10) Antibody (5F765) 可用于 WB,ICC/IF,IHC,IP。

Anti-Phospho-HIST1H3A (Ser10) Antibody (5F765)
规格价格库存数量
50 μL
¥ 1,480
5日内发货
100 μL
¥ 2,480
5日内发货
库存状态实时更新,以官网显示为准,现货产品可直接加购物车下单
大包装 & 定制
加入购物车

TargetMol的所有产品仅用作科学研究或药证申报,不能被用于人体,我们不向个人提供产品和服务。请您遵守承诺用途,不得违反法律法规规定用于任何其他用途。

实验操作小课堂
常见问题解答
查看更多

资源下载:产品操作手册

产品介绍


生物活性
产品描述
Anti-Phospho-HIST1H3A (Ser10) Antibody (5F765) is a Rabbit antibody targeting Phospho-HIST1H3A (Ser10). Anti-Phospho-HIST1H3A (Ser10) Antibody (5F765) can be used in ICC/IF,IHC,IP,WB.
别名
p-HIST1H3A (Ser10), p-HIST1H3A (S10), HIST1H3A (p-Ser10), HIST1H3A (p-S10)
Ig Type
IgG
克隆号
5F765
反应种属
Human,Mouse,Rat
验证活性
1. Western blot analysis of Phospho-Histone H3 (S10) on Hela cell lysates using anti-Phospho-Histone H3 (S10) antibody at 1/1,000 dilution. Positive control: Lane 1: Untreated HeLa cell lysate, Lane 2: HeLa cell lysate treated with calyculin A, Lane 3: HeLa cell lysate treated with calyculin A and alkaline phosphatase.
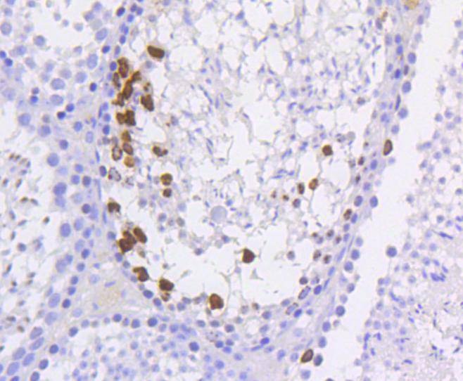
2. Immunohistochemical analysis of paraffin-embedded mouse testis tissue using anti-Phospho-Histone H3 (S10) antibody. Counter stained with hematoxylin.
3. ICC staining Phospho-Histone H3 (S10) in Hela cells (green). The nuclear counter stain is DAPI (blue). Cells were fixed in paraformaldehyde, permeabilised with 0.25% Triton X100/PBS.
4. ICC staining Phospho-Histone H3 (S10) in Ags cells (green). Cells were fixed in paraformaldehyde, permeabilised with 0.25% Triton X100/PBS.
5. ICC staining Phospho-Histone H3 (S10) in HepG2 cells (green). Cells were fixed in paraformaldehyde, permeabilised with 0.25% Triton X100/PBS.
verifiedActivityverifiedActivityverifiedActivityverifiedActivityverifiedActivity
应用ICC/IFIHCIPWB
推荐剂量
WB: 1:1000-5000; IHC: 1:50-200; ICC/IF: 1:50-200
抗体种类
Monoclonal
宿主来源Rabbit
构建方式Recombinant Antibody
纯化方式ProA affinity purified
性状Liquid
缓冲液1*TBS (pH7.4), 1%BSA, 40%Glycerol. Preservative: 0.05% Sodium Azide.
研究背景In eukaryotes, DNA is wrapped around histone octamers to form the basic unit of chromatin structure. The octamer is composed of histones H2A, H2B, H3 and H4, and it associates with approximately 200 base pairs of DNA to form the nucleosome. The association of DNA with histones results in dense packing of chromatin, which restricts proteins involved in gene transcription from binding to DNA. Histone H3, the core protein of the nucleosome, becomes phosphorylated at the end of prophase. The two major sites of phosphorylation are the mitosis-specific site Ser10, and Ser28, both of which are extensively phosphorylated in DNA-bound forms of histone H3 and in nucleosomal histone H3. The nucleosome structure of histone H3 promotes N-terminal phosphorylation in vitro.
偶联与修饰
偶联
Unconjugated
其他可选修饰符
Phospho
抗原信息
免疫原
A synthesized phosphopeptide: human Histone H3 around the phosphorylation site of Ser10
抗原种属
human
Uniprot ID
化学信息
分子量Theoretical: 15 kDa.
储存&溶解度
储存方式Store at -20°C or -80°C for 12 months. Avoid repeated freeze-thaw cycles.
运输方式Shipping with blue ice.

计算器

  • 稀释 计算器
  • 配液 计算器
Related Tags: buy Anti-Phospho-HIST1H3A (Ser10) Antibody (5F765) | purchase Anti-Phospho-HIST1H3A (Ser10) Antibody (5F765) | Anti-Phospho-HIST1H3A (Ser10) Antibody (5F765) cost | order Anti-Phospho-HIST1H3A (Ser10) Antibody (5F765) | Anti-Phospho-HIST1H3A (Ser10) Antibody (5F765) molecular weight