购物车
  • TargetMol
    您的购物车当前为空

Anti-Phospho-AMPK alpha 1 (Ser356) Polyclonal Antibody

Synonyms: wu:fa94c10, SNF1-like protein AMPK, Protein kinase AMP activated alpha 1 catalytic subunit, PRKAA1, PRKAA 1, p-AMPK alpha 1 (Ser356), p-AMPK alpha 1 (S356), MGC57364, MGC33776, kinase AMPK alpha1, im:7154392, hormone sensitive lipase kinase, HMG CoA reductase kinase, EC 2.7.11.1, cb116, C130083N04Rik, AMPKα1, AMPKα 1, AMPKalpha1, AMPKa1, AMPK-a, AMPK1, AMPK α1, AMPK α 1, AMPK AMPK-α1, AMPK alpha-1, AMPK alpha 1 chain, AMPK alpha 1 (p-Ser356), AMPK alpha 1 (p-S356), AMPK a1, AMPK 1, AMPK, AMP-activated protein kinase, catalytic, alpha-1, AMP-activate kinase alpha 1 subunit, AL024255, AI450832, AI194361, acetyl CoA carboxylase kinase, AAPK1, 5' AMP activated protein kinase catalytic subunit alpha 1, 5 AMP activated protein kinase catalytic alpha 1 chain, 5 AMP activated protein kinase alpha 1catalytic subunit
货号 TMAB-01386 一键复制产品信息
Rating icon 还可以

Anti-Phospho-AMPK alpha 1 (Ser356) Polyclonal Antibody 是一种 Rabbit 抗体,靶向 Phospho-AMPK alpha 1 (Ser356)。Anti-Phospho-AMPK alpha 1 (Ser356) Polyclonal Antibody 可用于 FCM, IF, IHC-Fr, IHC-P, WB。

Anti-Phospho-AMPK alpha 1 (Ser356) Polyclonal Antibody

一键复制产品信息
Rating icon 还可以
货号 TMAB-01386

别名 wu:fa94c10, SNF1-like protein AMPK, Protein kinase AMP activated alpha 1 catalytic subunit, PRKAA1, PRKAA 1, p-AMPK alpha 1 (Ser356), p-AMPK alpha 1 (S356), MGC57364, MGC33776, kinase AMPK alpha1, im:7154392, hormone sensitive lipase kinase, HMG CoA reductase kinase, EC 2.7.11.1, cb116, C130083N04Rik, AMPKα1, AMPKα 1, AMPKalpha1, AMPKa1, AMPK-a, AMPK1, AMPK α1, AMPK α 1, AMPK AMPK-α1, AMPK alpha-1, AMPK alpha 1 chain, AMPK alpha 1 (p-Ser356), AMPK alpha 1 (p-S356), AMPK a1, AMPK 1, AMPK, AMP-activated protein kinase, catalytic, alpha-1, AMP-activate kinase alpha 1 subunit, AL024255, AI450832, AI194361, acetyl CoA carboxylase kinase, AAPK1, 5' AMP activated protein kinase catalytic subunit alpha 1, 5 AMP activated protein kinase catalytic alpha 1 chain, 5 AMP activated protein kinase alpha 1catalytic subunit

Anti-Phospho-AMPK alpha 1 (Ser356) Polyclonal Antibody 是一种 Rabbit 抗体,靶向 Phospho-AMPK alpha 1 (Ser356)。Anti-Phospho-AMPK alpha 1 (Ser356) Polyclonal Antibody 可用于 FCM, IF, IHC-Fr, IHC-P, WB。

Anti-Phospho-AMPK alpha 1 (Ser356) Polyclonal Antibody
规格价格库存数量
50 μL
¥ 1,160
5日内发货
100 μL
¥ 1,960
5日内发货
200 μL
¥ 2,795
5日内发货
库存状态实时更新,以官网显示为准,现货产品可直接加购物车下单
大包装 & 定制
加入购物车

