• TargetMol
    您的购物车当前为空

Anti-Phospho-ELK1 (Thr417) Polyclonal Antibody

一键复制产品信息
Rating icon 还可以
货号 TMAC-01286

别名 p-ELK1 (Thr417), p-ELK1 (T417), ELK1 (p-Thr417), ELK1 (p-T417)

Anti-Phospho-ELK1 (Thr417) Polyclonal Antibody 是一种 Rabbit 抗体,靶向 Phospho-ELK1 (Thr417)。Anti-Phospho-ELK1 (Thr417) Polyclonal Antibody 可用于 IF,IHC。

Anti-Phospho-ELK1 (Thr417) Polyclonal Antibody

Anti-Phospho-ELK1 (Thr417) Polyclonal Antibody

一键复制产品信息
Rating icon 还可以
货号 TMAC-01286 别名 p-ELK1 (Thr417), p-ELK1 (T417), ELK1 (p-Thr417), ELK1 (p-T417)

Anti-Phospho-ELK1 (Thr417) Polyclonal Antibody 是一种 Rabbit 抗体,靶向 Phospho-ELK1 (Thr417)。Anti-Phospho-ELK1 (Thr417) Polyclonal Antibody 可用于 IF,IHC。

规格价格库存数量
50 μL
¥ 1,495
5日内发货
100 μL
¥ 2,230
5日内发货
库存状态实时更新,以官网显示为准,现货产品可直接加购物车下单
大包装 & 定制
加入购物车
TargetMol的所有产品仅用作科学研究或药证申报,不能被用于人体,我们不向个人提供产品和服务。请您遵守承诺用途,不得违反法律法规规定用于任何其他用途。
实验操作小课堂
常见问题解答
查看更多
资源下载:

产品介绍


生物活性
产品描述
Anti-Phospho-ELK1 (Thr417) Polyclonal Antibody is a Rabbit antibody targeting Phospho-ELK1 (Thr417). Anti-Phospho-ELK1 (Thr417) Polyclonal Antibody can be used in IF,IHC.
别名p-ELK1 (Thr417), p-ELK1 (T417), ELK1 (p-Thr417), ELK1 (p-T417)
Ig Type
IgG
反应种属
Human,Mouse,Rat
验证活性
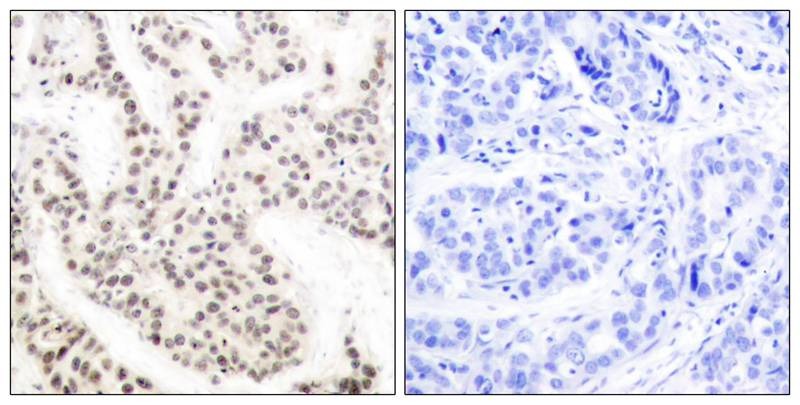
1. Immunohistochemical analysis of paraffin-embedded human breast carcinoma tissue using Elk-1 (phospho-Thr417) antibody (TMAC-01286).
2. Immunofluorescence staining of methanol-fixed HeLa cells using Elk-1 (phospho-Thr417) antibody (TMAC-01286, Red).
verifiedActivityverifiedActivity
应用IFIHC
抗体种类
Polyclonal
宿主来源Rabbit
构建方式Polyclonal Antibody
纯化方式Antibodies were produced by immunizing rabbits with synthetic phosphopeptide and KLH conjugates. Antibodies were purified by affinity-chromatography using epitope-specific phosphopeptide. Non-phospho specific antibodies were removed by chromatogramphy using non-phosphopeptide.
性状Liquid
缓冲液Supplied at 1.0mg/mL in phosphate buffered saline (without Mg2+ and Ca2+), pH 7.4, 150mM NaCl, 0.02% sodium azide and 50% glycerol.
研究背景Stimulates transcription. Binds to purine-rich DNA sequences. Can form a ternary complex with the serum response factor and the ETS and SRF motifs of the fos serum response element. Yang S.-H., Sharrocks A.D.EMBO J. 24:2161-2171(2005) Zhang L., Yang S.H., Sharrocks A.D.Mol. Cell. Biol. 27:2861-2869(2007)
偶联与修饰
偶联
Unconjugated
其他可选修饰符
Phospho
抗原信息
免疫原
Peptide sequence around phosphorylation site of threonine 417(L-S-T(p)-P-V) derived from Human Elk1
抗原种属
human
Uniprot ID
储存&溶解度
储存方式Store at -20°C or -80°C for 12 months. Avoid repeated freeze-thaw cycles.
运输方式Shipping with blue ice.
存储store at low temperature | -20°C for 1 year

计算器

  • 稀释 计算器
Related Tags: buy Anti-Phospho-ELK1 (Thr417) Polyclonal Antibody | purchase Anti-Phospho-ELK1 (Thr417) Polyclonal Antibody | Anti-Phospho-ELK1 (Thr417) Polyclonal Antibody cost | order Anti-Phospho-ELK1 (Thr417) Polyclonal Antibody