购物车
  • TargetMol
    您的购物车当前为空

Anti-Phospho-Androgen receptor (Ser213) Polyclonal Antibody 2

Synonyms: p-Androgen receptor (Ser213), p-Androgen receptor (S213), Androgen receptor (p-Ser213), Androgen receptor (p-S213)
货号 TMAC-00201 一键复制产品信息
Rating icon 还可以

Anti-Phospho-Androgen receptor (Ser213) Polyclonal Antibody 是一种 Rabbit 抗体,靶向 Phospho-Androgen receptor (Ser213)。Anti-Phospho-Androgen receptor (Ser213) Polyclonal Antibody 可用于 IF,IHC,WB。

Anti-Phospho-Androgen receptor (Ser213) Polyclonal Antibody 2

一键复制产品信息
Rating icon 还可以
货号 TMAC-00201

别名 p-Androgen receptor (Ser213), p-Androgen receptor (S213), Androgen receptor (p-Ser213), Androgen receptor (p-S213)

Anti-Phospho-Androgen receptor (Ser213) Polyclonal Antibody 是一种 Rabbit 抗体,靶向 Phospho-Androgen receptor (Ser213)。Anti-Phospho-Androgen receptor (Ser213) Polyclonal Antibody 可用于 IF,IHC,WB。

Anti-Phospho-Androgen receptor (Ser213) Polyclonal Antibody 2
规格价格库存数量
50 μL
¥ 1,490
5日内发货
100 μL
¥ 2,245
5日内发货
库存状态实时更新,以官网显示为准,现货产品可直接加购物车下单
大包装 & 定制
加入购物车

TargetMol的所有产品仅用作科学研究或药证申报,不能被用于人体,我们不向个人提供产品和服务。请您遵守承诺用途,不得违反法律法规规定用于任何其他用途。

实验操作小课堂
常见问题解答
查看更多

资源下载:产品操作手册

产品介绍


生物活性
产品描述
Anti-Phospho-Androgen receptor (Ser213) Polyclonal Antibody is a Rabbit antibody targeting Phospho-Androgen receptor (Ser213). Anti-Phospho-Androgen receptor (Ser213) Polyclonal Antibody can be used in IF,IHC,WB.
别名
p-Androgen receptor (Ser213), p-Androgen receptor (S213), Androgen receptor (p-Ser213), Androgen receptor (p-S213)
Ig Type
IgG
反应种属
Human
验证活性
1. Western blot analysis of Androgen Receptor(Phospho-Ser213) expression in HEK293T (A), A549 (B), H1792 (C) whole cell lysates.
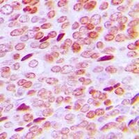
2. Immunohistochemical analysis of Androgen Receptor(Phospho-Ser213) staining in human prostate cancer formalin fixed paraffin embedded tissue section. The section was pre-treated using heat mediated antigen retrieval with sodium citrate buffer (pH 6.0). The section was then incubated with the antibody at room temperature and detected using an HRP conjugated compact polymer system. DAB was used as the chromogen. The section was then counterstained with haematoxylin and mounted with DPX.
3. Immunofluorescent analysis of Androgen Receptor(Phospho-Ser213) staining in HeLa cells. Formalin-fixed cells were permeabilized with 0.1% Triton X-100 in TBS for 5-10 minutes and blocked with 3% BSA-PBS for 30 minutes at room temperature. Cells were probed with the primary antibody in 3% BSA-PBS and incubated overnight at 4℃ in a humidified chamber. Cells were washed with PBST and incubated with a DyLight 594-conjugated secondary antibody (red) in PBS at room temperature in the dark.
verifiedActivityverifiedActivityverifiedActivity
应用IFIHCWB
抗体种类
Polyclonal
宿主来源Rabbit
构建方式Polyclonal Antibody
纯化方式Antibodies were produced by immunizing rabbits with synthetic phosphopeptide and KLH conjugates. Antibodies were purified by affinity-chromatography using epitope-specific phosphopeptide. Non-phospho specific antibodies were removed by chromatogramphy using non-phosphopeptide.
性状Liquid
缓冲液Supplied at 1.0mg/mL in phosphate buffered saline (without Mg2+ and Ca2+), pH 7.4, 150mM NaCl, 0.02% sodium azide and 50% glycerol.
研究背景The androgen receptor gene is more than 90 kb long and codes for a protein that has 3 major functional domains: the N-terminal domain, DNA-binding domain, and androgen-binding domain. The protein functions as a steroid-hormone activated transcription factor. Upon binding the hormone ligand, the receptor dissociates from accessory proteins, translocates into the nucleus, dimerizes, and then stimulates transcription of androgen responsive genes. This gene contains 2 polymorphic trinucleotide repeat segments that encode polyglutamine and polyglycine tracts in the N-terminal transactivation domain of its protein. Expansion of the polyglutamine tract causes spinal bulbar muscular atrophy (Kennedy disease). Mutations in this gene are also associated with complete androgen insensitivity (CAIS). Two alternatively spliced variants encoding distinct isoforms have been described.
偶联与修饰
偶联
Unconjugated
其他可选修饰符
Phospho
抗原信息
免疫原
Peptide sequence around phosphorylation site of serine 213 (E-A-S(p)-G-A) derived from Human Androgen Receptor
抗原种属
human
Uniprot ID
储存&溶解度
储存方式Store at -20°C or -80°C for 12 months. Avoid repeated freeze-thaw cycles.
运输方式Shipping with blue ice.

计算器

  • 稀释 计算器
  • 配液 计算器
Related Tags: buy Anti-Phospho-Androgen receptor (Ser213) Polyclonal Antibody 2 | purchase Anti-Phospho-Androgen receptor (Ser213) Polyclonal Antibody 2 | Anti-Phospho-Androgen receptor (Ser213) Polyclonal Antibody 2 cost | order Anti-Phospho-Androgen receptor (Ser213) Polyclonal Antibody 2