• TargetMol
    您的购物车当前为空

Anti-Phospho-DAXX (Ser668) Polyclonal Antibody

一键复制产品信息
Rating icon 还可以
货号 TMAC-01117

别名 p-DAXX (Ser668), p-DAXX (S668), DAXX (p-Ser668), DAXX (p-S668)

Anti-Phospho-DAXX (Ser668) Polyclonal Antibody 是一种 Rabbit 抗体,靶向 Phospho-DAXX (Ser668)。Anti-Phospho-DAXX (Ser668) Polyclonal Antibody 可用于 ELISA,IHC,WB。

Anti-Phospho-DAXX (Ser668) Polyclonal Antibody

Anti-Phospho-DAXX (Ser668) Polyclonal Antibody

一键复制产品信息
Rating icon 还可以
货号 TMAC-01117 别名 p-DAXX (Ser668), p-DAXX (S668), DAXX (p-Ser668), DAXX (p-S668)

Anti-Phospho-DAXX (Ser668) Polyclonal Antibody 是一种 Rabbit 抗体,靶向 Phospho-DAXX (Ser668)。Anti-Phospho-DAXX (Ser668) Polyclonal Antibody 可用于 ELISA,IHC,WB。

规格价格库存数量
50 μL
¥ 1,480
5日内发货
100 μL
¥ 2,230
5日内发货
库存状态实时更新,以官网显示为准,现货产品可直接加购物车下单
大包装 & 定制
加入购物车
TargetMol的所有产品仅用作科学研究或药证申报,不能被用于人体,我们不向个人提供产品和服务。请您遵守承诺用途,不得违反法律法规规定用于任何其他用途。
实验操作小课堂
常见问题解答
查看更多
资源下载:

产品介绍


生物活性
产品描述
Anti-Phospho-DAXX (Ser668) Polyclonal Antibody is a Rabbit antibody targeting Phospho-DAXX (Ser668). Anti-Phospho-DAXX (Ser668) Polyclonal Antibody can be used in ELISA,IHC,WB.
别名p-DAXX (Ser668), p-DAXX (S668), DAXX (p-Ser668), DAXX (p-S668)
Ig Type
IgG
反应种属
Human
验证活性
1. Western Blot analysis of 293 cells using Phospho-Daxx (S668) Polyclonal Antibody.
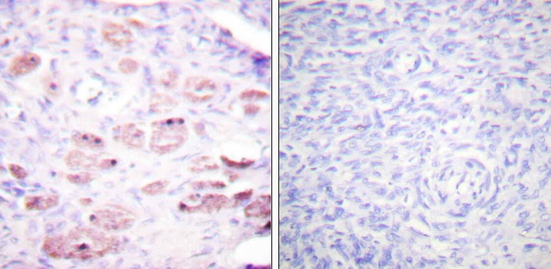
2. Immunohistochemical analysis of paraffin-embedded human ovary using TMAC-01117 at dilution 1/100 at the left, antigen peptide blocked at the right.
verifiedActivityverifiedActivity
应用ELISAIHCWB
推荐剂量
WB: 1:500-2000; IHC: 1:100-300; ELISA: 1:10000
抗体种类
Polyclonal
宿主来源Rabbit
构建方式Polyclonal Antibody
纯化方式The antibody was affinity-purified from rabbit antiserum by affinity-chromatography using epitope-specific immunogen.
性状Liquid
缓冲液Liquid in PBS containing 50% glycerol, 0.5% BSA and 0.02% sodium azide.
偶联与修饰
偶联
Unconjugated
其他可选修饰符
Phospho
抗原信息
免疫原
A synthesized phosphopeptide: human Daxx around the phosphorylation site of S668
抗原种属
human
Uniprot ID
化学信息
分子量Actual: 81 kDa.
储存&溶解度
储存方式Store at -20°C or -80°C for 12 months. Avoid repeated freeze-thaw cycles.
运输方式Shipping with blue ice.
存储store at low temperature | -20°C for 1 year

计算器

  • 稀释 计算器
Related Tags: buy Anti-Phospho-DAXX (Ser668) Polyclonal Antibody | purchase Anti-Phospho-DAXX (Ser668) Polyclonal Antibody | Anti-Phospho-DAXX (Ser668) Polyclonal Antibody cost | order Anti-Phospho-DAXX (Ser668) Polyclonal Antibody | Anti-Phospho-DAXX (Ser668) Polyclonal Antibody molecular weight