TargetMol的所有产品仅用作科学研究或药证申报,不能被用于人体,我们不向个人提供产品和服务。请您遵守承诺用途,不得违反法律法规规定用于任何其他用途。

实验操作小课堂
常见问题解答
查看更多

资源下载:产品操作手册

产品介绍


生物活性
产品描述
Anti-Phospho-AMPK alpha 1 (Ser356) Polyclonal Antibody is a Rabbit antibody targeting Phospho-AMPK alpha 1 (Ser356). Anti-Phospho-AMPK alpha 1 (Ser356) Polyclonal Antibody can be used in FCM, IF, IHC-Fr, IHC-P, WB.
别名
wu:fa94c10, SNF1-like protein AMPK, Protein kinase AMP activated alpha 1 catalytic subunit, PRKAA1, PRKAA 1, p-AMPK alpha 1 (Ser356), p-AMPK alpha 1 (S356), MGC57364, MGC33776, kinase AMPK alpha1, im:7154392, hormone sensitive lipase kinase, HMG CoA reductase kinase, EC 2.7.11.1, cb116, C130083N04Rik, AMPKα1, AMPKα 1, AMPKalpha1, AMPKa1, AMPK-a, AMPK1, AMPK α1, AMPK α 1, AMPK AMPK-α1, AMPK alpha-1, AMPK alpha 1 chain, AMPK alpha 1 (p-Ser356), AMPK alpha 1 (p-S356), AMPK a1, AMPK 1, AMPK, AMP-activated protein kinase, catalytic, alpha-1, AMP-activate kinase alpha 1 subunit, AL024255, AI450832, AI194361, acetyl CoA carboxylase kinase, AAPK1, 5' AMP activated protein kinase catalytic subunit alpha 1, 5 AMP activated protein kinase catalytic alpha 1 chain, 5 AMP activated protein kinase alpha 1catalytic subunit
Ig Type
IgG
反应种属
Human,Mouse (predicted:Rat,Dog,Cow,Horse,Sheep,Pig)
验证活性
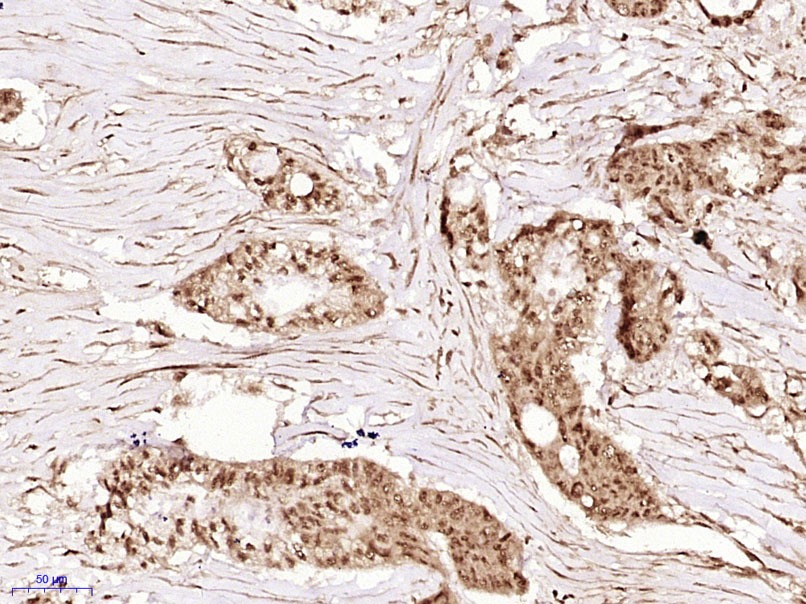
1. Paraformaldehyde-fixed, paraffin embedded (Human cervical carcinoma); Antigen retrieval by boiling in sodium citrate buffer (pH6.0) for 15 min; Block endogenous peroxidase by 3% hydrogen peroxide for 20 min; Blocking buffer (normal goat serum) at 37°C for 30 min; Antibody incubation with (phospho-AMPK alpha 1 (Ser356)) Polyclonal Antibody, Unconjugated (TMAB-01386) at 1:400 overnight at 4°C, followed by operating according to SP Kit (Rabbit) instructionsand DAB staining.
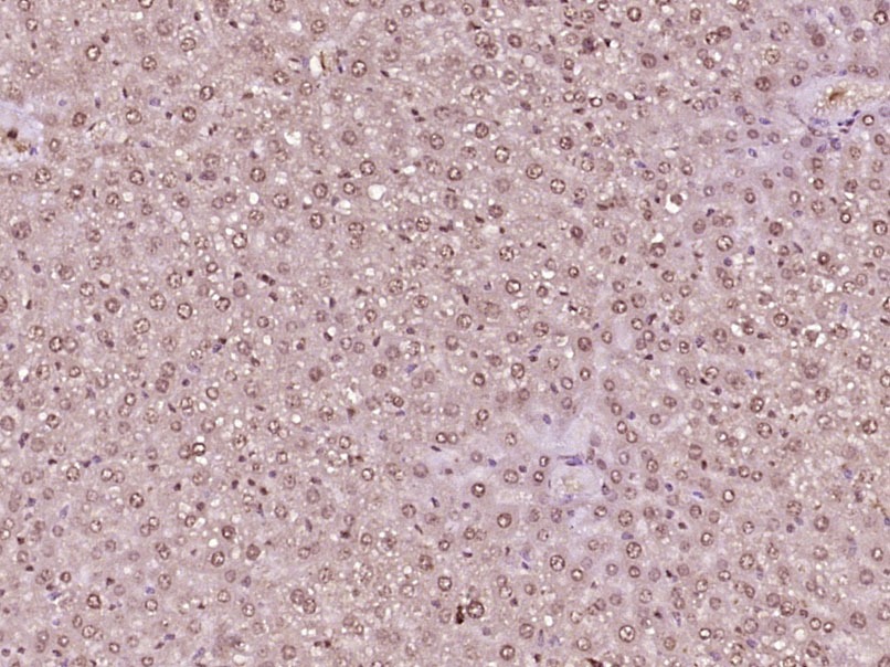
2. Paraformaldehyde-fixed, paraffin embedded (Mouse liver); Antigen retrieval by boiling in sodium citrate buffer (pH6.0) for 15 min; Block endogenous peroxidase by 3% hydrogen peroxide for 20 min; Blocking buffer (normal goat serum) at 37°C for 30 min; Antibody incubation with (phospho-AMPK alpha 1 (Ser356)) Polyclonal Antibody, Unconjugated (TMAB-01386) at 1:400 overnight at 4°C, followed by operating according to SP Kit (Rabbit) instructionsand DAB staining.
3. Paraformaldehyde-fixed, paraffin embedded (Mouse brain); Antigen retrieval by boiling in sodium citrate buffer (pH6.0) for 15 min; Block endogenous peroxidase by 3% hydrogen peroxide for 20 min; Blocking buffer (normal goat serum) at 37°C for 30 min; Antibody incubation with (phospho-AMPK alpha 1 (Ser356)) Polyclonal Antibody, Unconjugated (TMAB-01386) at 1:400 overnight at 4°C, followed by operating according to SP Kit (Rabbit) instructionsand DAB staining.
4. Sample:
Hela (Human) CellLysate at 30 μg
MCF-7 (Human) CellLysate at 30 μg
Primary: Anti-phospho-AMPK alpha 1 (Ser356) (TMAB-01386) at 1/500 dilution
