购物车
  • TargetMol
    您的购物车当前为空

Anti-Phospho-CD117 (Tyr936) Polyclonal Antibody

Synonyms: p-CD117 (Y936), p-CD117 (Tyr936), CD117 (p-Y936), CD117 (p-Tyr936)
货号 TMAC-00881 一键复制产品信息
Rating icon 还可以

Anti-Phospho-CD117 (Tyr936) Polyclonal Antibody 是一种 Rabbit 抗体,靶向 Phospho-CD117 (Tyr936)。Anti-Phospho-CD117 (Tyr936) Polyclonal Antibody 可用于 IHC,WB。

Anti-Phospho-CD117 (Tyr936) Polyclonal Antibody

一键复制产品信息
Rating icon 还可以
货号 TMAC-00881

别名 p-CD117 (Y936), p-CD117 (Tyr936), CD117 (p-Y936), CD117 (p-Tyr936)

Anti-Phospho-CD117 (Tyr936) Polyclonal Antibody 是一种 Rabbit 抗体,靶向 Phospho-CD117 (Tyr936)。Anti-Phospho-CD117 (Tyr936) Polyclonal Antibody 可用于 IHC,WB。

Anti-Phospho-CD117 (Tyr936) Polyclonal Antibody
规格价格库存数量
50 μL
¥ 1,485
5日内发货
100 μL
¥ 2,240
5日内发货
库存状态实时更新,以官网显示为准,现货产品可直接加购物车下单
大包装 & 定制
加入购物车

TargetMol的所有产品仅用作科学研究或药证申报,不能被用于人体,我们不向个人提供产品和服务。请您遵守承诺用途,不得违反法律法规规定用于任何其他用途。

实验操作小课堂
常见问题解答
查看更多

资源下载:产品操作手册

产品介绍


生物活性
产品描述
Anti-Phospho-CD117 (Tyr936) Polyclonal Antibody is a Rabbit antibody targeting Phospho-CD117 (Tyr936). Anti-Phospho-CD117 (Tyr936) Polyclonal Antibody can be used in IHC,WB.
别名
p-CD117 (Y936), p-CD117 (Tyr936), CD117 (p-Y936), CD117 (p-Tyr936)
Ig Type
IgG
反应种属
Human
验证活性
1. Western blot analysis of extracts from C6 cell untreated or treated with serum usingc-kit (phospho-Tyr936) Antibody TMAC-00881.
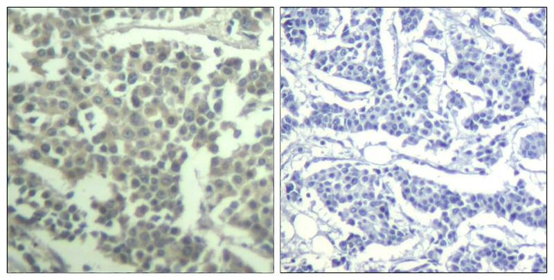
2. Immunohistochemical analysis of paraffin-embedded human breast carcinoma tissue using c-kit (Phospho-Tyr936) Antibody TMAC-00881 (left) or the same antibody preincubated with blocking peptide (right).
verifiedActivityverifiedActivity
应用IHCWB
抗体种类
Polyclonal
宿主来源Rabbit
构建方式Polyclonal Antibody
纯化方式Antibodies were produced by immunizing rabbits with synthetic phosphopeptide and KLH conjugates. Antibodies were purified by affinity-chromatography using epitope-specific phosphopeptide. Non-phospho specific antibodies were removed by chromatogramphy using non-phosphopeptide.
性状Liquid
缓冲液Supplied at 1.0mg/mL in phosphate buffered saline (without Mg2+ and Ca2+), pH 7.4, 150mM NaCl, 0.02% sodium azide and 50% glycerol.
研究背景This is the receptor for stem cell factor (mast cell growth factor). It has a tyrosine-protein kinase activity. Binding of the ligands leads to the autophosphorylation of KIT and its association with substrates such as phosphatidylinositol 3-kinase (Pi3K)
偶联与修饰
偶联
Unconjugated
其他可选修饰符
Phospho
抗原信息
免疫原
Peptide sequence around phosphorylation site of tyrosine 936 (H-I-Y(p)-S-N) derived from Human c-Kit
抗原种属
human
Uniprot ID
储存&溶解度
储存方式Store at 2°C-8°C for 1 month. Store at -20°C or -80°C for 12 months. Avoid repeated freeze-thaw cycles.
运输方式Shipping with blue ice.

计算器

  • 稀释 计算器
  • 配液 计算器
Related Tags: buy Anti-Phospho-CD117 (Tyr936) Polyclonal Antibody | purchase Anti-Phospho-CD117 (Tyr936) Polyclonal Antibody | Anti-Phospho-CD117 (Tyr936) Polyclonal Antibody cost | order Anti-Phospho-CD117 (Tyr936) Polyclonal Antibody