购物车
  • 全部删除
  • TargetMol
    您的购物车当前为空

Anti-Phospho-HDAC5 (Ser498) Polyclonal Antibody

一键复制产品信息
Rating icon 还可以
产品编号 TMAC-01781
别名 p-HDAC5 (Ser498), p-HDAC5 (S498), HDAC5 (p-Ser498), HDAC5 (p-S498)

Anti-Phospho-HDAC5 (Ser498) Polyclonal Antibody 是一种 Rabbit 抗体,靶向 Phospho-HDAC5 (Ser498)。Anti-Phospho-HDAC5 (Ser498) Polyclonal Antibody 可用于 IF,IHC,WB。

Anti-Phospho-HDAC5 (Ser498) Polyclonal Antibody

Anti-Phospho-HDAC5 (Ser498) Polyclonal Antibody

一键复制产品信息
Rating icon 还可以
产品编号 TMAC-01781 别名 p-HDAC5 (Ser498), p-HDAC5 (S498), HDAC5 (p-Ser498), HDAC5 (p-S498)

Anti-Phospho-HDAC5 (Ser498) Polyclonal Antibody 是一种 Rabbit 抗体,靶向 Phospho-HDAC5 (Ser498)。Anti-Phospho-HDAC5 (Ser498) Polyclonal Antibody 可用于 IF,IHC,WB。

规格价格库存数量
50 μL
¥ 1,480
5日内发货
100 μL
¥ 2,230
5日内发货
大包装 & 定制
加入购物车
TargetMol 的所有产品仅用作科学研究或药证申报,不能被用于人体,我们不向个人提供产品和服务。请您遵守承诺用途,不得违反法律法规规定用于任何其他用途。
实验操作小课堂
常见问题解答
查看更多
联系我们获取更多批次信息
资源下载

产品介绍

生物活性
产品描述
Anti-Phospho-HDAC5 (Ser498) Polyclonal Antibody is a Rabbit antibody targeting Phospho-HDAC5 (Ser498). Anti-Phospho-HDAC5 (Ser498) Polyclonal Antibody can be used in IF,IHC,WB.
别名p-HDAC5 (Ser498), p-HDAC5 (S498), HDAC5 (p-Ser498), HDAC5 (p-S498)
Ig Type
IgG
交叉反应
Human,Mouse
验证活性
1. Western Blot analysis of VEC cells using Phospho-HDAC5 (S498) Polyclonal Antibody diluted at 1:500.
2. Western blot analysis of lysates from Jurkat cells, using HDAC5 (Phospho-Ser498) Antibody. The lane on the right is blocked with the phospho peptide.
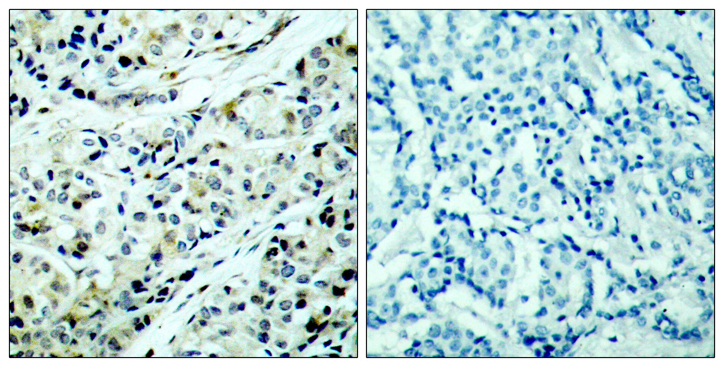
3. Immunohistochemistry analysis of paraffin-embedded human breast carcinoma, using HDAC5 (Phospho-Ser498) Antibody. The picture on the right is blocked with the phospho peptide.
verifiedActivityverifiedActivityverifiedActivity
应用IFIHCWB
推荐剂量
WB: 1:500-2000; IHC: 1:100-300; IF: 1:200-1000
抗体种类
Polyclonal
宿主来源Rabbit
构建方式Polyclonal Antibody
纯化方式The antibody was affinity-purified from rabbit antiserum by affinity-chromatography using epitope-specific immunogen.
性状Liquid
缓冲液Liquid in PBS containing 50% glycerol, 0.5% BSA and 0.02% sodium azide.
研究背景Histones play a critical role in transcriptional regulation, cell cycle progression, and developmental events. Histone acetylation/deacetylation alters chromosome structure and affects transcription factor access to DNA. The protein encoded by this gene belongs to the class II histone deacetylase/acuc/apha family. It possesses histone deacetylase activity and represses transcription when tethered to a promoter. It coimmunoprecipitates only with HDAC3 family member and might form multicomplex proteins. It also interacts with myocyte enhancer factor-2 (MEF2) proteins, resulting in repression of MEF2-dependent genes. This gene is thought to be associated with colon cancer. Two transcript variants encoding different isoforms have been found for this gene. [provided by RefSeq, Jul 2008],
偶联与修饰
偶联
Unconjugated
其他可选修饰符
Phospho
抗原信息
免疫原
A synthesized phosphopeptide: human HDAC5 around the phosphorylation site of Ser498
抗原种属
human
Uniprot ID
存储&运输
储存方式Store at 2°C-8°C for 1 month. Store at -20°C or -80°C for 12 months. Avoid repeated freeze-thaw cycles.
运输方式Shipping with blue ice.

计算器

  • 稀释 计算器

关键词

评论列表

4个月前
5.0
Rating icon 很棒

评论内容

Related Tags: buy Anti-Phospho-HDAC5 (Ser498) Polyclonal Antibody | purchase Anti-Phospho-HDAC5 (Ser498) Polyclonal Antibody | Anti-Phospho-HDAC5 (Ser498) Polyclonal Antibody cost | order Anti-Phospho-HDAC5 (Ser498) Polyclonal Antibody