Secondary: IRDye800CW Goat Anti-Rabbit IgG at 1/20000 dilution
Predicted band size: 63 kDa
Observed band size: 63 kDa
5. Sample:
NIH/3T3 (Mouse) Cell Lysate at 30 μg
Primary: Anti-phospho-AMPK alpha 1 (Ser356) (TMAB-01386) at 1/500 dilution
Secondary: IRDye800CW Goat Anti-Rabbit IgG at 1/20000 dilution
Predicted band size: 63 kDa
Observed band size: 63 kDa
6. Blank control (black line): HepG2. Primary Antibody (green line): Rabbit Anti-phospho-AMPK alpha 1 (Ser356) antibody (TMAB-01386)
Dilution: 1 μg/Test;
Secondary Antibody (white blue line): Goat anti-rabbit IgG-AF488
Dilution: 0.5 μg/Test.
Isotype control (orange line): Normal Rabbit IgG
Protocol
The cells were fixed with 4% PFA (10 min at room temperature) and then permeabilized with 90% ice-cold methanol for 20 min at-20°C, The cells were then incubated in 5% BSA to block non-specific protein-protein interactions for 30 min at room temperature. Cells stained with Primary Antibody for 30 min at room temperature. The secondary antibody used for 40 min at room temperature.
verifiedActivityverifiedActivityverifiedActivityverifiedActivityverifiedActivityverifiedActivity
应用FCMIFIHC-FrIHC-PWB
推荐剂量
WB: 1:500-2000; IHC-P: 1:100-500; IHC-Fr: 1:100-500; IF: 1:100-500; FCM: 1ug/Test
抗体种类
Polyclonal
宿主来源Rabbit
亚细胞定位Cytoplasm. Nucleus. Note=In response to stress, recruited by p53/TP53 to specific promoters.
组织特异性Lens as well as other tissues.
构建方式Polyclonal Antibody
纯化方式Protein A purified
性状Liquid
缓冲液0.01M TBS (pH7.4) with 1% BSA, 0.02% Proclin300 and 50% Glycerol.
浓度1 mg/mL
研究背景The protein encoded by this gene belongs to the ser/thr protein kinase family. It is the catalytic subunit of the 5'-prime-AMP-activated protein kinase (AMPK). AMPK is a cellular energy sensor conserved in all eukaryotic cells. The kinase activity of AMPK is activated by the stimuli that increase the cellular AMP/ATP ratio. AMPK regulates the activities of a number of key metabolic enzymes through phosphorylation. It protects cells from stresses that cause ATP depletion by switching off ATP-consuming biosynthetic pathways. Alternatively spliced transcript variants encoding distinct isoforms have been observed. [provided by RefSeq, Jul 2008]
抗原信息
免疫原
KLH conjugated Synthesised phosphopeptide: human AMPK alpha 1 around the phosphorylation site of Ser356
抗原种属
Human
基因名称
PRKAA1
基因ID
蛋白名称
5'-AMP-activated protein kinase catalytic subunit alpha-1
研究领域
Integration of energy metabolism,Response to hypoxia,Metabolism,Integration of energy,Fatty acids,Hypoxia,Fatty acid oxidation,Cancer,Neurodegenerative disease,Amyloid,Other Kinases
功能
