购物车
  • TargetMol
    您的购物车当前为空

Anti-Phospho-BCL-XL (Ser62) Polyclonal Antibody 2

Synonyms: p-BCL-XL (Ser62), p-BCL-XL (S62), BCL-XL (p-Ser62), BCL-XL (p-S62)
货号 TMAC-00408 一键复制产品信息
Rating icon 还可以

Anti-Phospho-BCL-XL (Ser62) Polyclonal Antibody 是一种 Rabbit 抗体,靶向 Phospho-BCL-XL (Ser62)。Anti-Phospho-BCL-XL (Ser62) Polyclonal Antibody 可用于 IF,IHC,WB。

Anti-Phospho-BCL-XL (Ser62) Polyclonal Antibody 2

一键复制产品信息
Rating icon 还可以
货号 TMAC-00408

别名 p-BCL-XL (Ser62), p-BCL-XL (S62), BCL-XL (p-Ser62), BCL-XL (p-S62)

Anti-Phospho-BCL-XL (Ser62) Polyclonal Antibody 是一种 Rabbit 抗体,靶向 Phospho-BCL-XL (Ser62)。Anti-Phospho-BCL-XL (Ser62) Polyclonal Antibody 可用于 IF,IHC,WB。

Anti-Phospho-BCL-XL (Ser62) Polyclonal Antibody 2
规格价格库存数量
50 μL
¥ 1,495
5日内发货
100 μL
¥ 2,240
5日内发货
库存状态实时更新,以官网显示为准,现货产品可直接加购物车下单
大包装 & 定制
加入购物车

TargetMol的所有产品仅用作科学研究或药证申报,不能被用于人体,我们不向个人提供产品和服务。请您遵守承诺用途,不得违反法律法规规定用于任何其他用途。

实验操作小课堂
常见问题解答
查看更多

资源下载:产品操作手册

产品介绍


生物活性
产品描述
Anti-Phospho-BCL-XL (Ser62) Polyclonal Antibody is a Rabbit antibody targeting Phospho-BCL-XL (Ser62). Anti-Phospho-BCL-XL (Ser62) Polyclonal Antibody can be used in IF,IHC,WB.
别名
p-BCL-XL (Ser62), p-BCL-XL (S62), BCL-XL (p-Ser62), BCL-XL (p-S62)
Ig Type
IgG
反应种属
Human,Mouse,Rat
验证活性
1. Immunofluorescence staining of methanol-fixed HeLa cells using BCL-XL (phospho-Ser62) antibody (TMAC-00408, Red).
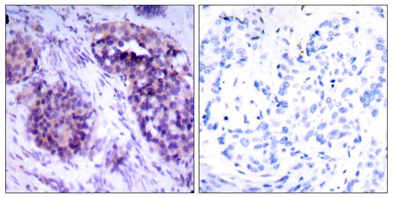
2. Immunohistochemical analysis of paraffin-embedded human breast carcinoma tissue using BCL-XL (phospho-Ser62) antibody (TMAC-00408).
3. Western blot analysis of extracts from Hela cells untreated or treated with EGF using BCL-XL (Phospho-Ser62) Antibody TMAC-00408.
4. Western blot analysis of extracts from Hela cells, treated with Noc or calf intestinal phosphatase (CIP), using BCL-XL (Phospho-Ser62) Antibody TMAC-00408.
verifiedActivityverifiedActivityverifiedActivityverifiedActivity
应用IFIHCWB
抗体种类
Polyclonal
宿主来源Rabbit
构建方式Polyclonal Antibody
性状Liquid
偶联与修饰
偶联
Unconjugated
其他可选修饰符
Phospho
抗原信息
Uniprot ID
储存&溶解度
运输方式Shipping with blue ice.

计算器

  • 稀释 计算器
  • 配液 计算器
Related Tags: buy Anti-Phospho-BCL-XL (Ser62) Polyclonal Antibody 2 | purchase Anti-Phospho-BCL-XL (Ser62) Polyclonal Antibody 2 | Anti-Phospho-BCL-XL (Ser62) Polyclonal Antibody 2 cost | order Anti-Phospho-BCL-XL (Ser62) Polyclonal Antibody 2