• TargetMol
    您的购物车当前为空

Anti-Phospho-Bad (Ser112) Polyclonal Antibody

一键复制产品信息
Rating icon 还可以
货号 TMAC-00366

别名 p-Bad (Ser112), p-Bad (S112), Bad (p-Ser112), Bad (p-S112)

Anti-Phospho-Bad (Ser112) Polyclonal Antibody 是一种 Rabbit 抗体,靶向 Phospho-Bad (Ser112)。Anti-Phospho-Bad (Ser112) Polyclonal Antibody 可用于 IHC,WB。

Anti-Phospho-Bad (Ser112) Polyclonal Antibody

Anti-Phospho-Bad (Ser112) Polyclonal Antibody

一键复制产品信息
Rating icon 还可以
货号 TMAC-00366 别名 p-Bad (Ser112), p-Bad (S112), Bad (p-Ser112), Bad (p-S112)

Anti-Phospho-Bad (Ser112) Polyclonal Antibody 是一种 Rabbit 抗体,靶向 Phospho-Bad (Ser112)。Anti-Phospho-Bad (Ser112) Polyclonal Antibody 可用于 IHC,WB。

规格价格库存数量
50 μL
¥ 1,490
5日内发货
100 μL
¥ 2,240
5日内发货
库存状态实时更新,以官网显示为准,现货产品可直接加购物车下单
大包装 & 定制
加入购物车
TargetMol的所有产品仅用作科学研究或药证申报,不能被用于人体,我们不向个人提供产品和服务。请您遵守承诺用途,不得违反法律法规规定用于任何其他用途。
实验操作小课堂
常见问题解答
查看更多
资源下载:

产品介绍


生物活性
产品描述
Anti-Phospho-Bad (Ser112) Polyclonal Antibody is a Rabbit antibody targeting Phospho-Bad (Ser112). Anti-Phospho-Bad (Ser112) Polyclonal Antibody can be used in IHC,WB.
别名p-Bad (Ser112), p-Bad (S112), Bad (p-Ser112), Bad (p-S112)
Ig Type
IgG
反应种属
Human,Mouse
验证活性
1. Western blot analysis of extracts from cos7 cells untreated or treated with EGF using BAD(Phospho-Ser112) Antibody TMAC-00366.
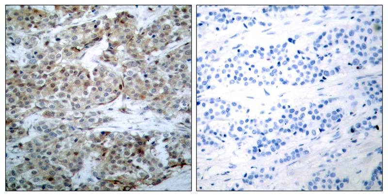
2. Immunohistochemical analysis of paraffin-embedded human breast carcinoma tissue using BAD(Phospho-Ser112) Antibody TMAC-00366(left) or the same antibody preincubated with blocking peptide(right).
verifiedActivityverifiedActivity
应用IHCWB
抗体种类
Polyclonal
宿主来源Rabbit
构建方式Polyclonal Antibody
纯化方式Antibodies were produced by immunizing rabbits with synthetic phosphopeptide and KLH conjugates. Antibodies were purified by affinity-chromatography using epitope-specific phosphopeptide. Non-phospho specific antibodies were removed by chromatogramphy using non-phosphopeptide.
性状Liquid
缓冲液Supplied at 1.0mg/mL in phosphate buffered saline (without Mg2+ and Ca2+), pH 7.4, 150mM NaCl, 0.02% sodium azide and 50% glycerol.
研究背景The protein encoded by BAD gene is a member of the BCL-2 family. BCL-2 family members are known to be regulators of programmed cell death. This protein positively regulates cell apoptosis by forming heterodimers with BCL-xL and BCL-2, and reversing their death repressor activity. Proapoptotic activity of this protein is regulated through its phosphorylation. Protein kinases AKT and MAP kinase, as well as protein phosphatase calcineurin were found to be involved in the regulation of this protein. Alternative splicing of this gene results in two transcript variants which encode the same isoform.
偶联与修饰
偶联
Unconjugated
其他可选修饰符
Phospho
抗原信息
免疫原
Peptide sequence around phosphorylation site of serine 112 (H-S-S(p)-Y-P) derived from Mouse BAD
抗原种属
mouse
Uniprot ID
化学信息
分子量Actual: 23 kDa.
储存&溶解度
储存方式Store at 2°C-8°C for 1 month. Store at -20°C or -80°C for 12 months. Avoid repeated freeze-thaw cycles.
运输方式Shipping with blue ice.
存储store at low temperature | -20°C for 1 year

计算器

  • 稀释 计算器
Related Tags: buy Anti-Phospho-Bad (Ser112) Polyclonal Antibody | purchase Anti-Phospho-Bad (Ser112) Polyclonal Antibody | Anti-Phospho-Bad (Ser112) Polyclonal Antibody cost | order Anti-Phospho-Bad (Ser112) Polyclonal Antibody | Anti-Phospho-Bad (Ser112) Polyclonal Antibody molecular weight