Catalytic subunit of AMP-activated protein kinase (AMPK), an energy sensor protein kinase that plays a key role in regulating cellular energy metabolism. In response to reduction of intracellular ATP levels, AMPK activates energy-producing pathways and inhibits energy-consuming processes: inhibits protein, carbohydrate and lipid biosynthesis, as well as cell growth and proliferation. AMPK acts via direct phosphorylation of metabolic enzymes, and by longer-term effects via phosphorylation of transcription regulators. Also acts as a regulator of cellular polarity by remodeling the actin cytoskeleton; probably by indirectly activating myosin. Regulates lipid synthesis by phosphorylating and inactivating lipid metabolic enzymes such as ACACA, ACACB, GYS1, HMGCR and LIPE; regulates fatty acid and cholesterol synthesis by phosphorylating acetyl-CoA carboxylase (ACACA and ACACB) and hormone-sensitive lipase (LIPE) enzymes, respectively. Regulates insulin-signaling and glycolysis by phosphorylating IRS1, PFKFB2 and PFKFB3. AMPK stimulates glucose uptake in muscle by increasing the translocation of the glucose transporter SLC2A4/GLUT4 to the plasma membrane, possibly by mediating phosphorylation of TBC1D4/AS160. Regulates transcription and chromatin structure by phosphorylating transcription regulators involved in energy metabolism such as CRTC2/TORC2, FOXO3, histone H2B, HDAC5, MEF2C, MLXIPL/ChREBP, EP300, HNF4A, p53/TP53, SREBF1, SREBF2 and PPARGC1A. Acts as a key regulator of glucose homeostasis in liver by phosphorylating CRTC2/TORC2, leading to CRTC2/TORC2 sequestration in the cytoplasm. In response to stress, phosphorylates 'Ser-36' of histone H2B (H2BS36ph), leading to promote transcription. Acts as a key regulator of cell growth and proliferation by phosphorylating TSC2, RPTOR and ATG1: in response to nutrient limitation, negatively regulates the mTORC1 complex by phosphorylating RPTOR component of the mTORC1 complex and by phosphorylating and activating TSC2. In response to nutrient limitation, promotes autophagy by phosphorylating and activating ULK1. AMPK also acts as a regulator of circadian rhythm by mediating phosphorylation of CRY1, leading to destabilize it. May regulate the Wnt signaling pathway by phosphorylating CTNNB1, leading to stabilize it. Also has tau-protein kinase activity: in response to amyloid beta A4 protein (APP) exposure, activated by CAMKK2, leading to phosphorylation of MAPT/TAU; however the relevance of such data remains unclear in vivo. Also phosphorylates CFTR, EEF2K, KLC1, NOS3 and SLC12A1.
化学信息
分子量Theoretical: 64 kDa. Actual: 64 kDa.
储存&溶解度
储存方式Store at -20°C or -80°C for 12 months. Avoid repeated freeze-thaw cycles.
运输方式Shipping with blue ice.

计算器

  • 稀释 计算器
  • 配液 计算器
Related Tags: buy Anti-Phospho-AMPK alpha 1 (Ser356) Polyclonal Antibody | purchase Anti-Phospho-AMPK alpha 1 (Ser356) Polyclonal Antibody | Anti-Phospho-AMPK alpha 1 (Ser356) Polyclonal Antibody cost | order Anti-Phospho-AMPK alpha 1 (Ser356) Polyclonal Antibody | Anti-Phospho-AMPK alpha 1 (Ser356) Polyclonal Antibody molecular weight