• TargetMol
    您的购物车当前为空

Anti-Phospho-CCNE1 (Thr77) Antibody (8N839)

一键复制产品信息
Rating icon 还可以
货号 TMAC-03205

别名 p-CCNE1 (Thr77), p-CCNE1 (T77), CCNE1 (p-Thr77), CCNE1 (p-T77)

Anti-Phospho-CCNE1 (Thr77) Antibody (8N839) 是一种 Rabbit 抗体,靶向 Phospho-CCNE1 (Thr77)。Anti-Phospho-CCNE1 (Thr77) Antibody (8N839) 可用于 WB,ICC/IF,IHC。

Anti-Phospho-CCNE1 (Thr77) Antibody (8N839)

Anti-Phospho-CCNE1 (Thr77) Antibody (8N839)

一键复制产品信息
Rating icon 还可以
货号 TMAC-03205 别名 p-CCNE1 (Thr77), p-CCNE1 (T77), CCNE1 (p-Thr77), CCNE1 (p-T77)

Anti-Phospho-CCNE1 (Thr77) Antibody (8N839) 是一种 Rabbit 抗体,靶向 Phospho-CCNE1 (Thr77)。Anti-Phospho-CCNE1 (Thr77) Antibody (8N839) 可用于 WB,ICC/IF,IHC。

规格价格库存数量
50 μL
¥ 1,480
5日内发货
100 μL
¥ 2,495
5日内发货
库存状态实时更新,以官网显示为准,现货产品可直接加购物车下单
大包装 & 定制
加入购物车
TargetMol的所有产品仅用作科学研究或药证申报,不能被用于人体,我们不向个人提供产品和服务。请您遵守承诺用途,不得违反法律法规规定用于任何其他用途。
实验操作小课堂
常见问题解答
查看更多
资源下载:

产品介绍


生物活性
产品描述
Anti-Phospho-CCNE1 (Thr77) Antibody (8N839) is a Rabbit antibody targeting Phospho-CCNE1 (Thr77). Anti-Phospho-CCNE1 (Thr77) Antibody (8N839) can be used in ICC/IF,IHC,WB.
别名p-CCNE1 (Thr77), p-CCNE1 (T77), CCNE1 (p-Thr77), CCNE1 (p-T77)
Ig Type
IgG
克隆号
8N839
反应种属
Human
验证活性
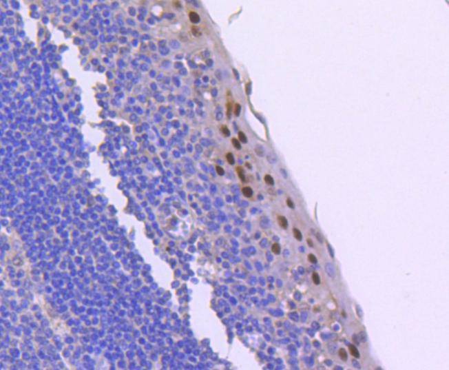
1. Immunohistochemical analysis of paraffin-embedded human tonsil tissue using anti-Phospho-Cyclin E1 (T77) antibody. Counter stained with hematoxylin.
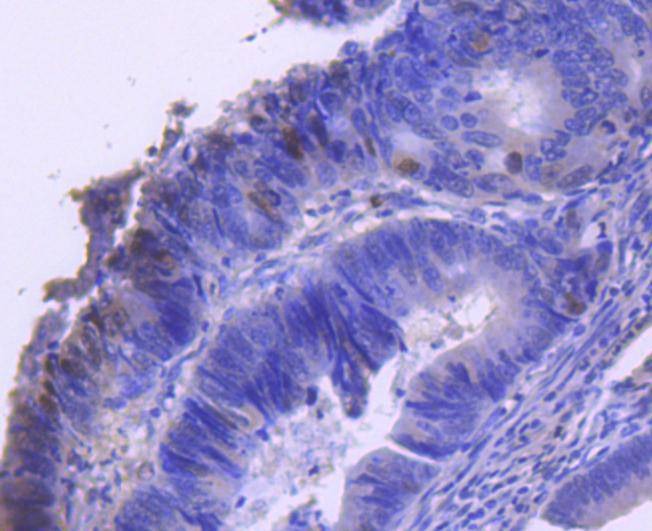
2. Immunohistochemical analysis of paraffin-embedded human colon cancer tissue using anti-Phospho-Cyclin E1 (T77) antibody. Counter stained with hematoxylin.
3. ICC staining Phospho-Cyclin E1 (T77) in SW480 cells (green). The nuclear counter stain is DAPI (blue). Cells were fixed in paraformaldehyde, permeabilised with 0.25% Triton X100/PBS.
4. ICC staining Phospho-Cyclin E1 (T77) in Hela cells (green). The nuclear counter stain is DAPI (blue). Cells were fixed in paraformaldehyde, permeabilised with 0.25% Triton X100/PBS.
5. ICC staining Phospho-Cyclin E1 (T77) in HepG2 cells (green). The nuclear counter stain is DAPI (blue). Cells were fixed in paraformaldehyde, permeabilised with 0.25% Triton X100/PBS.
verifiedActivityverifiedActivityverifiedActivityverifiedActivityverifiedActivity
应用ICC/IFIHCWB
推荐剂量
WB: 1:1000; IHC: 1:50-200; ICC/IF: 1:50-200
抗体种类
Monoclonal
宿主来源Rabbit
构建方式Recombinant Antibody
纯化方式ProA affinity purified
性状Liquid
缓冲液1*TBS (pH7.4), 1%BSA, 40%Glycerol. Preservative: 0.05% Sodium Azide.
研究背景Cyclins were first identified in invertebrates as proteins that oscillate dramatically through the cell cycle. These proteins have been well conserved through evolution and play a critical role in regulation of cell division. cyclin E, along with the three cyclin D proteins and cyclin C, has been shown to represent a putative G1 cyclin on the basis of its cyclic pattern of mRNA expression, with maximal levels being detected near the G1/S boundary. cyclin E has been found to be associated with the transcription factor E2F in a temporally regulated manner. The cyclin E/E2F complex is detected primarily during the G1 phase of the cell cycle and decreases as cells enter S phase. E2F is known to be a critical transcription factor for expression of several S phase specific proteins.
偶联与修饰
偶联
Unconjugated
其他可选修饰符
Phospho
抗原信息
免疫原
A synthesized phosphopeptide: human Cyclin E1 around the phosphorylation site of Thr77
抗原种属
human
Uniprot ID
化学信息
分子量Theoretical: 48 kDa.
储存&溶解度
储存方式Store at -20°C or -80°C for 12 months. Avoid repeated freeze-thaw cycles.
运输方式Shipping with blue ice.
存储store at low temperature | -20°C for 1 year

计算器

  • 稀释 计算器
Related Tags: buy Anti-Phospho-CCNE1 (Thr77) Antibody (8N839) | purchase Anti-Phospho-CCNE1 (Thr77) Antibody (8N839) | Anti-Phospho-CCNE1 (Thr77) Antibody (8N839) cost | order Anti-Phospho-CCNE1 (Thr77) Antibody (8N839) | Anti-Phospho-CCNE1 (Thr77) Antibody (8N839) molecular weight