购物车
  • 全部删除
  • TargetMol
    您的购物车当前为空

Anti-Phospho-AMPK α1 (Ser496) Polyclonal Antibody 2

Rating icon 还可以
Anti-Phospho-AMPK α1 (Ser496) Polyclonal Antibody 2
产品编号 TMAC-00184
别名 p-AMPK α1 (Ser496), p-AMPK α1 (S496), AMPK α1 (p-Ser496), AMPK α1 (p-S496)

Anti-Phospho-AMPK α1 (Ser496) Polyclonal Antibody 是一种 Rabbit 抗体,靶向 Phospho-AMPK α1 (Ser496)。Anti-Phospho-AMPK α1 (Ser496) Polyclonal Antibody 可用于 WB,IHC,IF。

Anti-Phospho-AMPK α1 (Ser496) Polyclonal Antibody 2

Anti-Phospho-AMPK α1 (Ser496) Polyclonal Antibody 2

Rating icon 还可以
Anti-Phospho-AMPK α1 (Ser496) Polyclonal Antibody 2
产品编号 TMAC-00184 别名 p-AMPK α1 (Ser496), p-AMPK α1 (S496), AMPK α1 (p-Ser496), AMPK α1 (p-S496)

Anti-Phospho-AMPK α1 (Ser496) Polyclonal Antibody 是一种 Rabbit 抗体,靶向 Phospho-AMPK α1 (Ser496)。Anti-Phospho-AMPK α1 (Ser496) Polyclonal Antibody 可用于 WB,IHC,IF。

规格价格库存数量
50 μL
¥ 1,490
5日内发货
100 μL
¥ 2,245
5日内发货
大包装 & 定制
加入购物车
TargetMol 的所有产品仅用作科学研究或药证申报,不能被用于人体,我们不向个人提供产品和服务。请您遵守承诺用途,不得违反法律法规规定用于任何其他用途。
实验操作小课堂
常见问题解答
查看更多
联系我们获取更多批次信息
资源下载

产品介绍

生物活性
产品描述
Anti-Phospho-AMPK α1 (Ser496) Polyclonal Antibody is a Rabbit antibody targeting Phospho-AMPK α1 (Ser496). Anti-Phospho-AMPK α1 (Ser496) Polyclonal Antibody can be used in WB,IHC,IF.
别名p-AMPK α1 (Ser496), p-AMPK α1 (S496), AMPK α1 (p-Ser496), AMPK α1 (p-S496)
Ig Type
IgG
交叉反应
Human
验证活性
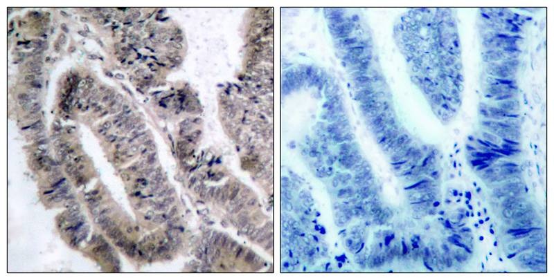
1. Immunohistochemical analysis of paraffin-embedded human colon carcinoma tissue using AMPKα1 (Phospho-Ser496)Antibody TMAC-00184 (left) or the same antibody preincubated with blocking peptide (right).
2. Immunofluorescence staining of methanol-fixed Hela cells using AMPKα1(Phospho-Ser496)Antibody TMAC-00184.
3. Western blot analysis of extracts from HUVEC cells untreated or treated with UV using AMPKα1 (Phospho-Ser496)Antibody TMAC-00184.
4. Western blot analysis of extracts from C6 cells, treated with EGF or calf intestinal phosphatase (CIP), using AMPKα1 (Phospho-Ser496) Antibody TMAC-00184.
应用
抗体种类
Polyclonal
宿主来源Rabbit
构建方式Polyclonal Antibody
纯化方式Antibodies were produced by immunizing rabbits with synthetic phosphopeptide and KLH conjugates. Antibodies were purified by affinity-chromatography using epitope-specific phosphopeptide. Non-phospho specific antibodies were removed by chromatogramphy using non-phosphopeptide.
性状Liquid
缓冲液Supplied at 1.0mg/mL in phosphate buffered saline (without Mg2+ and Ca2+), pH 7.4, 150mM NaCl, 0.02% sodium azide and 50% glycerol.
研究背景Responsible for the regulation of fatty acid synthesis by phosphorylation of acetyl-CoA carboxylase. It also regulates cholesterol synthesis via phosphorylation and inactivation of hormone-sensitive lipase and hydroxymethylglutaryl-CoA reductase. Appears to act as a metabolic stress-sensing protein kinase switching off biosynthetic pathways when cellular ATP levels are depleted and when 5'-AMP rises in response to fuel limitation and/or hypoxia. This is a catalytic subunit.
偶联与修饰
偶联
Unconjugated
其他可选修饰符
Phospho
抗原信息
免疫原
Peptide sequence around phosphorylation site of serine 496 (S-G- S(P)-V-S) derived from Human AMPKα1
抗原种属
human
Uniprot ID
存储&运输
储存方式Store at 2°C-8°C for 1 month. Store at -20°C or -80°C for 12 months. Avoid repeated freeze-thaw cycles.
运输方式Shipping with blue ice.

计算器

  • 稀释 计算器

关键词

评论列表

4个月前
5.0
Rating icon 很棒

评论内容

Related Tags: buy Anti-Phospho-AMPK α1 (Ser496) Polyclonal Antibody 2 | purchase Anti-Phospho-AMPK α1 (Ser496) Polyclonal Antibody 2 | Anti-Phospho-AMPK α1 (Ser496) Polyclonal Antibody 2 cost | order Anti-Phospho-AMPK α1 (Ser496) Polyclonal Antibody 2