购物车
  • 全部删除
  • TargetMol
    您的购物车当前为空

Anti-Phospho-CNOT2 (Ser101) Polyclonal Antibody

一键复制产品信息
Rating icon 还可以
产品编号 TMAC-00906
别名 p-CNOT2 (Ser101), p-CNOT2 (S101), CNOT2 (p-Ser101), CNOT2 (p-S101)

Anti-Phospho-CNOT2 (Ser101) Polyclonal Antibody 是一种 Rabbit 抗体,靶向 Phospho-CNOT2 (Ser101)。Anti-Phospho-CNOT2 (Ser101) Polyclonal Antibody 可用于 IHC。

Anti-Phospho-CNOT2 (Ser101) Polyclonal Antibody

Anti-Phospho-CNOT2 (Ser101) Polyclonal Antibody

一键复制产品信息
Rating icon 还可以
产品编号 TMAC-00906 别名 p-CNOT2 (Ser101), p-CNOT2 (S101), CNOT2 (p-Ser101), CNOT2 (p-S101)

Anti-Phospho-CNOT2 (Ser101) Polyclonal Antibody 是一种 Rabbit 抗体,靶向 Phospho-CNOT2 (Ser101)。Anti-Phospho-CNOT2 (Ser101) Polyclonal Antibody 可用于 IHC。

规格价格库存数量
50 μL
¥ 1,485
5日内发货
100 μL
¥ 2,240
5日内发货
大包装 & 定制
加入购物车
TargetMol 的所有产品仅用作科学研究或药证申报,不能被用于人体,我们不向个人提供产品和服务。请您遵守承诺用途,不得违反法律法规规定用于任何其他用途。
实验操作小课堂
常见问题解答
查看更多
联系我们获取更多批次信息
资源下载

产品介绍

生物活性
产品描述
Anti-Phospho-CNOT2 (Ser101) Polyclonal Antibody is a Rabbit antibody targeting Phospho-CNOT2 (Ser101). Anti-Phospho-CNOT2 (Ser101) Polyclonal Antibody can be used in IHC.
别名p-CNOT2 (Ser101), p-CNOT2 (S101), CNOT2 (p-Ser101), CNOT2 (p-S101)
Ig Type
IgG
交叉反应
Human,Mouse,Rat
验证活性
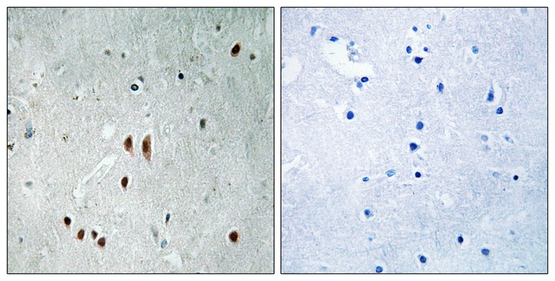
1. Immunohistochemical analysis of paraffin-embedded human brain tissue using CNOT2 (Phospho-Ser101) antibody TMAC-00906 (left) or the same antibody preincubated with blocking peptide (right).
verifiedActivity
应用IHC
推荐剂量
IHC: 1:5-100
抗体种类
Polyclonal
宿主来源Rabbit
构建方式Polyclonal Antibody
纯化方式Antibodies were produced by immunizing rabbits with synthetic phosphopeptide and KLH conjugates. Antibodies were purified by affinity-chromatography using epitope-specific phosphopeptide. Non-phospho specific antibodies were removed by chromatogramphy using non-phosphopeptide.
性状Liquid
缓冲液Rabbit IgG in phosphate buffered saline (without Mg2+ and Ca2+), pH 7.4, 150mM NaCl, 0.02% sodium azide and 50% glycerol.
研究背景The CCR4-NOT complex functions as general transcription regulation complex. Subunit of the CCR4-NOT core complex that contains CHAF1A, CHAF1B, CNOT1, CNOT2, CNOT3, CNOT4, CNOT6 and CNOT8. 5 isoforms of the human protein are produced by alternative splicing.
偶联与修饰
偶联
Unconjugated
其他可选修饰符
Phospho
抗原信息
免疫原
Peptide sequence around phosphorylation site of Serine101(S-L-S(p)-Q-G) derived from Human CNOT2
抗原种属
human
Uniprot ID
化学信息
分子量Actual: 59 kDa.
存储&运输
储存方式Store at -20°C or -80°C for 12 months. Avoid repeated freeze-thaw cycles.
运输方式Shipping with blue ice.

计算器

  • 稀释 计算器

关键词

评论列表

4个月前
5.0
Rating icon 很棒

评论内容

Related Tags: buy Anti-Phospho-CNOT2 (Ser101) Polyclonal Antibody | purchase Anti-Phospho-CNOT2 (Ser101) Polyclonal Antibody | Anti-Phospho-CNOT2 (Ser101) Polyclonal Antibody cost | order Anti-Phospho-CNOT2 (Ser101) Polyclonal Antibody | Anti-Phospho-CNOT2 (Ser101) Polyclonal Antibody molecular weight