购物车
  • 全部删除
  • TargetMol
    您的购物车当前为空

Anti-Phospho-ER alpha (Ser118) Antibody (5S971)

一键复制产品信息
Rating icon 还可以
产品编号 TMAC-03214
别名 p-ER alpha (Ser118), p-ER alpha (S118), ER alpha (p-Ser118), ER alpha (p-S118)

Anti-Phospho-ER alpha (Ser118) Antibody (5S971) 是一种 Rabbit 抗体,靶向 Phospho-ER alpha (Ser118)。Anti-Phospho-ER alpha (Ser118) Antibody (5S971) 可用于 WB,ICC/IF,IHC。

Anti-Phospho-ER alpha (Ser118) Antibody (5S971)

Anti-Phospho-ER alpha (Ser118) Antibody (5S971)

一键复制产品信息
Rating icon 还可以
产品编号 TMAC-03214 别名 p-ER alpha (Ser118), p-ER alpha (S118), ER alpha (p-Ser118), ER alpha (p-S118)

Anti-Phospho-ER alpha (Ser118) Antibody (5S971) 是一种 Rabbit 抗体,靶向 Phospho-ER alpha (Ser118)。Anti-Phospho-ER alpha (Ser118) Antibody (5S971) 可用于 WB,ICC/IF,IHC。

规格价格库存数量
50 μL
¥ 1,480
5日内发货
100 μL
¥ 2,490
5日内发货
大包装 & 定制
加入购物车
TargetMol 的所有产品仅用作科学研究或药证申报,不能被用于人体,我们不向个人提供产品和服务。请您遵守承诺用途,不得违反法律法规规定用于任何其他用途。
实验操作小课堂
常见问题解答
查看更多
联系我们获取更多批次信息
资源下载

产品介绍

生物活性
产品描述
Anti-Phospho-ER alpha (Ser118) Antibody (5S971) is a Rabbit antibody targeting Phospho-ER alpha (Ser118). Anti-Phospho-ER alpha (Ser118) Antibody (5S971) can be used in ICC/IF,IHC,WB.
别名p-ER alpha (Ser118), p-ER alpha (S118), ER alpha (p-Ser118), ER alpha (p-S118)
Ig Type
IgG
克隆号
5S971
交叉反应
Human
验证活性
1. Western blot analysis of Estrogen Receptor alpha (phospho S118) on MCF-7 cell lysates using anti-phospho-Estrogen Receptor alpha (S118) antibody at 1/1,000 dilution.
2. Immunohistochemical analysis of paraffin-embedded human breast carcinoma tissue using anti- phospho-Estrogen Receptor alpha (S118) antibody. Counter stained with hematoxylin.
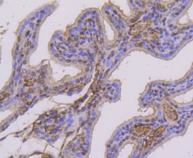
3. Immunohistochemical analysis of paraffin-embedded mouse placenta tissue using anti- phospho-Estrogen Receptor alpha (S118) antibody. Counter stained with hematoxylin.
4. ICC staining phospho-Estrogen Receptor alpha (S118) in Hela cells (green). The nuclear counter stain is DAPI (blue). Cells were fixed in paraformaldehyde, permeabilised with 0.25% Triton X100/PBS.
5. ICC staining phospho-Estrogen Receptor alpha (S118) in MCF-7 cells (green). The nuclear counter stain is DAPI (blue). Cells were fixed in paraformaldehyde, permeabilised with 0.25% Triton X100/PBS.
6. ICC staining phospho-Estrogen Receptor alpha (S118) in HUVEC cells (green). The nuclear counter stain is DAPI (blue). Cells were fixed in paraformaldehyde, permeabilised with 0.25% Triton X100/PBS.
verifiedActivityverifiedActivityverifiedActivityverifiedActivityverifiedActivityverifiedActivity
应用ICC/IFIHCWB
推荐剂量
WB: 1:1000; IHC: 1:50-200; ICC/IF: 1:50-200
抗体种类
Monoclonal
宿主来源Rabbit
构建方式Hybridoma Monoclonal Antibody
纯化方式ProA affinity purified
性状Liquid
缓冲液1*TBS (pH7.4), 1%BSA, 40%Glycerol. Preservative: 0.05% Sodium Azide.
研究背景Estrogen receptor alpha (ERa, ER, ESR, ESRA, Era, NR3A1, estrogen receptor 1) is a ligand-activated transcription factor composed of several domains important for hormone binding, DNA binding and activation of transcription. Alternative splicing results in several ERa mRNA transcripts, which differ primarily in their 5' untranslated regions. ERa undergoes phosphorylation in response to estradiol binding. Human ERa is predominately phosphorylated on Ser 118 and to a lesser extent on Ser 104 and Ser 106. In response to activation of the mitogen-activated protein kinase pathway, phosphorylation occurs on Ser 118 and Ser 167. These serine residues are all located within the activation function 1 region of the N-terminal domain of ERa. In contrast, activation of protein kinase A increases the phosphorylation of Ser 236, which is located in the DNA-binding domain. Src kinase-dependent Tyr 537 phosphorylation may enhance estrogen binding to ERa. Mutation of Tyr 537 of the human ERa produces receptors having a range of constitutive activity.
偶联与修饰
偶联
Unconjugated
其他可选修饰符
Phospho
抗原信息
免疫原
A synthesized phosphopeptide: human Estrogen Receptor alpha around the phosphorylation site of Ser118
抗原种属
human
Uniprot ID
化学信息
分子量Theoretical: 66 kDa.
存储&运输
储存方式Store at -20°C or -80°C for 12 months. Avoid repeated freeze-thaw cycles.
运输方式Shipping with blue ice.

计算器

  • 稀释 计算器

关键词

评论列表

4个月前
5.0
Rating icon 很棒

评论内容

Related Tags: buy Anti-Phospho-ER alpha (Ser118) Antibody (5S971) | purchase Anti-Phospho-ER alpha (Ser118) Antibody (5S971) | Anti-Phospho-ER alpha (Ser118) Antibody (5S971) cost | order Anti-Phospho-ER alpha (Ser118) Antibody (5S971) | Anti-Phospho-ER alpha (Ser118) Antibody (5S971) molecular weight